High-tech practice builder: Your diode laser
Gary Radz, DDS
For more on this topic, go to www.dentaleconomics.com and search using the following key words: high-tech, diode laser, periodontal therapy, scaling, root planing, Dr. Gary Radz.
Today's dental practice can have many different types of technology available to assist in patient care. Creating patient awareness of these technologies will not only allow patients to understand they are receiving the best care possible, but it can also serve as a way to build your practice.
A diode laser is this type of technology. A diode laser has many uses in the dental operatory. It is important to be sure that the patient understands why you are using a laser and the benefits of the laser. You should educate patients so they appreciate why you have made this technology available.
The diode lasers that are available today are more affordable and smaller than just a few years ago. The Discus NV may be the ideal diode laser. It is small, powerful, cordless, and affordable. The laser's small size allows it to be available to the dentist and the hygienist for clinical use during the workday.
The hygienist can use the laser as an adjunctive tool in periodontal therapy. The diode laser is used in combination with traditional scaling and root planing treatments. While the treatment is performed, the hygienist educates the patient as to why the laser is being used and its benefits.
Patients are routinely impressed with the use of this technology but only if they are informed that it is being used. Certainly, if we can make scaling and root planing a more positive experience, we will see the advantages to the perception of our office.
For the dentist, the diode laser has a multitude of clinical uses. From esthetic gingivectomies, to implant uncovering, to frenectomies, to gingival troughing for impressions, hemostasis, and so many other soft-tissue procedures, the diode laser is an effective and powerful clinical tool.
In our office, not a day goes by that the diode laser is not used. It consistently performs surgical procedures with precise outcomes and with no postoperative discomfort.
When patients are made aware of what you are doing with the diode laser - and why - they can become advocates of the practice.
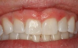
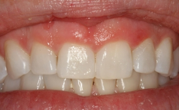
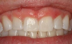
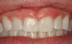
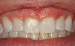
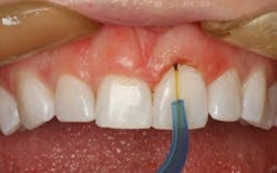
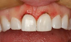
Recently, we had a new patient present to the office. She was referred by her sister. We earlier had performed an esthetic gingivectomy along with eight porcelain veneers on her sister. She was so impressed with her sister's outcome that she called our office specifically to have an esthetic gingivectomy performed with the diode laser.
Figures 2 and 3 (below) show the esthetic gingivectomy that we performed. Using the NV laser and topical anesthetic, we met her esthetic goals in less than 10 minutes.
Finally, when technology such as a diode laser is available in a practice, it is important that the practice uses this as an asset to attract new patients. The laser should have a prominent place on the office's Web site. There should be a good explanation of what the laser is used for and the benefits of the laser to the patient.
A diode laser will add to office production. Here are some examples from our office for 2010 numbers: 17% of the production in the hygiene department can be directly attributed to using the diode laser, and we produced more than $28,000 from gingivectomy procedures. This is a sampling of the production that can be quantified from the use of the NV laser.
We have had diode lasers for more than 12 years. Our patients understand why we use lasers as part of treatment and understand their advantages. Not only does the use of the NV diode laser help to improve clinical outcomes, it also enhances the perception of our practice in patients' eyes. Positive clinical outcomes and positive perceptions are how successful practices continue to grow.
Dr. Gary Radz maintains a private practice in downtown Denver, Colo. He is an associate clinical professor at the University of Colorado School of Dentistry. For more information, go to www.garyradz.com.



