Are dental lasers for kids?
By Fred S. Margolis, DDS, FICD, FACD, FADI, FADPD
For more on this topic, go to www.dentaleconomics.com and search using the following key words: dental lasers for kids, diode laser, tooth decay, cavity, erbium laser, Dr. Fred Margolis.
It would be wonderful if our pediatric patients never had to experience “The Shot.” Dental scientists have been working for years through the National Institute for Health to eradicate tooth decay. There may well be a vaccine someday that will prevent dental caries and periodontal disease.
For now we dentists still have to remove tooth decay to prevent its spread, which eventually would lead to abscesses and toothaches. Since 1997, dentists in the United States have been using lasers to reduce drilling, and in some cases lasers prevent the need for a shot.
The “light saber” of dentistry is the newest weapon in the fight against tooth decay. The dental laser is the latest modern innovation for the 21st century. Lasers have proven safe and effective for many surgical procedures, caries removal, cavity preparation, pulp treatment, and soft tissue surgery.
Receiving FDA approval (1997) for use in adults and children, the erbium laser offers an alternative to the high-speed drill, eliminating fear and patient discomfort. The diode laser offers the advantage of less bleeding and faster healing compared to a scalpel.
The laser is revolutionizing dental care — just as it has so many other areas of our lives. With the use of dental lasers, dentists can provide patients with a new method of dental care that can often be performed without the use of local anesthesia.
How does it work?
The erbium chromium:YSGG laser searches for water. Since enamel has approximately 3% to 5% water, dentin about 20% water, and carious dentin even more water, the laser searches for the water molecules. The laser then microexplodes (ablates) the molecules of enamel, dentin, and caries in the path of the invisible laser beam.
This microexplosion is not seen or felt by the patient. The slight “popping” sound of the laser has been found to be very tolerable for most children.
Does it hurt? Most patients find laser procedures remarkably comfortable, so comfortable in fact that in many cases no numbing is required. People who have experienced laser treatment report feeling nothing more than the touch of the handpiece and an occasional slight sensation of warmth.
Does the laser save time in preparing a cavity? No! However, the additional time that the laser takes to remove the affected tooth material is a trade-off for the typical wait for local anesthesia.
Therefore, the procedure per tooth takes about the same amount of time. Since the patient does not have the typical numb feeling, more than one tooth in different areas of the mouth may be treated during a single visit. This saves the patient and dentist time by requiring fewer appointments.
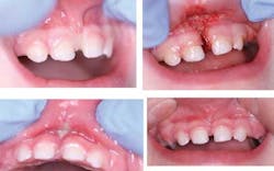
Class II caries in primary molar. Note the minimally invasive preparation that is able to be performed with an erbium laser. (Courtesy Giovanni Olivi)
What kind of aftereffects can be expected? The dental laser often eliminates the unpleasant aftereffects associated with many dental procedures — soreness, bleeding, inflammation, sutures, and numbness.
Can lasers be used for all dental restorations? They are highly effective at removing composite materials; however, conventional drilling must still be used for removing old metal restorations. After the use of the laser to numb the tooth, the handpiece can be used to remove the metal filling.
Can the erbium and diode lasers be used for soft tissue surgery, such as on children who are tongue-tied or need certain types of gingival surgery?
Maxillary labial frenectomy in a 19-month-old patient. Diode 940 laser.
Yes, this laser can perform soft tissue as well as hard tissue surgery.
Advantages in using dental lasers
- No anesthesia for cavity preparation in the majority of patients due to the analgesic effect of the laser
- No waiting for the patient to be anesthetized in the majority of patients
- No concern about the patient biting his or her lip, cheek, or tongue
- More pleasant experience due to not being anesthetized
- Less bleeding than scalpel
- Less need for suturing
- Bactericidal
Dental lasers can be useful in the following ways:
- Class I through Class VI preparation of carious teeth
- Gingival hyperplasia
- Gingivoplasty
- Frenectomy (labial and lingual)
- Exposure of teeth to aid tooth eruption
- Operculectomy
- Gingival removal to expose areas for restorations
- Aphthous ulcers and herpes labialis
- Pulp therapy
- Abnormal gingival architecture associated with orthodontic movement
- Excision of soft tissue tumors, including fibromas and mucoceles
- Uncovering implants
- Bleaching teeth
- Low-level laser therapy (biostimulation)
- Periodontal therapy
Dr. Fred Margolis is in full-time private practice of pediatric dentistry in Buffalo Grove, Ill. He is coauthor of the book, Pediatric Laser Dentistry: A User’s Guide, Quintessence, 2010. Dr. Margolis can be reached at [email protected] or (847) 537-7695.




