The virtue of versatility

May 1, 2017
6 min read

Sometimes I’ve worked with dentists who subscribe to the “what works best in my hands” argument when selecting products, and sometimes my dentist colleagues are looking for the “latest and greatest.” In the office where I currently practice, both opinions are represented, which can make my job as an expanded function dental assistant challenging.

Recently, both of my dentists attended a continuing education event where adhesion was discussed. Both returned excited to try a newer category of adhesive products: universal. These two practitioners were opposites, one believed in a total-etch approach to dentin bonding, while the other preferred to avoid phosphoric acid and utilize self-etch chemistry.

What is not debatable is that creating a strong and stable bond between restorative material and tooth structure is a crucial factor in restorative success. However, achieving a strong bond can sometimes be challenging because enamel and dentin must be treated differently to achieve the best possible outcome. When preparing enamel, it is well established that acid etching with phosphoric acid facilitates a durable bond. But on dentin, judicious use of phosphoric acid or the use of self-etch adhesive technology may be prudent to mitigate negative outcomes, such as post-op sensitivity.

Figure 1: Prime&Bond Elect Universal Dental Adhesive is supplied in either a screw-top bottle or unit dose. When used with the Self Cure Activator, Prime&Bond Elect is suitable for use with dual-cure core buildup and cement materials.

Understandably, dentists may prefer a one-bottle solution for all etching situations: total etch, self etch, or selective etch. In my practice, we use Prime&Bond Elect Universal Dental Adhesive (Dentsply Sirona, figure 1) to provide that flexibility. The most appropriate etching technique can be utilized based on the type of remaining tooth structure.

Whether applied after total etching for preparations primarily in enamel, for self-etching preparations in deep dentin, or following selective enamel etching of preparations with both substrates, a universal bonding agent provides consistently high bond strengths, low film thickness, and virtually no post-op sensitivity.

When selective etching at the dentin-enamel junction, avoiding the risk of overetching dentin is a top priority. The use of Prime&Bond Elect with Caulk 34% Tooth Conditioner Gel (Dentsply Sirona) can deliver excellent application control to help minimize dentin exposure. For those times when dentin is unavoidably exposed to phosphoric acid during selective enamel etching, using Prime&Bond Elect will provide assurance that bond strengths and postoperative patient comfort will not be compromised.

Case study No. 1

A 42-year-old female patient presented to the office for a direct resin restoration on the disto-occlusal of tooth No. 12. The dentist I was working with always used self-etch bonding systems, because despite the bond strength achievable on etched enamel, she was concerned about the effect of phosphoric acid on dentin.

Figure 2: Selective enamel etching of tooth No. 12
Figure 3: Tooth No. 12 is isolated with the Palodent Plus Sectional Matrix System. Prime&Bond Elect is being scrubbed into the preparation.

After preparing the tooth, a viscous phosphoric acid gel was carefully traced around the margins of the preparation for a selective enamel etching technique and allowed to react for 15 seconds (figure 2). This was followed by copious water rinsing. Isolation was achieved using the Palodent Plus Sectional Matrix System (Dentsply Sirona), and Prime&Bond Elect was scrubbed over the entire preparation of tooth No. 12 followed by a gentle stream of oil-free air for five seconds to thin the material and evaporate the acetone solvent (figure 3).

Thick adhesives can pool in the corners of the preparation and show up as translucent areas on a radiograph. These can easily be misdiagnosed as voids, gaps, or secondary caries. The prime and bond agent selected has notably low film thickness for increased cavity adaptation and no visible void or gap on radiograph.

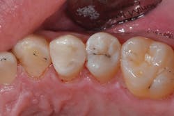
Figure 4: Final restoration on tooth No. 12
Figure 5: Radiograph for the disto-occlusal resin restoration of No. 12 showing excellent adaptation and no detectable adhesive layer

After light curing the Prime&Bond Elect for 10 seconds, the composite resin material was placed, occlusion checked, and the restoration completed (figure 4). Six months later, the patient returned for a hygiene recall appointment and reported no negative postoperative sequelae with the restoration on tooth No. 12. Bitewing radiographs were taken as a part of the exam. Not only did the restoration show excellent adaptation to the internal cavity walls, but no voids or black lines indicative of a thick adhesive layer were present (figure 5).

Case study No. 2

In working with my other dentist, who believes in a total-etch approach, a 27-year-old male patient was scheduled for an mesial-occlusal-distal resin restoration on tooth No. 5. After he completed the preparation, I placed the rubber dam and isolated the preparation with the AutoMatrix Retainerless Matrix System (Dentsply Sirona). On the deepest part of the preparation, Ultra-Blend Plus liner (Ultradent Products) was placed to protect the pulp.

Figure 6: Applying phosphoric acid to tooth No. 5 in a total-etch approach
Figure 7: After thoroughly rinsing the etchant away, Prime&Bond Elect is scrubbed into the preparation for 20 seconds.
Figure 8: The final restoration on tooth No. 5

In this case, phosphoric acid was first applied to the margins of the preparation and then used to fill in the entire cavity (figure 6). After 15 seconds, the gel etchant was rinsed away and the preparation was left slightly moist. Prime&Bond Elect was scrubbed over the entire preparation, air-thinned for five seconds, and light cured for 10 seconds (figure 7). A bulk-fill flowable composite base was placed, followed by a hybrid composite restorative to fill the cavity per the manufacturer’s recommendations. The matrix and rubber dam were removed. After we checked occlusion and finished the restoration to achieve a smooth final surface, the patient was released (figure 8).

Conclusions

An adhesive product that provides the necessary procedural versatility without compromising performance can add clinical efficiency. In my experience with the total-etch and self-etch dentists, Prime&Bond Elect satisfied each practitioner’s existing beliefs while combining chemistries into a one-bottle solution that streamlined our procedures and reduced our inventory.

Rhonda B. Goodchild, RDH, EFDA, CDA, is both a practicing hygienist and expanded function dental assistant in Berwyn, Pennsylvania. She is also a part-time instructor at All-State Career School in Philadelphia, Pennsylvania.

Sign up for our eNewsletters
Get the latest news and updates