Profitability
Richard D. Mounce, DDS
A discussion of profitability in endodontics can raise fervor among clinicians. While profitability may be a dirty word for some, we cannot provide endodontic services (or any dental services) unless we can do so profitably. Profits allow clinicians to invest further in their skills, delivery capabilities and equipment, promote oral health, esthetics, dental function, and - most importantly - relieve human suffering. A superficial discussion of profitability in endodontics could easily become a list of “tricks” to facilitate faster procedures that might lead to increased short-term profits. Rather than learn the “tricks,” it is always better to learn the trade. Said differently, tricks are not needed when the clinician has mastered the basic principles, and seeks to achieve these with the greatest efficiency and accuracy.
How to make more money doing root canals is not the purpose of this article. The purpose is to identify areas within the endodontic process that can be performed more efficiently by using a philosophy that always puts the patient’s best interest first. State board complaints, unhappy patients, and high staff turnover are all hallmarks of a “profit first” practice. Alternatively, endodontics practiced in the patient’s best interest can pay handsome dividends by building trusting relationships with patients and performing procedures that stand the test of time.
Philosophy
Philosophically, every clinician must ask :
1)In whose best interest are the endodontic services provided?
Is it the patient’s? The doctor’s pocketbook? If the motives are not pure, the chances for a less-than-ideal result, abuse of the doctor-patient relationship, and clinical morbidity rise exponentially.
2)Does every patient receive the same level of care that you would provide to your mother or father?
Never before has there been such an astonishing array of methods, materials, and treatment philosophies. Recently, I read a national magazine article in which the author advocated a technique for doing molar root canals in 20 minutes and anterior teeth in 10 minutes. Is it possible to make an access, irrigate, cleanse, shape, and fill canals properly in such a short time frame? The answer is a resounding “No.” Many such philosophies devalue the art and science of the specialty. A patient with a failed endodontic result becomes unhappy and fearful, which creates a higher mountain for the next clinician to climb before being able to resolve the issue. Many flawed procedures, especially those that lead to the loss of a tooth, could have been avoided if treated to a higher level by surgical operating microscope and a more complete preoperative evaluation.
3)Do you refer the patients who require a referral or do you approach all or most cases with the notion that you can try anything and only refer later if something goes wrong?
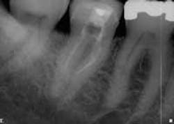
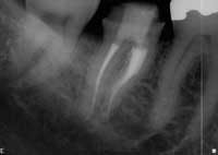
This is rarely satisfactory to the patient and/or doctor and not a profitable method of practice. We all know, or should know, our degree of skill, equipment, and comfort level. As clinicians, few of us can be all things to all people. If we know of a clinician who is more skilled in a given endodontic area, we are duty-bound to act in the best interest of the patient and refer. As a practicing endodontist, I refer a limited number of patients for IV sedation, as required. The patients who get the best possible treatment, even if referred elsewhere, can become our greatest advocates because they know we have their best interest at heart. The converse is true. The “I’ll try anything” mentality can bring forth iatrogenic events that rarely leave the tooth with the same integrity that it would otherwise have. Work that has to be re-treated is never profitable (see Figs. 1 and 2).
Based on the answers to the above questions, if a clinician chooses to treat the patient, it is my bias that profitability stems from efficiencies created by performing the procedure at the highest level possible and with the most nonprofit, altruistic motives. In essence, if the treatment is in the patient’s best interest and is performed to the highest standard, it has the greatest potential to be profitable.
Performing each step of a root canal well can lead to the desired end point. Skipping a step or doing a step poorly makes an excellent result almost impossible. One mistake usually leads to another. For example, lack of a K file hand-created glide path can lead to greater potential for a separated rotary nickel titanium instrument. This can lead to compromised canal cleanliness if the file cannot be removed (due to its location). Also, moving to cone fit before completing instrumentation is counterproductive, as is attempting access before checking that the anesthesia is profound. In short, it is imperative that the clinician not move to Step 2 before Step 1 has been accomplished well.
Creating efficiencies in performing each of the successive steps in endodontics can lead to profitability. They include:
1)Preoperative history, anesthesia, and preparation
History (medical, dental, and HPI)
While much could be written about obtaining the needed history of the tooth and patient, one issue especially deserves mention. Is the tooth restorable and functional? If the tooth is not restorable now, can it be made restorable? Removing a tooth after root canal treatment because it is not restorable is the antithesis of profitability.
Accurate diagnosis
The best treatment is for naught if the wrong teeth are completed. Never begin treatment if you cannot duplicate the patient�s chief complaint or are unsure as to the offending tooth. Having to refund money due to a botched diagnosis is unprofitable.
Patient consent
The patient must understand not only the process but also the vital importance of a buildup and crown to follow the root canal.
Profound anesthesia
Test the patient to cold and/or percussion before beginning to evaluate the level of local anesthesia. If in doubt, do not begin. Administer more anesthetic within the correct limits. A patient who is not numb or perceives that the dentist does not care about his or her comfort most often leads to the loss of the patient. Again, this is unprofitable.
Rubber dam
Rubber dam use is the legal standard of care. There is no defense for not using it. As an aside, always give your patients eye protection to prevent a tragedy.
2)Access and instrumentation
Straight-line access
This access provides less torsional stress and cyclic fatigue to instruments, both hand and rotary files, as they cut dentin within roots. Fractured instruments significantly diminish profitability.
Crown down instrumentation
Instrumenting the coronal third first, the middle third second, and apical third last gives rise to enhanced volumes of irrigation, better tactile sensation, and less incidence of iatrogenic possibilities during treatment.
Accurate TWL
There is no substitute for an accurate true working length. Multiple measures of determining true working length to confirm one another have significant value. Electronic apex location, bleeding point determination, radiographic methods, and tactile sensation should all agree in making an accurate assessment of where instrumentation should proceed.
Achieve patency
The ability to pass a K file through the apex to 1 mm prevents the accumulation of dentinal mud at the apex. This can lead to canal blockage and predispose rotary files to breakage.
Frequent recapitulation
Maintaining patency once it has been achieved has value in preventing dentin chips from rapidly accumulating in the apical third.
Copious irrigation
Empirically, an average molar requires 90 to 150 cc of sodium hypochlorite irrigation for 30 minutes after the bulk of the pulp has been removed. A side-vented, close-ended needle is recommended.
3)Obturation and coronal seal
Cone fit
A cone fit that exhibits tug back in the apical three to four mm only is desirable. A master cone that flies out the end of the root due to a lack of proper fit is a preventable complication that diminishes the potential for long-term success.
Compaction without voids
While radiographic obturation without voids is one measure of the quality of obturation, it is not an absolute guarantee. Conversely, the presence of voids guarantees that there is unfilled and most likely uncleaned space within the canal system.
Coronal seal
The vital importance of coronal seal in endodontics cannot be overstated. Gutta percha exposed to saliva for any appreciable period of time is contaminated with bacteria and should be retreated. Clinically, the use of a bonded obturation material, such as Resilon (Resilon Research, Madison, Conn.) or RealSeal (SybronEndo, Orange, Calif.) can help significantly diminish coronal microleakage. In addition, and more importantly, the placement of a bonded core buildup as soon as possible after completion of the root canal can help guard against this preventable clinical failure (Fig. 3).
4)Postoperative instructions and recall
Postoperative instructions
Giving the patient a reasonable expectation of what may follow their treatment can both reassure the patient as well as minimize after-hour calls. More than any other single factor, the patient�s knowledge that he or she can call, and that his or her concerns will be heard and taken seriously, can go a long way toward creating trust.
Follow-up restorative treatment
As mentioned, even the best endodontic result will fail if the tooth is not sealed and properly restored.
Six-month recall and two-year recall
Both of these treatment checks are vital if the true healing, or lack thereof, is to be determined.
Inherent in a discussion of profitability and the accomplishment of the aforementioned steps, is the need to have the best possible equipment at hand to promote the most efficient and ergonomic treatment possible. In years past, this equipment might include the SystemB (SybronEndo, Orange, Calif.) and Obtura II (Spartan Obtura, Fenton, Mo.) to facilitate a thermosoftened obturation into all the ramifications of the root canal system. Today, there is the state-of-the-art Elements Obturation Unit (SybronEndo, Orange, Calif.) that combines and enhances each of these pieces of equipment separately. The Elements Obturation Unit is a machine that has a SystemB styled heat source on one side, and an extruder for gutta percha, RealSeal or Resilon on the other. This single unit contains, in one sleek and ergonomic design, all the functionality needed to obturate canals with the various warm methods of obturation. The clinician can perform SystemB obturation, the classic vertical compaction of warm gutta percha, or a combination of procedures (Fig. 4). On the heat source side, the heat can only be turned on for four seconds when the heat source is activated. As a result, there is minimal risk of damage to the periodontal ligament. On the extruder side, the cartridges that contain RealSeal or gutta percha are single use, self-contained, and very convenient. RealSeal cartridges are less expensive than carrier-based products and more expensive than gutta percha. Resilon technology also is available on Simplifil devices (LightSpeed Technologies, San Antonio, Texas).
Endodontics should serve people. Procedures that accomplish the biologic objectives of root canal therapy more efficiently, and to the highest standards of care with the patient’s best interest in mind, are always the most desirable and profitable.
Dr. Richard Mounce is in private endodontic practice in Portland, Ore. Dr. Mounce is the author of a comprehensive DVD dealing with cleansing, shaping, and packing the root canal system for the general practitioner. The material is also available on audio CD as well as via Web cast pay-per-view. For more information on Dr. Mounce, contact him via email at [email protected].




