Simplifying cementation with reliability
Given the current state of health care, it has never been more important for dentists to increase efficiency and reduce overhead. One simple way to achieve this is by streamlining inventory to the most reliable, versatile, and cost-effective products. In the cementation world, that would mean taking a hard look at a cost-effective, resin-modified glass ionomer (RMGI) cement with unsurpassed bond strength to dentin and decreased water sorption.
When traditional glass ionomer cements were introduced, a considerable leap forward was achieved with some adhesion to dentin, fluoride release, and possible risk reduction for secondary caries.1 With ongoing use, it was observed that glass ionomer cements still fell short with regard to setting time, adhesive strength compared to resin cements, and degradation in lower pH environments.2
The introduction of resin monomers to traditional glass ionomer cements immediately solved the concerns about setting time; however, the materials became more technique-sensitive2 as water sorption increased dramatically.3 To add to these concerns, changes to the delivery systems for convenience altered the physical properties of the cements, and this varied from brand to brand.4 These challenges with RMGI cements created a void for a product that could be used reliably for most applications, including posts, metals, zirconia, and high-strength ceramics.
The novel formulation of Meron Plus QM (Voco) offers clinicians the aforementioned luting capabilities, while simplifying the cementation process. The formulation incorporates a long-chain polyacrylic acid, formulated glass, and limited photoinitiators to obtain the desired characteristics. The end result is a convenient paste-to-paste automix-delivery RMGI without compromise to physical properties when compared to trituration or hand-mixing.5 Furthermore, based on the research of the Voco R & D team and this clinician’s anecdotal results, dentists can expect to observe excellent bond strengths to dentin, an improved bond to zirconia, decreased water solubility, and improved hydrophilicity when compared to other available RMGI cements.5 Rounding out the favorable clinical characteristics of this material is an extended gel phase after tack-cure, which creates an opportunity for thorough removal of excess cement and eases the cleanup process. Finally, with a low cost-per-gram of material, comparatively speaking, Meron Plus QM can increase profitability for dental practices, complementing their inherent reliability and efficiency.
In the following clinical case, cementation of a full monolithic zirconia crown is documented in an extremely apprehensive patient.
Case report
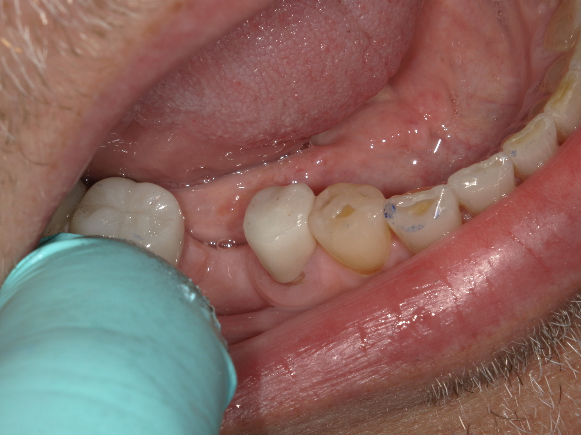
A 53-year-old male patient presented for restorative dentistry with severe apprehension. General anesthesia was required to prepare his carious and structurally compromised tooth no. 29 for a full zirconia crown (figure 1). Full monolithic zirconia was chosen for its strength and resistance to fracture, given that the patient did not want to have the edentulous space from tooth no. 30 restored (figure 2).
The patient stated he cared little about esthetics and that longevity was his primary concern. With that in mind, the full zirconia crown was to be luted with a material that could provide fluoride release with adhesion to dentin and zirconia alike. The patient did not want to submit to general anesthesia for cementation and had an aversion to cotton and gauze.
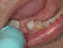
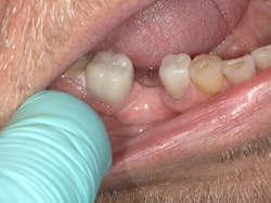
In this compromised situation, a simple delivery and a forgiving material that could reliably accomplish the task at hand had to be considered. Meron Plus QM was chosen for the case (figure 3). The restoration was seated initially to assure marginal fit, proximal contact, and gross occlusion (figure 4). Following try-in, the intaglio surface of the crown and the prepared tooth were cleansed and microabraded with a MicroEtcher II (Zest Dental) and 50 micron aluminum oxide (Deldent Ltd.; figure 5). After thorough rinsing and gentle air-drying of both the crown and the preparation, the zirconia was treated with Z-Prime (Bisco Dental; figure 6) a methacryloyloxydecyl dihydrogen phosphate (MDP)-containing metal primer. Immediately following this step, the primer was gently air-dried, and the crown was prepared for luting.
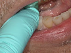
After four-and-a-half minutes, the material was fully set and final cleanup, contact, and occlusal confirmation were performed. Polishing was finalized with A.S.A.P Polishers (Clinician’s Choice). The final result (figure 11, top) shows a moderate cosmetic result but realized expectations for both the clinician and patient: a durable restoration with long-term retention due to the favorable characteristics of this novel RMGI cement.
References
1. Krämer N, Schmidt M, Lücker S, Domann E, Frankenberger R. Glass ionomer cement inhibits secondary caries in an in vitro biofilm model. Clin Oral Investig. 2018;22(2):1019‐1031. doi:10.1007/s00784-017-2184-1
2. Davidson CL. Advances in glass-ionomer cements. J Appl Oral Sci. 2006;14(suppl):3-9. doi:10.1590/s1678-77572006000700002
3. Cattani-Lorente MA, Dupuis V, Payan J, Moya F, Meyer JM. Effect of water on the physical properties of resin-modified glass ionomer cements. Dent Mater. 1999;15(1):71‐78. doi:10.1016/s0109-5641(99)00016-0
4. Sulaiman TA, Abdulmajeed AA, Altitinchi A, Ahmed SN, Donovan TE. Mechanical properties of resin-based cements with different dispensing and mixing methods. J Prosthet Dent. 2018;119(6):1007‐1013. doi:10.1016/j.prosdent.2017.06.010
5. Voco internal studies. Meron Plus QM resin modified glass ionomer cement product literature. Voco America Inc. August 2018. https://www.voco.dental/us/portaldata/1/resources/products/folders/us/meron-plus-qm_fol_us.pdf
JEFFREY W. HOROWITZ, DMD, FAGD, DABDSM, DASBA, is a graduate of the Medical University of South Carolina. In 1992, he founded the Carolina Center for Advanced Dentistry, a multidisciplinary group practice in the Conway/Myrtle Beach area. He is founder and clinical director of Advanced Sleep and TMJ Centers, a member of the Academy of General Dentistry’s Dental Education Council, a mentor at the Kois Center, a lecturer for Catapult Education, and a Sleep Group Solutions instructor.
About the Author

Jeffrey W. Horowitz, DMD, FAGD, DABDSM, DASBA
JEFFREY W. HOROWITZ, DMD, FAGD, DABDSM, DASBA, is a graduate of the Medical University of South Carolina. In 1992, he founded the Carolina Center for Advanced Dentistry, a multidisciplinary group practice in the Conway/Myrtle Beach area. He is founder and clinical director of Advanced Sleep and TMJ Centers, a member of the Academy of General Dentistry’s Dental Education Council, a mentor at the Kois Center, a lecturer for Catapult Education, and a Sleep Group Solutions instructor.










