The business of mini implants
by Gregory L. Sawyer, DDS
For more on this topic, go to www.dentaleconomics.com and search using the following key words: mini implants, dental implants, minimally invasive dentistry, placements.
It seems that news about dental implants is everywhere in the trade publications recently, and with good reason. The evolution of dental implants has completely changed prosthetic dentistry. As we know, implants can offer a number of benefits, from improved esthetics, to reducing bone loss, to improving denture retention for edentulous patients.
The need for implant treatment is clear. Statistics showing that 69% of adults ages 35 to 44 have lost at least one permanent tooth, and that by age 74, 26% of adults have lost all of their permanent teeth. Using implants for these patients in lieu of placing a bridge or to help stabilize dentures can offer significant advantages over alternative treatments.
Traditional implants, however, are often not a realistic possibility for many patients, particularly those who are edentulous. The diameter of a standard implant requires the patient to be in good health, with adequate bone to anchor the device.
Unfortunately, many edentulous patients do not meet these qualifications. Bone grafting is an option, but this adds another invasive step to an already invasive procedure, and many patients are not willing to undergo this process. In some cases, even patients who do qualify for standard implants balk at the cost of the treatment.
These situations illustrate the considerable need for mini implants, and how useful they can be for patients who are anatomically or medically too compromised for standard implants, or are looking for a lower-cost option.
Approved by the FDA in 1997, mini implants have been gaining support and have shown evidence of their effectiveness for more than a decade. The advantages of mini implants for both patients and dental practices are significant. For patients, mini implants are a lower cost option than standard diameter implants, and they also require less bone for stabilization. General dentists who incorporate mini-implant placement into their offerings are able to maintain their relationships with patients and fully oversee the procedure.
Overall, mini implants can help dramatically improve patients’ quality of life, making them an important service for general dentists to provide.
I became certified to place IMTEC Sendax MDI™ mini implants in 2002, and have been experiencing the benefits of offering this service ever since. As many dentists have learned, there are two ways to grow a practice.
One way is to bring in more new patients. The other option is to increase the number and value of the services provided to existing patients. In my experience, offering the MDI system is effective in achieving growth in both areas. It can be implemented quickly and in a cost-effective way.
Mini implants and the general dentist
General dentists can incorporate mini implants for denture stabilization into their practice after completing a one- or two-day certification course, a minimal time investment for what can be an important practice builder. The mostly flapless procedure takes approximately 90 minutes and requires placing four implants to stabilize the mandibular denture.
The MDI system includes the titanium alloy implants, either 1.8, 2.1, 2.4, or 2.9 mm in diameter, which anchor to the bone, as well as a retaining fixture containing an O-ring that is incorporated into the base of a patient’s denture. The ball-shaped head of the implant and the retaining fixture function as a ball and socket, with the O-ring snapping over the ball when the denture is seated. The system holds the denture in place at a predetermined level of force, allowing the denture to rest on the patient’s soft tissue while still allowing for micro-mobility.
After I learned the procedure during a two-day course, I was able to return to the office and implement it quite quickly. The time required to train staff is minimal, and the procedure is not at all difficult to set up.
In fact, it is less complicated to set up for a mini implant procedure than it is to prepare for a root canal or a crown preparation appointment. The procedure is typically completed in 60 to 90 minutes, although the actual time spent placing the implants is generally 15 minutes or less. Much of the rest of the time is spent retrofitting the patient’s denture.
The ability to use patients’ existing dentures is one of the key factors in minimizing costs for the procedure. In my practice, we offer financing for the procedure with payments that are typically $95 a month, which enables even patients on Social Security to afford the service.
While fees can vary widely between practices, in my experience most practitioners should be able to recoup their investment in the education and introductory kit on their first or second case.
While many patients are originally interested in the procedure for its relatively low cost, I have observed in numerous cases that patients become more willing to make additional investments after experiencing the great value of the mini implant procedure. Once they realize that their dentures are much more functional, patients become excited about eating and socializing, and I have had many patients return to have new dentures fabricated.
In fact, the first patient I ever performed the procedure on selected my practice after his dentist suggested placing two root form implants at a cost of approximately $13,000. The patient visited my office because he was searching for a less expensive solution, complaining that he just couldn’t afford $13,000.
I performed the MDI procedure at a fraction of the cost he was quoted by the other dentist. The patient was so pleased with the added stabilization that he elected to have new upper and lower dentures made. While his final cost was still less than $13,000, the patient voluntarily made a significant extra investment in his teeth once he realized the value of a functional and esthetic improvement.
When considering whether to invest in additional education or equipment, in many cases dentists must ask themselves complex questions about their patient base and determine a break-even point at which the investment will start to pay off. However, because the cost to gain certification for the MDI procedure is so low, I have found that it is largely unnecessary to perform complicated analyses like this.
General dentists who have only a small edentulous or senior patient pool can still benefit greatly from offering the service. I found that after I had exhausted the potential of my existing patient pool, placing small newspaper advertisements about the service worked very well to bring in new patients. In fact, even during the challenging economic conditions of the past year, offering this service helped my practice continue to grow.
The impact on patients
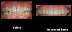
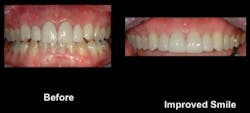
Any benefit that mini implants bring to the dental office would be irrelevant if the treatment was not also beneficial to patients. Fortunately, stabilizing dentures with mini implants produces results that patients notice almost instantly.
Patients who have previously coped with the embarrassment of dentures slipping and becoming dislodged are often amazed at the difference with implants, and are overjoyed to be able to eat and socialize with confidence again. Witnessing the difference that stable dentures can make to a patient’s quality of life is a truly rewarding experience.
In addition to the functional improvements mini implants offer, there are practical considerations that also make the procedure a win-win for the dentist and the patient. Patients can enjoy the continuity of care that comes from having their general dentists perform the procedure, rather than being referred to specialists with whom they might not have a relationship.
Additionally, the lower cost of the procedure makes it less of a financial burden, which is especially important for many senior-aged patients. Also, the lower level of invasiveness offered by mini implants makes it easier for patients to recuperate and causes less disruption to their lives and routines.
Many patients are surprised at how fast and easy the procedure is. As many of us have experienced, edentulous patients are often wary of visiting the dentist, which is typically a major contributor to their condition. However, I have had many patients ask, “Is that all?” after I inform them that the procedure is complete.
It is gratifying to provide such a valuable service in a minimally invasive way. I had a recent follow-up appointment with a patient who told me that, after just a few days with implants, she realized how much joy had gone out of her life because of the limitations of her dentures. She said that now she was enjoying foods she hadn’t had for decades.
One of the most convincing case studies I have seen for MDI implants is a patient I treated who had an existing bar overdenture on four Branemark implants in her lower arch, provided by a prosthodontist and an oral surgeon at a cost exceeding $30,000. She was seeking a way to stabilize her upper denture as well, but every dentist she had consulted told her that there was too little bone in the arch for implants.
After obtaining a CBCT scan of her upper arch, I was able to place seven mini implants and retrofit her denture. Although the cost for this procedure was around one quarter of what she spent on her lower arch, the patient prefers the feel of her upper denture because of its slight “give.”
She has found that there is no flexibility with the lower denture, and that when it finally does “give,” it dislodges. The upper, however, offers enough flexibility to accommodate her without dislodging.
A win-win
Even when the economy is not in recession, most senior patients must watch their budgets carefully. By offering mini implants, general dentists can provide a valuable service to patients that is affordable, minimally invasive, and offers dramatic quality-of-life improvements. At the same time, this service can provide a significant boost to the dental practice after a very minimal investment. In my experience, the benefits that mini implants can bring to a practice are significant, but the difference that they make in patients’ lives is what is truly outstanding.
References available upon request.
Gregory L. Sawyer, DDS, is a graduate of the University of Southern California School of Dentistry. He is a fellow of the World Congress of Minimally Invasive Dentistry (WCMID) and the International Congress of Oral Implantologists (ICOI). Dr. Sawyer is recognized internationally for his work in implant dentistry and periodontics. Reach Dr. Sawyer by e-mail at [email protected].

