Automating shade matching with intraoral scanners
Advancements in digital technology have allowed dental equipment to become smaller, smarter, and more efficient to save space, time, and money. We see that clearly with intraoral scanners. The newest scanners, along with the latest acquisition software, incorporate time-saving functionalities that reduce the need for separate devices.
These intraoral scanners can capture impressions, recommend the ideal scanning direction, take live photographs and video, and now, even provide automatic shade matching and mapping. Integrating automatic shade matching into the existing scanning workflow takes the guesswork out of restoring teeth, along with a whole host of additional benefits to the dentist, practice, and patient.
One of the hardest things a dentist must do is restore a single front tooth. The side-by-side comparison of natural and artificial materials in the esthetic zone puts pressure on one not just to choose the right core shade but also to create an entire shade map. Few dentists actually do shade mapping, and those who do use a separate shade-matching device, which requires an additional investment and maintenance.
Others try to get the perfect natural shade through a team approach. Surprisingly, many dentists—mostly men—are partially color-blind and don’t even realize it. In fact, women are better than men at distinguishing between subtle gradations,1 so male dentists often call upon a female team member to help validate shading, especially on difficult cases. This pulls the team member away from her work with other patients.
The other factor that affects shade matching is office lighting. Of course natural light is the best, but most practices have fluorescent lighting, which means dentists must take their patients outside to verify true color.
Shade matching is a time-consuming process, and even when the best care is taken to get it right the first time, accuracy is not guaranteed. It is not unusual to see restorations in the esthetic zone go back to the laboratory at least once, if not twice, to get the shade right. Written descriptions and sketches are helpful for the lab, but the problem has always been whether the dentist’s description is the same as what’s in the mind of the technician.
Some labs have tried to address this issue by offering to see the patient personally and handle color matching and customization, but this isn’t always convenient if the lab isn’t local. Instead, the patient often must come back to the practice and try in the restoration. The dentist may decide it needs to be a little closer to an A3 or perhaps it needs a little more chroma at the neck. This means more lost time and money for the practice, patient, and lab.
Even when milling restorations in-house, it’s difficult to tell patients they will have to wait an additional hour or two while a new restoration is milled. While most patients can appreciate that dentists are doing their best and want to deliver the most natural-looking restorations, they’d much rather get the restorations right the first time.
Today, automatic shade matching is being incorporated into the software of premium intraoral scanners to eliminate the guesswork so that shade matching and mapping are right on the first try. When I use my CS 3700 intraoral scanner (Carestream Dental), the bidirectional reflectance distribution function (BRDF) captures the patient’s true shade, factoring in the light scattering from the optically smooth enamel surface of the tooth. This technology collects actual shade values from several views, considering all angles captured by the scanner (figure 1).
Not only is a shade report automatically generated and reliable, the scanner can also simultaneously capture photos of the tooth. There is no need to describe for the lab tech, “This part of the tooth is an A2, and it transitions into a lighter shade as it goes down.” Instead, photographs can reveal all of the minute details, as well as calcification marks or translucency, much better than a note or sketch ever could.
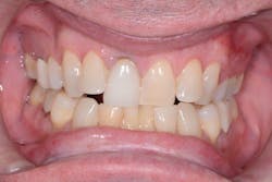
Automatic shade matching was put to the test when I had just finished a clear aligner case for a prominent businessman and was ready to do the restorative work. The patient had an existing crown on one of his front teeth (figure 2) and—as I had done for hundreds of other cases—I selected the shade ahead of time. I’ve been practicing dentistry long enough to have confidence in my decisions. However, to double-check, I used the smart-shade matching technology available with the CS 3700.
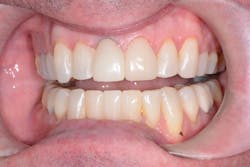
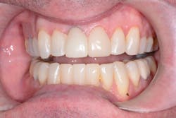
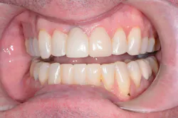
When I opened the fully automated shade map within CS ScanFlow (Carestream Dental), I was surprised to see the software recommended a lighter shade than my initial choice (figure 3). Here was the test: trust my gut or my software? I went with the software, and when we seated the case, the smart-shade matching had been correct (figures 4 and 5). The shade I had been so sure of was actually darker, and with no way to decrease the intensity in a natural way, I would have had to remill the case while the patient waited if it weren’t for the automated shade matching.
We already know that digital technology has changed our workflow, but where we are seeing the next wave of advancements is in software development. That means the devices we have become familiar with over the past decade, such as intraoral scanners, might not change much in appearance, but they will experience leaps of innovation on the inside—within the software. Automatic shade matching is just one of the many ways the digital restorative workflow is being streamlined even further.
Reference
1. Lewis JG. Steffens S. When it comes to color, men & women aren’t seeing eye to eye. Psychology Today website. https://www.psychologytoday.com/us/blog/brain-babble/201504/when-it-comes-color-men-women-arent-seeing-eye-eye. Published April 8, 2015.
About the Author
Michael Kelly, DMD
Michael Kelly, DMD, a 1993 graduate of the Medical College of Georgia School of Dentistry, practiced in Florida for 17 years before moving to Scottsdale, Arizona. He served as president of the Central Florida Academy of General Dentistry and dental director of the Good Samaritan Dental Clinic, an all-volunteer clinic. He has also been part of Project Give Back a Smile, offering care to domestic violence victims.







