Cone beam provides evidence for endodontic mysteries
by Ralan Wong, DDS, MS
For more on this topic, go to www.dentaleconomics.com and search using the following key words: cone beam technology, endodontic mysteries, 3-D imaging cone beam scan, Dr. Ralan Wong.
Many patients are referred to our endodontic practice to find the cause of mysterious pain. While 2-D imaging still plays an important role in our dental practice, the nondistorted, cross-sectional view offered by 3-D imaging brings new depth to diagnosing issues related to the mouth's anatomical structures. Cone beam technology provides the evidence that solves the most challenging of these enigmas.
For the past five years, dentists have observed cone beam's impact on dentistry while researching it for endodontic uses, and have found it to be a valuable asset. The medium field of view system that we chose for our office (Gendex GXCB-500™) benefits the gamut of dental practices, including those of general dentistry, endodontics, periodontics, and prosthodontics.
Here are a few cases where this technology changed a dental mystery into an open-and-shut case.
Resorption
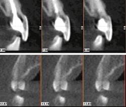
Determining the extent of resorption from conventional radiographs is very difficult. While it is possible to detect external or extra canal invasive resorption, the buccal and lingual areas are very tough, if not impossible to discern. Not so with 3-D, which lets me view the teeth in relation to other anatomical structures sliced in any direction (Fig. 1).
Cracks
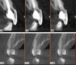
It's frustrating when we suspect a crack and perform a certain procedure, only to hear the patient has returned and we have to try again. With a cone beam scan, we can detect small cracks and correctly determine whether to re-treat or not. This avoids unnecessary surgery (Fig. 2).
Foreign bodies and accessory canals
A general dentist referred a case where an instrument broke off past the apex, and he was unable to remove it. From the cone beam scan, I located the piece near the sinus, but not imbedded in the bone. The same scan also uncovered some extra information; the mesiobuccal root on another tooth needed to be re-treated before seating the crown.
The dentist and patient appreciated the “heads-up” to this situation that would have caused future re-treatment issues. Another patient who had a root canal somewhere else 16 months before was experiencing pain caused by a completely separate root, which, again, was discovered by 3-D radiography.
Infection
When the 2-D X-ray of a patient who complained of tenderness after a root canal appeared normal, our 3-D scan detected a minuscule strip perforation and ongoing inflammation — so small it couldn't be observed on a regular digital X-ray. After an extraction, the patient received an implant. Another patient's scan exhibited an infection draining into the sinus that needed to be cleaned out before treatment.
Restorations
Before treatment, we need to know how far decay has traveled below the gingival or bony margin. With a cone beam scan, we don't have to be invasive by anesthetizing the patient, removing caries, then decide on appropriate treatment, whereas with cone beams we can decide on treatment preoperatively. We can communicate with the patient, illustrate points on the scans, and with guidance, allow the patient to determine if he or she wants to try to save the tooth or opt for an implant.
Unusual cases
Fused roots or incompletely separated roots are common in the Asian population. In one case of an upper first molar, my 3-D scan detected the distobuccal and palatal canals were joined by webbing. A mesiobuccal root with a single canal was also detected. It would otherwise not have been evident due to the obstructed view of the other roots on a 2-D scan.
The amount of information we obtain from 3-D scans is incredible. I have been out of school for 17 years, and learned “the old way,” solely with 2-D analog film X-rays.
But you can't put a price on how this “new way” reduces guesswork for complicated cases, and how much patients appreciate that. Now at my practice, routine cases get a 2-D intraoral (DEXIS) X-ray, but retreatment, surgical, resorption cases, and implants automatically get a cone beam scan.
For endodontists' need to get to the root of mysteries, radiographic 3-D imaging is ideal. For general practitioners, using the technology for endo evaluation and investigation adds yet another benefit for the patient and raises the value of an investment in a cone beam 3-D system. We all can use the extra help when we become dental detectives.
Ralan Wong, DDS, MS, is a respected educator and associate clinical professor in endodontics. Dr. Wong received an honors degree from the University of the Pacific School of Dentistry, graduate training at the University of Pennsylvania School of Dental Medicine, a certificate in Advanced Education in General Dentistry, and master's in oral biology. Reach him by e-mail at [email protected].

