Ovate pontic receptor sites
This case utilizes a lab-fabricated provisional (BioTemps, Glidewell Labs) to create an ovate pontic receptor site, which is of great value when creating a natural maxillary anterior-fixed bridge. The ovate pontic receptor site will be created with the use of an ErCr:YSGG hard- and soft-tissue laser (Waterlase, Biolase). I have found this to be the easiest, most atraumatic way to create these types of pontic receptor sites.
The ovate pontic receptor site is a depression or socket created in the soft tissue that allows the cervical aspect of the pontic to emerge from it, making it appear to emerge from the alveolar ridge. Since the pontic occupies the same space that the original tooth did, the pontic’s emergence profile appears natural, especially when compared to a modified ridge lap pontic. Modified ridge lap pontics also have the disadvantage of usually appearing too long when compared to adjacent or contralateral teeth.
The laboratory “extracts” the tooth to be removed on the model, and then “sockets” the model to mimic what the extraction site will look like. The lab should attempt to have 6 mm of pontic extend into the extraction site apical to the free gingival margin. The key is to preserve the papillae during extraction, and to fill the extraction site with the provisional pontic as soon as possible.
The time-honored practice of having the patient bite down on a 2x2 gauze to stop the bleeding is contraindicated in this procedure. Since the tooth has been extracted, the interdental papillae have no support until the provisional is cemented. By biting on the gauze, the patient will most likely collapse the papillae, causing the clinician to lose the benefit of their presence.
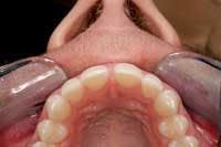
If a tooth has been missing for some time, it becomes necessary to create the same type of socket that existed in the extraction scenario. As part of the planning process for this type of case, an occlusal photograph should be taken of the proposed surgical site to determine whether or not there is enough bone thickness faciolingually to perform the procedure (Fig. 1).
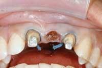
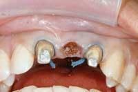
After use of a strong topical (Profound, 800-352-3784) and a rapidly absorbed local anesthetic (Septocaine), the teeth are prepared or the existing bridge is removed. The lab-fabricated provisional is then used to help guide the pontic site development. The tissue side of the pontic is marked with a color transfer applicator (Fig. 2), and the provisional is seated until it contacts tissue. Remove the bridge, and with the Waterlase on the soft tissue setting, begin to develop the pontic site by removing the tissue where ink is present. When the ink has been removed, reseat the provisional and continue to sculpt the tissue wherever ink is present (Fig. 3). However, biologic width remains a concern. Insert a periodontal probe into the deepest part of the pontic site and push it into the tissue until it contacts bone. If there are 2 mm or more tissue remaining on the crestal bone, you are ready to cement the provisional bridge. If there are less than 2 mm of tissue remaining, it is necessary to remove enough crestal bone to allow for the 2 mm of gingiva between the bone and the pontic. Ensure that you leave a minimum of 2 mm of space between the tissue side of the pontic and the crestal bone to allow the soft tissue to fill this space.
If you are confident about succeeding with this procedure, you can take final impressions at this appointment, and then provisionally cement the bridge. Otherwise, the patient is appointed postoperatively in seven days. At this time, the provisional bridge is removed, the pontic site is evaluated, and final impressions are taken. Acrylic material from the tissue side of the pontic can be removed if the pontic site seems excessively deeper than 3 mm. At this point, it is usually impossible to add acrylic to the tissue side of the pontic. This is why it is initially preferable to have the lab make the pontic slightly too long rather than too short. After any necessary adjustments are made, the provisional bridge is recemented and the patient is reappointed three weeks later. This ensures that the tissue will have healed completely prior to final prosthesis cementation. The final WolCeram bridge, with its ovate pontic, is shown in the photo at right (Fig. 4).
Dr. Michael DiTolla is director of clinical research and education at Glidewell Labs in Newport Beach, Calif., where he also teaches courses on topics such as esthetic restorative dentistry. He teaches a two-day, live-patient, hands-on laser-training course that emphasizes diode and erbium lasers. He also teaches a two-day, hands-on digital photography course on intraoral and portrait photography, and image manipulation. More information on these courses can be found via e-mail at [email protected] or by calling (888) 535-1289.




