Ask Dr. Christensen
Gordon J. Christensen, DDS, MSD, PhD
In this monthly feature, Dr. Gordon Christensen addresses the most frequently asked questions from Dental Economics® readers. If you would like to submit a question to Dr. Christensen, please send an e-mail to [email protected].
For more on this topic, go to and search using the following key words: prosthodontist, mandibular dentures, fixed prosthesis, Dr. Gordon Christensen.
Q I have been practicing for many years, and one of the techniques that I still resist doing on a routine basis is making complete mandibular dentures. Because I don't frequently make lower dentures, my clinical result is even worse than I expected. Occasionally, I make one that actually works well and the patient is pleased, but I can't predict that. What can I do to make this area of dentistry more satisfying to both my patients and me?
A You are not alone! I am a prosthodontist, and I also dread some mandibular denture patients. Mandibular complete dentures are, in my opinion, one of the most difficult and unpredictable services that we provide for patients. Many dentists will not make complete dentures.
There are about 305 million people in the U.S., and about 101 million of those are children under age 17. This means that there are about 204 million adults over age 17 in the U.S. One of the most frustrating aspects of these statistics is the estimate that there are between 35 and 40 million edentulous people in the U.S. This means that nearly 20% of the adult population is edentulous, or about one out of five adults. Why don't we hear more about this debilitated group? I estimate that the number of potential edentulous patients is far more than those who need or want veneers, yet we see veneers promoted ad nauseam in nearly all journals and magazines.
We know why making dentures is not popular with dentists. Reasons include:
- Techniques learned in school are difficult and time-consuming. Many dental schools teach complex multistep techniques. These are usually great for teaching and learning but difficult to implement into practice at a moderate fee. Unfortunately, there are too many subjects to be taught in dental school to allow optimum time on denture fabrication, and students receive only minimal education in this area. The result is that dental students fabricate only a few dentures in school, often without understanding what they are doing. These frustrations often encourage new dentists to eliminate denture therapy from their practices.
- Patients are often dissatisfied. Most patients complain about their mandibular complete dentures. I have seen estimates that 90% of mandibular denture patients find their dentures to be unsatisfactory. This is not the case with maxillary dentures, where patients are generally satisfied. Often, patients and dentists are very compatible and happy during the mandibular denture fabrication stage, but patients may become hostile and dissatisfied after the dentures are seated because their expectations were not met.
- There is disproportionate clinical time involved for dentures. When a crown or fixed prosthesis is seated, patients are usually very pleased. The patient goes home after the cementation and usually is not seen again until the next recall appointment. On the other hand, the denture patient usually has several to numerous adjustment appointments that take significant clinical time.
- Dentures are often the least preferred part of laboratory work. Many laboratory technicians don't like making dentures. It is well known that most technicians favor the fixed prosthodontic and ceramic aspects of dentistry, and that they shun dentures.
- Low clinical income from dentures. Dentures have long been low revenue producers when compared to fixed prostheses. The total revenue for a complete denture is usually about the same or slightly higher than the revenue for one PFM or ceramic crown, and the lab bill for the denture is usually higher than the lab cost of a PFM or ceramic crown.
- Dentures require significant clinical time for the revenue produced. Clinical time to make a denture is far more than the time to prepare a tooth and seat a crown, and the total revenue is not that much different for the two procedures.
- A lack of easy and affordable continuing education. There are several excellent continuing education courses on complete dentures, but some consider the techniques too difficult and time consuming and the cost too high for their geographic area. As a result, dentists take the courses, but many do not incorporate the techniques into practice.
- Remakes. It is well known that dentures must be remade often because of the commonly encountered patient dissatisfaction.
Does that list sound highly pessimistic? After making thousands of dentures, I can confirm that it is pretty realistic. In my opinion, there are some potential solutions to the mandibular denture dilemma.
What can be done about the negative perceptions so that dentists can actually enjoy treating complete denture patients?
I have several suggestions that have actually made my activity with complete dentures enjoyable, but they require some behavior changes on your part.
- Commit yourself to upgrading your technique so you can make satisfactory dentures at a moderate cost. This commitment will require taking a few courses, sorting out the information, selecting materials, practicing on a few patients, and making up your mind on the technique you want to use at the fees you can charge for your area.
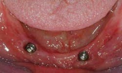
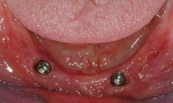
- Most importantly, learn how to place implants or find a surgical dentist you trust to place either conventional diameter or small diameter implants or both. My success with mandibular dentures was quickly and greatly increased when I started using implants to improve their support and retention. Look at the photos I have placed in this article to show what I am doing with implants.
Either two standard diameter implants (~4mm in diameter) placed in the canine areas (Figs. 1 to 5), or four small diameter implants (~1.8-2.9 mm in diameter) (Figs. 6, 7) spaced from canine to canine, will solve most of your frustrations with mandibular dentures.
You must refine and improve your impression procedures to allow optimum and accurate border extensions, and make occlusion rims (bite blocks) that are well fitted to the mouth and allow optimum location of the correct occlusal vertical dimension. In other words, take a course or obtain any education you can on the subject! However, implants are the main way to improve both your technique and patient satisfaction.
☛ Treatment planning and case presentation
- When I'm treatment planning for mandibular complete dentures, my primary suggestion to patients is inclusion of at least two standard diameter implants or four small diameter implants as previously discussed.
- My secondary treatment plans include additional implants and various retainers on them, including ERAs, locators, or a "bar and clip" retentive system. These are usually standard diameter implants.
- Only as a last resort do I suggest a conventional mandibular complete denture. When I do, I warn patients that the conventional nonimplant supported denture may not satisfy their expectations, and if they are not satisfied we can still place implants and rebase the dentures to fit the newly placed implants. This is actually not a bad plan because they become accustomed to wearing dentures without implants, and the addition of implants to support and retain the denture is a genuine testimonial for the value of the implants. They will tell their friends what you've done, so you should expect some referrals. Keep your fees moderate. The procedure suggested above is not more difficult than a standard denture procedure, and with the exception of the fee for the implants, should not have a much higher fee.
Fig. 7 – Rubber "O" rings placed in the housings provide the same service as the larger ones shown in Fig. 4.Fig.
The steps I suggest for the implant supported and retained denture are:
- Diagnosis and treatment planning. Your standard diagnostic appointment, including thorough education about the procedure.
- Implant placement. Place the implants or refer the patient to have them placed. Some implants can be loaded immediately and others require up to four months of healing and integration into the bone. Make preliminary impressions of the arch including the implants using alginate, and pour casts to make custom trays.
- Impressions. I suggest using Dentsply light curing tray resin, Triad TruTray, for custom trays. A great denture cannot be made from a poor impression, and a good impression cannot be made in a poor tray. Either your laboratory technician or your dental assistants can make the tray and you can make the impression.
- Centric jaw relation. I prefer vinyl polysiloxane supported occlusion rims made in thin Triad trays fitted to the final impression casts. The wax occlusion rims are used for vertical dimension of occlusion and developing facial form.
- Try in teeth set in wax. This is a simple appointment, and if done well does not take long.
- Seat dentures. Adjustment of denture internal, extensions, and occlusion.
- Adjustments. I have averaged one or two adjustments for each set of maxillary and mandibular dentures.
Although this sequence looks like a standard group of appointments, most of them are highly staff oriented and short appointments.
Dentures can be simple
Making maxillary dentures is relatively simple. Making mandibular dentures is much more difficult and potentially problematic. Take a course or two on complete dentures, devise a technique that fits your practice, place implants for mandibular dentures, and charge moderate fees and I predict you will rapidly change your mind about not including dentures in your practice. Patients love implant-supported mandibular dentures, and you will soon become known in your community for this valuable service.
Our organization, Practical Clinical Courses, has several educational offerings related to this article:
• One hour DVD V2344, Simplified Implant Surgery – The Neoss System • Two-day course in Provo, Utah, Mini Implants, Easy Placement and Immediate Restoration • Two-day course in Provo, Utah, Simplified Implant Surgery.
Call (800) 223-6569 or visit www.pccdental.com.
Dr. Christensen is a practicing prosthodontist in Provo, Utah. He is the founder and director of Practical Clinical Courses, an international continuing-education organization initiated in 1981 for dental professionals. Dr. Christensen is a cofounder (with his wife, Rella) and senior consultant of CLINICIANS REPORT (formerly Clinical Research Associates).
Past DE Issues







