Chairside CAD/CAM hits the mainstream
By Tom Hedge, DDS
About three months ago, I made a decision to improve my professional life. I invested in chairside CAD/CAM technology. I had heard about significant advancements in this category for some time; nevertheless, my previous experiences with CAD/CAM left me believing the technology wasn't there yet. Finally, after hearing CEREC 3D had overcome hurdles that its predecessors couldn't, I knew the time was right for me.
During the past three months, I have increased my production per hour, provided my patients with better dentistry, and had fun doing it. The change and excitement all came courtesy of my recent CEREC 3D integration. My laboratory bill alone fell more than $3,000 a month — and I'm a new user who does a moderate volume; a practice that does a higher volume is likely to do even better. I like to think that you don't actually buy CEREC, you just take a pile of money and shuffle it around. It can really function as a cash-flow management tool.
The new and intuitive CEREC 3D System allows users to view, manipulate, change, and verify all aspects of the restoration design before it is milled, thus providing dentists with complete confidence in an ideal marginal fit. New interactive software allows occlusion to be nailed on the first try, and the restoration can be dropped right in. This is a significant progression from previous systems. To say that chairside CAD/CAM has come a long way since its introduction to the market more than 15 years ago would be a gross understatement. Since that time, user input and heavy research and development have contributed to the technology's evolution. Among the hurdles CEREC 3D has overcome from previous systems is the learning curve and ease of integration, fit, and aesthetics.
Integration
My biggest surprise with CEREC 3D was how soon I was up and running after installation. In my practice, integrating the technology with my staff was simple, and it's beneficial for patients, too. Now we can offer patients intermediate fee restorations. We no longer have to offer them crowns or nothing. CEREC increases their options. Everyone wins — the practice, staff, and patients. The system's flexibility is great and accommodates most restorative options. Everyday restorative procedures such as inlays, onlays, and crowns are easy to learn. After just three months of use, I feel comfortable enough to tackle other procedures such as endo-crowns, quadrant crowns, and crowns under partial dentures.
In my practice, new patients tour the office when they walk through the door. When they pass by the operatory in which the CEREC resides, they immediately become interested. When they hear they can get a crown in one visit with no temporaries and no impression material, their excitement is evident. I know that when new patients walk through my door, the CEREC is doing its part to keep them there.
Aesthetics
Skeptics of CAD/CAM technology often question the aesthetics of restorations, but during the last 15 years, technology has been comprehensively documented on restoration durability, fit, wear, and aesthetics.
With CEREC 3D, control over the anatomy of restorations rests in the hands of the user. The anatomy and intricacies of restorations may be viewed, manipulated, changed, and verified before restorations are actually milled. This saves significant time because the fabrication of the occlusal takes place in the software, not in the mouth. In an effort to offer even greater aesthetic options, Sirona recently added a Lee Culp database. The new function allows for increased anatomy options, resulting in more natural-looking restorations. It's like having Lee Culp as your own personal lab technician.
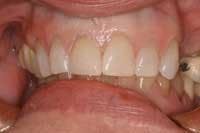
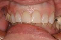
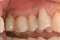
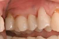
Additionally, staining and glazing a CAD/CAM restoration is simple and adds even more natural qualities to the restoration. A few minutes of customizing the color gradients can do a lot for the natural look of the restoration. Even without staining and glazing, colors on the inlays and onlays blend so well that they almost create a chameleon effect in the mouth. I think the quality of a CEREC restoration is as good as — if not better than — that of lab-fabricated restorations (Figs. 1-2). Couple that with the time and money associated with second visits and lab fees that are eliminated, and that's why chairside CAD/CAM has become my restorative option of choice.
Conclusion
Chairside CAD/CAM has come a long way since its introduction in 1987. The patient demand for quick, cosmetically pleasing restorations has driven us to rethink the way we practice dentistry. Change is inevitable, but it doesn't have to be cumbersome. When I integrated CEREC 3D some 90 days ago, the change was seamless, but the impact has been monumental.
Editor's Note: References available upon request.




