How to stay busy doing what you should be doing
General practice dentists, or "GPs," treat a lot of baby boomers. That means 50-year-old dentitions replete with old amalgam. Let's face it - until a patient notices pain or some sort of gross breakdown, it can be difficult to recognize a failing amalgam restoration. If you examine old restorations bare-eyed (without enhancement provided by loupes or microscopes), then you probably give the majority of these restorations passing grades.
Many of those same GPs subscribe to practice-building newsletters. Some pay big bucks to marketing consultants for help attracting more patients. There's the irony, because scads of restorative opportunities walk through your door daily, ride in your hygienist's chair, and walk right back out completely un-noticed - and they don't return for another six months.
The first step in solving a "busyness" problem should begin in the hygiene room - not the Yellow Pages.
Enhance a sixth sense: "I see dying restorations"
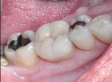
A quadrant of old amalgam restorations looks like another animal when viewed under magnification.
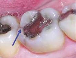
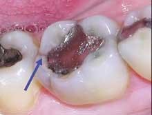
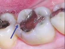
Under 3.5x or higher magnification, that peaceful row of gray-on-white may look more like a war zone. I use Class IV Orascoptic EyeMax loupes approximating a 5x view. This level of magnification took some getting used to, but now, little escapes me. In fact, I see things I never saw before. Where I previously saw old, but generally adequate alloy restorations, now I frequently discover minute coronal fractures subtly splitting a marginal ridge or areas of frank leakage that I previously missed (Figures 1 and 2). If you want to diagnose breakdown in progress, as opposed to waiting for inevitable failure, magnification is a must. It's one of several tools that give you more conviction when you make a diagnosis of pending failure. With more conviction comes greater confidence in your treatment plan. Your patients notice this and take your recommendations more seriously. Then, when you show them exactly why you believe their asymptomatic restoration is in jeopardy ... but now I'm jumping ahead of myself. Necessary as it is, magnification is just the first step.
Better materials, new restorative skills
"As to diseases, make a habit of two things: to help, or at least do no harm." - Hippocrates, "Epidemics"
To intervene while the disease process is still sub-critical (which is precisely what I'm proposing in this article), you must develop the restorative skills, use the right materials, and have confidence that you are leaving patients better than you found them.
Valid arguments in 1990 against early intervention no longer apply. When composite resins wore excessively and bonded restorations leaked badly and frequently were associated with excruciating post-operative sensitivity, one could make a compelling case for prudent "watchful waiting," or delaying treatment until necessary. Now, we have better diagnostic tools, restorative materials, and bonding agents.
Preventive intervention
Once you master these technologies, don't watch a restored tooth deteriorate until a patient loses a cusp, requires a full crown, or needs a root canal treatment.
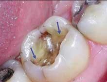
Consider the mush and recurring decay you often find under unbonded amalgams, plus the fractures under weakened cusps or brazenly dead center in sub-amalgam tooth structures. (This is common in baby boomers when canine guidance has been lost.) When I remove an old, defective, amalgam restoration, I recall turning over a rock embedded in the earth and half looking away for fear of finding something scary. Use that simile when recommending replacement of old alloys. It will help you explain the situation (Figures 3 and 4).
When replacing an amalgam that's beginning to fail, you're likely to remove secondary caries and reseal - or in most cases, seal for the first time - the cavo-margin surfaces. You'll often provide shelter and strength for weakened tooth structures by shoeing areas with composite or placing indirect restorations such as crowns or onlays (Figures 5-8).
If you intercept a fracture or secondary caries tracking for pulp-central, you can save your patient the cost and pleasures of root canal therapy or worse - extraction. Once they understand, patients appreciate preventive intervention (Figures 9 and 10).
Think "qauadrant," not "tooth"
Be alert to opportunities to treat a quadrant of problems, rather than a single tooth. Quadrant dentistry is more efficient - faster, cheaper in the long run, and in my opinion, a lot better for the patient. To illustrate my point:
• Rubber dam isolation generally means reduced stress for dentists and better restorations for patients. When placing a single restoration, you might think using a dam is more work than it's worth. But when treating a quadrant, you can easily justify the effort. In fact, when doing quadrant dentistry, a rubber dam is mandatory for first-class work.
• Once you and your assistant get the hang of production-line bonding, it usually takes just a few more seconds to bond three restorations as a single restoration.
Restorations replaced in this fashion - typically two large, three medium, or any similar combination - can generate an hourly production number similar to that of a crown. And in the process, you've improved multiple teeth, not just one. Usually, quadrant dentistry costs will be less than patients' annual insurance maximums, so their out-of-pocket layouts will be smaller compared to those of restoring single teeth with single crowns. This will help melt patient resistance to treatment. Of course, I don't eliminate crowns. They can follow later or be part of the quadrant recommendation. The familiar "borderline alloy" that exhibits considerable sound tooth structure remaining, however, may be restored with resin along with replacement of adjacent alloys of similar vintage. This will upgrade the quadrant and delay crowns another decade.
Explain the concept to patients
In our office, we pay attention to incipient coronal fractures. Here's a conversation you might hear between a hygienist and a recall patient:
"Mrs. Brown, your overall oral hygiene looks good, but I notice a small crack in your tooth next to an old, large, silver filling. When the doctor checks you after we've finished, I'm going to have him examine it under magnification. Depending on what he sees, the doctor may recommend a diagnostic restoration removal, or DRR, to see if the crack poses a threat to the nerve. This involves removing the filling, inspecting the crack, and restoring the tooth. Usually, he'll simply replace the old, silver filling with a bonded, tooth-colored filling. That will strengthen the tooth and prevent the crack from spreading. If the crack is deep, there's a chance he might recommend a crown to hold the sides of the tooth together. You have a couple of adjacent fillings of similar vintage, so he may suggest you replace them all to avoid similar problems. While we're waiting for the doctor, I'll show you some photographs of teeth with cracks similar to yours and what Dr. Goldstein found under the old fillings."
During the few minutes before I can break away to visit the patient, the hygienist shows a series of close-up demonstrative photos I've taken during the years that show old restorations that are beginning to fail and what we discovered upon their removal. Sometimes those "small cracks" turn out to be profound fractures.
This picture-book approach helps explain our proposed treatment and why we propose it. (In fact, a colleague recently persuaded me to make these available commercially at www.drgoldsteinspeaks.com.)
If a close-up examination confirms that treatment is necessary, but the patient has trouble understanding what I'm proposing, I take a digital photo of the questionable restoration and show her how closely it resembles the failing restoration in the picture book.
The quadrant appointment
I typically schedule a one-hour appointment and begin with the most suspicious tooth. We tell the patient if we discover that a "primary suspect" needs a crown, and we'll concentrate exclusively on that tooth during the appointment. If we can reliably repair it with direct resin, we will do so and recommend the same be done to the adjacent alloy of similar vintage. This permits a clean sweep - all at the same visit. If the crown was initiated, the remaining alloys in that section frequently will be replaced during the cementation visit to complete the quadrant refurbishment.
Of course, it's important for the front desk to apprise our patients of potential costs prior to making appointments and to make appropriate financial arrangements before the visit. Our Softdent practice-management package makes this simple.
The finishing photographic touch
I keep a digicam chair-side as well as a PC monitor for rapid-fire show-and-tell. After I remove an old alloy, I take great pleasure in snapping an image of the "under-the-rock" scenario and either showing the patient right away, or showing him or her near departure, after the tooth has been restored.
This process is often preceded with a "pre-op" photo showing the defects that prompted restoration removal. Such pre-op photos also might be of benefit for insurance carrier inquiries.
Patients like knowing that their time, money, and effort have been well-spent. You can expect to hear, "Just like in the pictures that Sandy showed me, doctor." I nod and smile.
Isn't this what we are supposed to be doing?
This is not the restorative rationale I practiced upon leaving dental school; it's evolved along with advances in dental materials, the ability to visualize dental pathology, my personal diagnostic experience, and ability to "deliver the goods."
Don't misunderstand - I'm not saying the only good amalgam is one removed. I'm saying replace what is ready to be replaced, as long as you can improve the patient's condition.
Despite our profession's forays into cosmetics and advanced prosthetics, most patients want us to fix what's broken and intercept trouble before it happens. Like it or not, "fillings" and the dental profession are a package deal for most of us.
If you can warm up to the requirements and rationale presented here, you can be productive, profitable, and good medicine for your patients' oral health. Moreover, the "busyness" problem you thought you had might just disappear.










