The benefits of guiding patients to health and well-being
by Betsy Bakeman, DDS
Growing up in a large family, I found tasks like taking out the trash or cleaning the kitchen not particularly satisfying. Let’s face it — the first person to come back into the kitchen a few hours later and open the peanut butter and jelly jars to prepare an evening snack and one might question whether the counters had been cleaned, the sinks scrubbed, or the dishes washed. The results of cleaning the kitchen in a family of 12 were just not significant or long lasting enough for my taste.
I preferred tackling those projects that resulted in a "major transformation" — like cleaning the attic. The attic in our household, as in most, was the repository for all the things that no one currently wanted but might want someday. The musty boxes, discarded appliances, and broken furniture accumulated throughout the years until the makeshift aisles became non-navigable. That is when the teetering, dusty towers called to me in a way that no dirty glass in the kitchen sink could ever come close to. Tackling a project like cleaning the attic from top to bottom gave me a sense of pride and a feeling of accomplishment for a job well done. And the results lasted; perhaps not forever, but long enough that we could all enjoy the fruits of my labor for several years.
Modern dentistry has proved to be a wonderful field for those of us who like to participate in "major transformations." Of course, improving anterior esthetics is one means of transformation, but so is replacing failing amalgam restorations with all of the superb functional and esthetic options we have today. With the advent of esthetic options for the posterior quadrants, not only do we as clinicians become excited about the prospect of making a change for the better, but our patients share our enthusiasm.
While taking a more comprehensive approach to treatment can be very rewarding for both patients and clinicians, it does involve mastering certain skills in order to feel comfortable approaching treatment in this manner. Over time, I have had to align the new-patient examination, my approach to treatment planning, and my ability to effectively communicate a proposed treatment plan with this comprehensive philosophy. Certainly, the proper management of occlusion is also an essential skill that must be mastered and cannot be ignored.
The new-patient examination
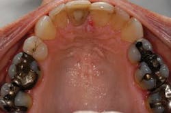
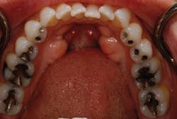
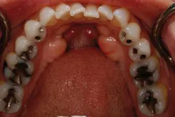
Photographic records
Full arch, occlusal images, as part of a photographic series, are an important adjunct to the new-patient examination. Images of only one or two teeth, such as those commonly captured with an intraoral camera, center on single-tooth dentistry but do little to help clinicians, staff, or patients think about patient needs in a comprehensive fashion (Fig. 1). The way clinicians evaluate and communicate with patients should be in alignment with the way they wish to treat their patients. Patients can better understand their needs when they can clearly see the "big picture." Full arch, occlusal images are an excellent way to help patients see the big picture and should be part of any new-patient examination (Figs. 2 and 3).
Documenting signs of risk
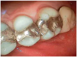
When we record all elements of risk that exist for patients, we have a clearer picture of how susceptible patients are to future breakdown. Noted tooth destruction or tooth loss due to functional influences, caries, or periodontal disease help to predict future outcomes for patients. A tooth with a large amalgam and several crack lines in a patient of low functional risk has a better long-term prognosis than that same situation would have in a patient of high functional risk. It is difficult to weigh the influences of risk and susceptibility to breakdown unless the elements that go into determining risk are recorded at the time of the new-patient exam. It is important to document decay activity and active signs of periodontal disease as well as the location and extent of tooth wear and mobility. All of the information can be used to establish an accurate diagnosis and develop a treatment plan that best suits the patient’s needs. Patients accept treatment more readily when they understand that they have other issues at play besides their amalgams showing signs of marginal breakdown.
The comprehensive treatment plan
When we provide a comprehensive examination, we let patients know that certain things in their mouths have been checked and require no further treatment. We also inform patients when issues need immediate attention — fractured teeth, failing restorations, caries, and periodontal disease are all good examples. Certainly, informing patients of their need for treatment in order to eliminate and prevent disease is one of our main responsibilities as health-care providers. However, we also discover conditions that may need attention in the foreseeable future. In addition to telling patients of their immediate needs, skilled clinicians give patients a prediction of their future needs the same way an auto mechanic may inform you that your brake linings are still functional but getting a little thin. Signs of attrition and erosion, alloy breakdown, crack lines in teeth, and increased bleeding upon probing are examples of concerns that patients should be informed of. Presenting patients with the complete picture (conditions that require immediate or future attention) allows them to be proactive when making decisions regarding their dental care.
For instance, many patients, when given the option, may prefer to combine both immediate-need treatment with future-need treatment. Advantages of this approach include decreased chair time and fewer visits, impressions, and injections (Fig 4). From a restorative standpoint, we can often better manage the occlusion and blending of restorative materials for an optimal result when the dentistry is approached in a more integrated way.
In addition, providing patients with the complete picture allows them to mentally and financially prepare. Patients balance a multitude of demands on their time and money and truly appreciate when we respect that they must "fit" the dentistry into their lives. We all feel better when patients proceed with the care that they need in a way that provides the least inconvenience and stress for them.
Lastly, complete disclosure minimizes surprises! If a patient has just had a routine check-up and been given a clean bill of health with no caution flags, and suddenly ends up on your doorstep with a cracked molar, he or she may question your diagnostic abilities — "Doc, I thought you said that everything was fine." When we keep communication open and give patients a complete picture of their situation and something goes wrong, patients appreciate the role we took in trying to prevent their inconvenience and discomfort.
Case presentation
For patients to proceed with treatment in a comprehensive way, they must feel confident in our ability to deliver care. There are multiple methods of demonstrating capability to patients — clean and tidy offices, pleasant, long-term staff members, and patient testimonials. However, I have found that sharing photographs of restored arches that demonstrate the transformations possible with modern materials and techniques is very effective (Figs. 5 and 6; 7 and 8). Just as everyone appreciates how restorative dentistry can improve a person’s smile, patients also appreciate how posterior dentistry can improve a deteriorating situation — especially when the preoperative case reflects their own needs.
Treatment is ideally presented in a way that allows patients to choose the timing that best fits their needs. When approaching treatment in a comprehensive way, we must assume the role of a respected and trusted consultant who guides yet does not dictate the speed and direction the patient chooses. I have refined my case presentation skills by learning about leadership and patient advocacy from experts in our profession such as Dr. John Kois and Dr. Paul Homoly. While we can learn these skills from accomplished dentists, we can also learn about leadership from practitioners in other fields who encourage mental and/or physical health. Physicians, physical therapists, massage therapists, trainers, nutritionists, and even financial consultants are just a few whom I have observed exhibiting strong leadership skills to guide their clients toward a state of well-being.
Conclusion
Approaching dentistry in a comprehensive way, even when it only involves posterior teeth, can create a great deal of joy and satisfaction for both patients and clinicians. Patients are afforded the opportunity to proceed with their dentistry in a way that minimizes treatment time and expense. Practitioners can develop more meaningful relationships as they spend concentrated segments of time with each patient. And, both parties can take joy and pride in a job well done by observing the long-lasting effects of a major transformation.
Dr. Betsy Bakeman is an Accredited Fellow of the American Academy of Cosmetic Dentistry and a Fellow in the Academy of General Dentistry. She is a Clinical Instructor for the Kois Center. Dr. Bakeman is an Accreditation Examiner for the AACD. She currently serves as Chair of Accreditation. She publishes and lectures on the topic of esthetic dentistry and soft tissue management in the esthetic zone. She can be contacted at [email protected].






