Do things get easier?
by Brian Nylaan, DDS
If you’ve been around long enough to have used hand-mixed self-cured composite, placed it anteriorly, and prayed for a result the patient would like, you can definitely say that yes, resin restorations have come a long way. If you’re comfortable with old technologies, you can still buy that stuff, but why go to a race in a rickshaw when you can go in a Ferrari? Personally, for the benefit of my patients, I constantly look for something better.
That option showed up on my desk the other day, courtesy of a friend. In spite of having three quality products in our units, I was looking forward to trying Tokuyama Dental America’s Estelite Sigma Quick. What would I have to lose, as it was Dental Advisor’s 2012 Top Universal Composite award winner? Would this be a material that could streamline our ordering process by serving both in the anterior as well as the posterior, while satisfying the most demanding patient esthetically?
The sample mini kit had enough shade options to let me explore those questions, with A1, A2, A3, as well as OA2 in the box. That combination made sure I had enough alternatives to find out if the product is as good as my colleagues say. The sample mini kit is a smart way to experience the blending and handling properties of a composite. Being a creature of habit, I sometimes collect boxes of the newest and greatest product, only for them to reach their expiration date!
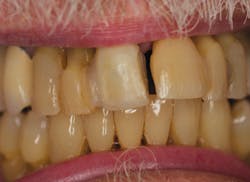
So, after we evaluated our new product, in came Bud, a retired theater aficionado who had split off the mesial portion of his crown on No. 8 (Fig. 1). It’s always a challenge to match central incisors, so it was time to find the right material to fix his unwanted diastema. Making things worse was the fact that his teeth didn’t match to begin with, so what was I to do shadewise to get the best results?
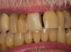
The best option was to use that space as a color transition, thereby making each incisor just a little less prominent to the casual observer. Estelite was my choice because of its inherent translucency, which allowed me to do some effective layering. I was looking for the ultimate chameleon effect. The combination of OA2 and A3 wasn’t difficult due to a lack of stickiness, and it gave a translucent look that blended well with the porcelain without being too distinctly different from the adjacent incisor (Fig 2). The color consistency before and after curing helped with the successful result, and the patient was incredibly pleased.
Future cases continued to highlight great translucency, excellent handling, and a lack of sensitivity to ambient light (a big pet peeve of mine). The shade selection in the big kit blew me away, and I don’t think there is anything it can’t handle colorwise. Bud’s case turned out great using the basic color offerings. This material looks great, handles well, and has captured my long-term interest. I think it might make things easier, and allow you to win a few of those clinical races too!
Brian Nylaan, DDS, has practiced in Grand Rapids, Mich., for the last 26 years. He and his team enjoy exploring new technologies to improve the quality of care for their patients. He can be reached at [email protected].
Past DE Issues


