IPS e.max CAD crown offers advantages
by Michael DiTolla, DDS, FAGD
For more on this topic, go to www.dentaleconomics.com and search using the following key words: crown, e.max CAD, all–ceramic and zirconia–based restorations, Dr. Michael DiTolla.
Today, I would like to share some information about a newer crown that you may not have heard about called IPS e.max CAD from Ivoclar Vivadent. It's an esthetic, cementable, all–ceramic restoration without a coping. If you think back to fixed restorations of recent decades, there was a dark metal substructure with PFMs that had to be opaqued before porcelain was applied. Like me, you probably have seen many old PFMs in which the opaque shows through the porcelain, even though the opaque is in the back of the mouth.
Then came all–ceramic restorations with their potential esthetics. The search for a high–strength cementable all–ceramic restoration brought us to zirconia–based restorations. One of the problems with the zirconia–based restorations is the white substructure located underneath the ceramic material. This is the reverse of a PFM. Instead of having a dark substructure that needs to be opaqued, there is a light substructure. The challenge is to tone down this high–value coping to keep the white from showing through the ceramic. When dentists underprepare teeth, this only exacerbates the problem of the white coping being visible, especially in the gingival third.
Today, with IPS e.max CAD, there is a single solid block that gets milled. We have an opportunity to work with a material that is homogeneous. So the shade you see on the outside of the restoration is the same shade that you see on the inside of the restoration. There is not a dark metal substructure to block out. In addition, there is not a snow–white substructure that needs to be kept from bleeding through the ceramic. It's the same color on the inside of the crown as it is on the outside. I think this is what many dentists and patients had in mind when they were thinking about how an all–porcelain crown should look.
The IPS e.max CAD LT block is a lithium disilicate material that Ivoclar has used as a framework for the last decade. In earlier days, a lab technician would build the framework and place a veneering ceramic on it to finish a restoration. What the lab eventually learned was that if the same lithium disilicate was liquefied, it could be cooled at different temperatures. This creates certain optical properties that are advantageous and extremely esthetic.
I have been excited since I first began placing e.max crowns because of how good I think they look. Because it is milled from a single block, I can take advantage of the benefits of CAD/CAM, and can dial in digitally consistent contacts, occlusion and anatomy. With CAD/CAM, I can make it much more consistent than was the case when technicians were doing this by hand. The low remake rate of the e.max crown proves this.
The IPS e.max CAD restoration is cementable because its flexural strength is 360 MPa. Compare this to the new Empress, for example, which has the flexural strength of 160 MPa. This explains why the IPS e.max CAD is cementable while Empress needs to be bonded into place.
For anterior teeth, you can utilize a full cutback technique such as might be done on an Empress veneer. You can mill this at full contour, cut it back on the facial, and then hand layer some incisal effects to achieve the best esthetic results. The lab technician can also do this full contour and then stain it. This is less expensive, but I don't think it looks as good as the cutback version, which is partially cut back on the facial and then veneering porcelains are added.
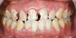
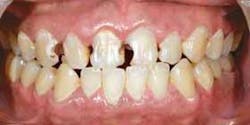
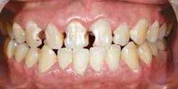
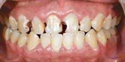
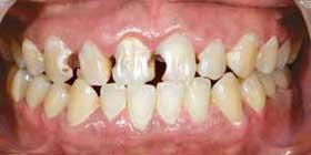
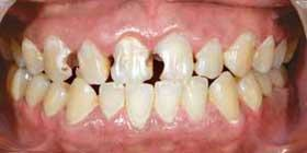
Figs. 1 and 2 show before–and–after views of IPS e.max CAD crowns placed on teeth Nos. 6 through 11.
Dr. Michael DiTolla is the Director of Clinical Research and Education at Glidewell Laboratories in Newport Beach, Calif. He lectures nationwide on both restorative and cosmetic dentistry. Dr. DiTolla has several free clinical programs available online or on DVD at www.glidewell–lab.com. For more information on this article or his seminars, visit www.drditolla.com.


