Ask Dr. Christensen
by Gordon J. Christensen, DDS, MSD, PhD
In this monthly feature, Dr. Gordon Christensen addresses the most frequently asked questions from Dental Economics readers. If you would like to submit a question to Dr. Christensen, please send an e-mail to [email protected].
Q There are so many different procedures in dentistry, it is difficult to determine which to emphasize in my new practice. Which of the areas of dentistry have the most appeal to the public and are most likely to assist practice growth?A Based on my own experience, I always tell young dentists to spend some quiet moments alone and determine which procedures they enjoy doing and do well. If you were a great basketball player and you were forced to play the sport at a mediocre level, you probably would not be happy. The same is true in your dental practice. Select those procedures at which you excel. After you identify those procedures, the next step is to determine which ones are most needed in your community, and which of those will set you apart from other dentists.Once you have identified these procedures, decide if you are satisfied with your clinical capabilities. If not, find some appropriate continuing-education courses in which to enroll. Implement your new-found information and techniques, and promote these procedures in your practice. A good example is the now popular conservative veneer concept. Using proven patient-education techniques such as photos, DVDs, models, and articles show potential patients how these relatively painless, noninvasive restorations cannot only change their smiles, but their personalities. Soon, you will become known for the procedures you emphasize, and you will enjoy doing them well and without difficulty.
To further answer your question, implants and esthetic dentistry are the most popular procedures among patients. Providing oral care should be enjoyable and gratifying for you, and your patients should appreciate the results!
Recently, we completed the most infl uential patienteducation DVD we have ever made. It includes 14 of the most popular and useful topics in dentistry. You just put the DVD in the player, walk away, and do something else while your patient is being educated. In nine minutes, most patients receive enough information to want the treatment you have recommended.
Item DP30, Simple Patient Education for Every Practice, Third Edition, is available in English and Spanish. For more information, call Practical Clinical Courses at (800) 223-6569 or visit our Web site at www.pccdental.com.
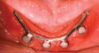
Q If you were edentulous and had adequate bone for standard-diameter implants, which would you have: conventional 4 mm-diameter implants or the now popular small-diameter implants starting at 1.8 mm in diameter?A Putting the example in my own body does not change my attitude about the question. It just makes me compare the procedures from all standpoints. I have placed implants in and restored hundreds of edentulous patients with conventional-diameter implants, ring retainers, ERAs, bar and clip restorations, and many other attachments. Very few of the restorations have failed, and almost 100 percent of the patients have been satisfied with the treatment.On the other hand, the previously mentioned treatments are expensive, potentially painful, and success is laboratory-dependent. You and I can place small-diameter implants such as IMTEC Sendax MDI or Dentatus Atlas in a few minutes, without a surgical flap, relatively painlessly and inexpensively, and the implants can be loaded the day they are placed (see Figures 1 and 2).
I must admit, as a prosthodontist interested in the best quality I can deliver for the money, the conservative, noninvasive, small-diameter (mini) implant is very desirable for simple restoration of edentulous jaws. I have had great success with these implants over the approximately seven years I have placed and restored them.
Unless the patient prefers a more stable, rigid attachment of the prosthesis, I lean toward using more minis and fewer conventional-diameter implants.
For more information about mini implants, their placement, and restoration, see our new video, V2317 Mini Implants for Your Practice. Call Practical Clinical Courses at (800) 223-6569 or visit our Web site at www.pccdental.com.
Q I have quite a few patients who are difficult to treat because of apparent psychological reasons or due to differences between the patient"s personality and mine. Treating these difficult patients frustrates everyone on the staff, and it always takes significant time to recover from the bad feeling we have after their visits. My practice is a successful one, with ample patients. I do not need additional patients in my practice, and I am asking you for a tactful, legally nonproblematic manner in which I can refer my problem patients elsewhere. Can you help me?A Every health-care practitioner has been amazed at the differences among patients relative to acceptance of the services they have been provided. Some patients are trusting, cheerful, and noncomplaining. They sit quietly and allow the treatment to be provided without challenging the dentist. They do not argue about fees. They actually thank you for the service rendered!Other patients are constantly questioning and overtly distrusting. Some express the feeling usually unjustly that the practitioner is looking out for himself or herself and not for the patient, in spite of the reverse being true. Why there is such a wide difference in patient behavior and attitude I don"t know. Fortunately, most practices have only a few patients in this negative category. I estimate that the percentage of disagreeable patients in a typical practice is below 5 percent but their characteristics make the group seem much larger!
I have a few suggestions for you about eliminating these patients from your practice:
1) Are you committed to treating the patient because he or she is a relative or someone else you feel obligated to treat? If not, eliminate that person from your practice as soon as possible.
2) Have you done any treatment for this patient that is not up to community standard of care? Each of us has bad clinical days. Don"t leave any treatment in patients that some other dentist could classify as substandard. Redo any procedure you have done that is questionable.
3) Is there any treatment you have begun for this patient that has not been completed? If so, complete it to a satisfactory quality level.
4) Although there are many potential phony excuses to eliminate patients from the practice, in my opinion, an honest approach is the most appropriate way of handling this. Take the patient into a private place in your office. Have a staff member present to hear the conversation, and tell the patient something like the following: Mr./Mrs. Disagreeable, you know we have experienced some personality challenges during your treatment, and I know that I may have made you uncomfortable from time to time. For those times, I apologize. It is clear to me that our personalities are not similar. I would like to make dental treatment more pleasant and acceptable for you. For that reason, may I please suggest a few other practitioners with whom you might have a more satisfactory and enjoyable experience? May I suggest that you have Dr. A, B, C, or another dentist become your practitioner of choice? Make sure to give patients you are dismissing several names, so the decision is up to them, and you can"t be blamed for sending them to a dentist they don"t like. Then, again speaking to the patient, say: After you select the dentist you wish to serve you, we will be happy to send your records to that doctor. It has been our pleasure to serve you, and we wish you well with your new dentist.
5) Be firm with the dismissal. Some patients will apologize and attempt to have you retain them. You must make your decision to dismiss them and hold to your position before you confront the patient. Your decision is the final one.
It is uncomfortable to dismiss a patient, and you want to do it tactfully and respectfully. When it is done and you don"t see that person"s name on the daily schedule anymore, you will know you have done the right thing. If you continue to gradually weed out the problem patients, almost every day in your practice will be enjoyable and productive for both you and your staff.
Dr. Christensen is a practicing prosthodontist in Provo, Utah. He is the founder and director of Practical Clinical Courses, an international continuing-education organization initiated in 1981 for dental professionals. Dr. Christensen is a cofounder (with his wife, Rella) and senior consultant of Clinical Research Associates which, since 1976, has conducted research in all areas of dentistry and publishes its findings to the dental profession in the well-known CRA Newsletter. He is an adjunct professor at Brigham Young University and the University of Utah. Dr. Christensen has educational videos and hands-on courses on the above topics available through Practical Clinical Courses. Call (800) 223-6569 or (801)226-6569.


