New technologies and the value propositions they offer
L. Stephen Buchanan, DDS, FICD, FACD
For more on this topic, go to www.dentaleconomics.com and search using the following key words: dental technologies, Tulsa Dental Specialties, L. Stephen Buchanan, DDS.
This column is intended to help you make good decisions about whether or not to buy in to new dental technologies, not an easy decision either way you go. Is the latest new product a passing fad that you will end up regretting for the money wasted? Is it an improvement that is credible but does not afford a return in proportion to the costs to incorporate it into your practice? Or is it a new paradigm so beneficial that it will make you wonder how you used to practice without it?
My first advice is to understand where you are on the bell curve of dentists faced with new technology. You would be well served by reading "Crossing the Chasm" by Geoffrey Moore, a marketing maven to the IT industry. As such, he has observed and written about a commercial environment that has changed more rapidly than any other.
Fortunately, dental science does not march forward as fast as it does in the IT business. I say fortunately because it becomes really chaotic when we head into new frontiers. Joseph Schumpeter, the celebrated Austrian economist (1883-1950), coined the term "creative destruction" to describe what happens in the midst of this kind of dynamic.
What Moore describes so well in his book is how new products and technologies are introduced and taken up, or not, by the market of potential users. He divided that population of users into four parts - the early market, pragmatists, conservatives, and skeptics - and illustrated how they populate a given market along that bell curve (Fig. 1).
He writes that although a new product must satisfy the early market to be successful in the broader market of users, technology enthusiasts and visionaries make up a very small segment of the market. They are willing to explore new technology just for the sake of being there first with the new thing, regardless of the costly risks of trying something new that flops.
Pragmatists constitute one of the largest and certainly most clever business segments of the market. Pragmatists are constantly yet carefully looking for inflection points, where new technology has been solidly proven to work and can be used as a lever to gain greater profitability and/or market share. They are skeptical of the opinions of early market dentists. Outside of my own areas of invention, these are my people.
Conservatives, although as large a market segment as the pragmatists, are pessimistic about their ability to gain any value from their new technology investments. They take it on only to avoid being left behind, and they become interested after all their pragmatist buddies have a new car/house/office/etc. due to the enhanced earning abilities or lifestyle improvements afforded by that new tool/material/procedure.
Skeptics are the critics, the gadflies of new technology. Marketing and sales managers never attempt to sell new products to them, they sell around them.
Where you fit on this chart, relative to the next new product a salesperson pitches to you, is largely determined by your personality, practice needs, and level of satisfaction you currently experience from the product that it would replace.
This was explained to me by a leading analyst of new product market trends in dentistry when he informed me that the successful introduction of new composite materials is currently much more dynamic than it was for new rotary nickel titanium shaping files. Why?
Because most dentists are not satisfied with their composite materials, and because they are, for the most part, very satisfied with the results they are getting from their rotary files.
So what is the best value proposition that has come from recent changes in my practice? For me, the greatest recent clinical endodontic advance has been changing to full rotary negotiation.
Off label from their promoted use, I cut to length in most canals with small ProFile Vortex Rotary Files (DENTSPLY/Tulsa Dental Specialties) in sizes 15-.04 and 15-.06. The reduction in physical effort and time has been remarkable, nearly as big as the advantage gained by the advent of rotary shaping.
Negotiation procedures in upper molars have typically taken me 15 to 25 minutes of fairly intense physical labor with hand files. With these small-tip-size Vortex Files, initial negotiation is now a much more relaxed process that takes less than five minutes in a typical four-canal molar. (See HD clinical footage at www.endobuchanan.com.)
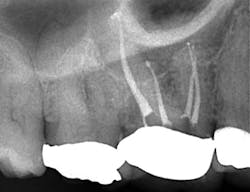
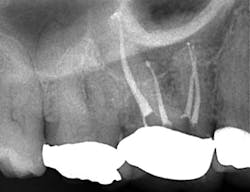
Then, with the same rotary handpiece, I am able to cut final shapes in most molar canals with just one or two GT Series X Files (DENTSPLY/Tulsa Dental Specialties) (Fig. 2).
What is the next big value proposition I see in new endodontic technology? Because I am doing rotary negotiation and need to determine length simultaneously, I think it will be an endo handpiece with an apex locator that conducts through the attachment and through the file without a wire riding the side of the file and disturbing the stop.
Note: References available upon request.
L. Stephen Buchanan, DDS, FICD, FACD, is a diplomate of the American Board of Endodontics and an assistant clinical professor at the postgraduate endodontic programs at USC and UCLA. He maintains a private practice limited to endodontics and implant surgery in Santa Barbara, Calif. Dr. Buchanan is the founder of Dental Education Laboratories, a hands-on training center that serves general dentists and endodontists to upgrade their skills in new endodontic and implant technology. Reach Dr. Buchanan through Dental Education Laboratories at www.endobuchanan.com.


