Focus on Composites: Enhancing esthetics with direct composite
By Elizabeth M. Bakeman, DDS
The merits of direct composite resin and indirect porcelain restorations are often discussed when we present treatment options for patients with esthetic concerns. Advantages of composite restorations are a conservation of tooth structure, immediate results, and reduced costs. The downsides of composites in some patients are a greater tendency to stain and chip. For many patients, the upsides of direct resin far outweigh any downsides. Both referring specialists and informed patients specifically and routinely seek out dentists who are knowledgeable and skilled in the use of direct resin in the esthetic zone.
Case 1
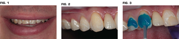
A 23-year-old, long-standing patient was ready to move forward with the replacement of his congenitally missing lateral incisors with implant-supported crowns. (Fig. 1) He had a history of postorthodontic decay and decalcification. In addition to the retained primary lateral incisors, he had several direct facial composites and a Class IV composite on his right maxillary central incisor.
The implant sites were readied in the usual fashion, and the implants were placed. Following integration, provisional abutments/crowns were fabricated. The patient was interested in improving the appearance of his smile, but finances were a concern. Tray whitening and direct composites were within the patient's budget, and these were treatment planned to provide a more uniform and pleasing foundation with which to shade match the definitive implant-supported crowns.
Following placement of local anesthetic, the existing restorations and decalcification were removed. (Fig. 2) The teeth were particle abraded to increase bond strength, and etched with 37% phosphoric acid (3M ESPE). (Fig. 3) A universal bonding agent was placed (Scotchbond Universal, 3M ESPE) and teeth Nos. 5, 6, 8, 9, 11, and 12 were sequentially restored with direct resin (Filtek Supreme, 3M ESPE). (Fig. 4) The Class IV composite called for greater layering of materials to reflect the polychromacity of the contralateral central incisor. (Fig. 5) The restorations were shaped and polished. The implant-supported crowns were then shade mapped to coordinate with the newly restored teeth. The direct resin restorations provided a conservative enhancement and improved appearance of the anterior teeth. (Fig 6) Had indirect restorations been the patient's only option, he would not have proceeded with restoring the additional teeth because it was not imperative to his oral health to do so.
Case 2
A patient concerned with the esthetics of his smile presented for a second opinion. He had completed orthodontic treatment 10 years prior, and composite resin was used to close spaces that remained around the maxillary lateral incisors. The restorations had discolored over time and the patient was not pleased with their current appearance. (Fig. 7) The patient tried to discuss replacement with his dentist on several occasions, but each time he was steered away from direct composite and toward porcelain veneers. The patient researched porcelain veneers and concluded he was not interested in a procedure that might involve removal of tooth structure, nor was he eager to incur the increased costs associated with indirect restorations. He felt the present restorations had served him well and he was interested in simply replacing them. He came to the conclusion that his dentist was uncomfortable placing direct resin and sought treatment elsewhere.
The examination revealed a healthy dentition. The maxillary lateral incisors had multisurface composites with rough, stained margins. It was determined that direct resin was a viable option for replacing the existing restorations. Whitening history was discussed, and the patient opted to refresh tooth color with tray whitening. Trays were fabricated and delivered. The patient was instructed to avoid whitening two weeks prior to the restorative appointment.
At the following visit, the existing composite was carefully removed without local anesthetic. The teeth were particle abraded and etched with 37% phosphoric acid (BISCO). The teeth were lightly coated with D/E Resin (BISCO), and the predetermined shades and opacities of composite (Tokuyama Estelite Omega) were layered and cured. The restorations were contoured and polished. The patient was pleased with the outcome and returned to his dentist for routine care. (Fig. 8)
Case 3
A patient presented upon the referral of her dentist. The patient had chipped the composite resin on the mesial aspect of her right lateral incisor and requested that it be completely replaced because she was unhappy with the color. (Fig. 9) The tooth had originally been restored in the patient's teens to close a diastema and had been replaced several times over the years. As the dentist did not feel he could meet the patient's expectations, he repaired the chip and referred her for replacement of the restoration. The patient was happy with the shade of her teeth, and there were no contraindications to replacing the restoration. The existing composite was removed without anesthetic. The tooth was abraded with particle abrasion and etched with 37% phosphoric acid (BISCO). The tooth was restored with D/E resin (BISCO) and body and enamel composites (Filtek Supreme, 3M ESPE). (Fig. 10)
Summary
The importance of mastering the skill of direct resin in the esthetic zone cannot be underestimated. Patients are not in a position to evaluate some of the fine details upon which we judge ourselves, such as marginal integrity, occlusal anatomy, and preparation design, but they can and do evaluate esthetics.
Patients are also increasingly knowledgeable about the variety of materials and techniques available to treat their esthetic concerns. We are fortunate to have an assortment of excellent materials at our disposal. There are also a variety of excellent hands-on courses available to aid clinicians in achieving competency with direct resin. So we don't risk losing patients dissatisfied with outcomes or frustrated with our reluctance to proceed with direct resin in the first place, it is imperative that we further our skills so we can confidently deliver outstanding results.
The American Academy of Cosmetic Dentistry (AACD) is a valuable resource for dentists wishing to improve their skills with direct resin. The AACD has supported and advanced the use of resin in the profession since its inception over 30 years ago. The demonstration of excellence in the use of resin is a key component in the Academy's accreditation process, supporting the concept that mastery of composite resin in the esthetic zone is a foundational skill for all dentists who want to excel in the art and science of cosmetic dentistry. The AACD supports this concept at their annual scientific session by providing numerous hands-on workshops that focus on advancing attendees' knowledge and skills in the use of composite resin.
It is important to integrate esthetic considerations into the treatment plans we provide. It is also important to communicate the pros and cons of the various treatment options that are available to address patients' esthetic concerns. Direct composite resin is a viable and useful treatment option that can conservatively, economically, and beautifully help our patients achieve a pleasing and long-lasting outcome.
Acknowledgment
The author acknowledges the contributions of Brad Patrick, BSc, of Patrick Dental Studio for the lateral incisor implant-supported crowns in Case 1.
Past DE Issues





