Restoring large cavity defects using semidirect technique
The use of resins in posterior teeth has been widely studied in the literature. The success rate is acceptable as long as strict standards are followed in adhesive techniques. As clinicians, it is imperative to know the limits of resins as restorative materials and of the biomechanics at play in the restored areas. For small or medium cavities, light-curing resins guarantee predictable results. But when faced with large cavities, there are clinical challenges, such as:
- difficulties in achieving proper contours
- anatomic form
- proximal and occlusal contacts
- marginal adaptation
Therefore, indirect restorations such as inlays, onlays, overlays, or crowns are indicated for these cases. But there are additional challenges here. If a dental practice does not have a digital workflow to offer a same-day solution, patients must wait for a restorative solution. There may also be a financial hurdle for the patient with indirect ceramic restorations, which ideally should never be a barrier to quality treatment.
Here I set out to propose a semidirect technique that can address many of these challenges and additional considerations, such as the polymerization shrinkage of resins. Using a semidirect technique, we can restore large cavities with light-curing resin restorations that would be inconvenient to restore with a purely direct technique.
Case presentation
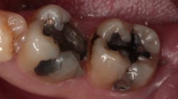
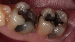
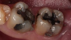
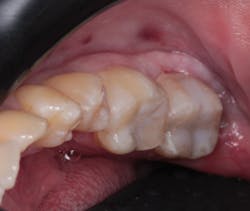
A patient presents with large cavities that have been previously addressed with amalgam. After removing the amalgam and achieving isolation, an alginate is used to take an impression (figures 1–4). A working model is made by first placing light silicone material in the impression and then supporting it with putty to provide rigidity (figures 5a-c). A second working model is made to allow for “flexion” of the dies. This allows separation of the individual teeth and preparations for adjusting proximal margins and interproximal contacts of the restoration as needed.
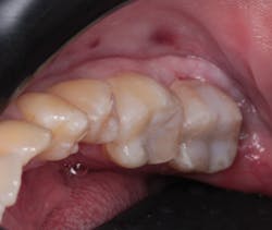
In this case we take advantage of the rubberized resin properties of Activa Presto (Pulpdent Corporation), a universal light-cure composite, to ensure that the occlusal impacts are dispersed in the best way and thus transmit the least amount of stress to the tooth (figures 6a-c–9). In addition, the biomimicking properties of Activa Presto give us the assurance that the restored area will be continuously adjusted to the margins. The restorations are cemented with Activa BioActive-Cement (Pulpdent Corporation) to ensure that the properties of the composite resin are shared by the cement (figure 10).
One of the great advantages in this technique is that the contraction of the restorative material will occur in the model stage and not in the dentition. This is very important to understand. The gap that will appear will have no clinical significance. When it is cemented with a suitable material, the restoration will be absolutely sealed to the tooth (figure 11).
Conclusion
The semidirect technique has the potential to offer a high-quality treatment solution to thousands of patients who require speed in solving their dental problems, or who face economic challenges with the cost of an indirect ceramic restoration.
Editor's note: This article appeared in the September 2021 print edition of Dental Economics.
Dr. Delfín Barquero is a cosmetic dentist in San José, Costa Rica. He teaches and lectures internationally on a variety of topics. See his oral rehabilitation work on Instagram @drdelfinbarquero. Reach him at [email protected].
SIDEBAR: Summary of the semidirect technique
In this semidirect or direct/indirect technique, we take an impression in alginate and “pour it up” in a vinyl polysiloxane (VPS) material. This creates a “flexible die” in which to create the “direct” fabrication of the restoration in an “indirect” fashion. By curing this material in the VPS model outside the mouth, it is “preshrunk” so that only the cement remains to be cured when the restoration is placed, not the restorative material.
Summary of the semidirect technique
In this semidirect or direct/indirect technique, we take an impression in alginate and “pour it up” in a vinyl polysiloxane (VPS) material. This creates a “flexible die” in which to create the “direct” fabrication of the restoration in an “indirect” fashion. By curing this material in the VPS model outside the mouth, it is “preshrunk” so that only the cement remains to be cured when the restoration is placed, not the restorative material.
About the Author

Dr. Delfín Barquero
Dr. Delfín Barquero is a cosmetic dentist in San José, Costa Rica. He teaches and lectures internationally on a variety of topics. See his oral rehabilitation work on Instagram @drdelfinbarquero. Reach him at [email protected].















