3D Buyers Guide
by Dr. Joe Blaes
For more on this topic, go to www.dentaleconomics.com and search using the following key words: 3D buyers guide, 3D imaging, buyers guide, cone beam, William Davidson, Joe Blaes.
You are ready to make the move to 3D, but …
- There are so many different products available
- It is a big practice investment
- It is difficult to get independent information
- You certainly do not want to make a mistake
Take the stress out of the process and make a fact-based decision that ends with the right product for your practice!
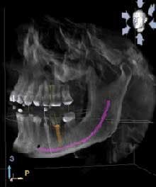
I wanted to increase the standard of care for my patients. Cone beam technology opens a new realm of visualization. I have patients who drive to my practice from out of state because they know I have this technology and they've heard about it on TV or the Internet. Having cone beam in my practice has generated interest in my practice. It has allowed me to place implants simply and with confidence, and I was not an implant dentist before I purchased the GALILEOS … Close your eyes, take a breath, and do it.
— William Davidson, DDS, Everest Dental, Northfield, Ohio 44067
This 3D Imaging Buyer's Guide can assist you in your conversations with 3D imaging manufacturers and make your decision easier. This is not a typical buyers guide that compares equipment, rather it provides some questions that manufacturers should be able to answer. Follow the guide, and be specific when asking the outlined questions.
Image quality questions:
- What level of resolution is the unit capable of (in microns)?
- What are the scan volume dimension capabilities, and does it meet your application needs?
- How long does a patient scan take, in both full and "quick" scan modes?
- Does the manufacturer focus on technology or show you images from local scans of live patients so you can judge image quality with your own eyes?
- Can the scan capture the pan image and ceph tracing points?
Ease of use questions:
- Can you use the software? Take hold of the mouse and find out.
- Can you imagine your staff taking scans? Get all the specifics about the scan process.
- How is the workflow? Does the manufacturer discuss realistic workflow from scan, to pan, to case planning, or only "reconstruction" times?
- Is the pan automatically created or does it require user tracing? Try to do it yourself.
- Is implant planning integrated into the manufacturer's software?
- Can you view full 3D scans anywhere in your practice?
- Can the volume data be sent electronically to referral users? Exactly how is it done?
- Does the manufacturer provide functional shareware to referral users?
Patient safety questions:
- What is the radiation dose from a full-volume scan? Is it equal to three digital pans (or less)?
- Does the manufacturer provide actual radiation dose information or "estimated" dose information?
- Is the system wheelchair accessible?
- Can patients be either standing or seated during scans?
Training questions:
- Is in-office training included? How many days?
- Is a CE course included? How many days?
References:
- Can the manufacturer provide reference sites for every dental specialty?
- What happens when you call the manufacturer's support line?
Return on investment:
- Can the system produce a billable panoramic?
- Can the system produce a billable cephalometric?
- Is the system capable of completely replacing your pan or pan/ceph?
- How easy is it to share 3D scans and 2D images with other referring clinicians?
Pricing:
- Does the price include installation and local service?
- Does the OEM software include multi-nodal licenses and keys that enables full access from all of your workstations, or do extra nodes and licenses cost extra? If so, how much extra?
- Does the price include a warranty? How long is it, and what does it include? What does it exclude?
- Does the price include software upgrades? For how many years?
Technology:
- Does the manufacturer provide a demo version of new software applications?
- Does the manufacturer own the OEM software?
- Can the manufacturer implement new software improvements for owners of older units?
- Is the scan data DICOM and PACS compatible?
I hope this series of questions will assist you in your quest for the best 3D imaging for your practice situation. With knowledge comes understanding!



