Is the PFM Dead?
By Michael DiTolla, DDS, FAGD
When Dr. Joe Blaes asked me the question that serves as the headline for this feature, I hesitated to give an immediate answer and considered whether the question was literal or figurative.
Clearly the PFM isn't actually dead, and I am not even sure how one would be confident enough to declare it dead. I suppose if you called 100 random dental labs in the U.S., and could not find one willing to fabricate a PFM, you would have to concede that the PFM is not very healthy. If you called 100 labs today and asked the question, I can confidently say all 100 would say "yes."
The PFM is essentially a dental institution. It was the go-to crown for my dad's generation (he began practice in 1964) and for my generation as well (I graduated in 1988). It has become so generic that, while every dentist in America knows what "PFM 19 A2" means, most have no idea what metal or ceramic will actually be used.
Shockingly, as of December 2013, the PFM now makes up a paltry 10% of the crowns that we are asked to fabricate by dentists (Figure 1). Keep in mind that in December 2013 we worked with just more than 42,000 dentists in all 50 states. So it's a pretty good sample size that represents the U.S. well.
Consider that as recently as 2007, PFMs were more than 65% of the crowns we fabricated for dentists. Six years later, PFMs are barely able to hang on to a double-digit percentage of our overall crown production.
For the PFM to drop off that drastically in just six years leads me to one conclusion. As much as the PFM has been dentistry's workhorse for the last 50 years, the average dentist was always well aware of its limitations. How else can you explain why dentists would turn from their default crown of choice so quickly, with little clinical validation to support that decision? What was it about the PFM that caused dentists to nearly abandon it in just six years?
It's clear that the PFM did not change at all from 2007 to 2013. It is getting beat fair and square by two monolithic materials that benefit from not having the PFM's Achilles' heel – its veneer of feldspathic porcelain.
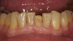
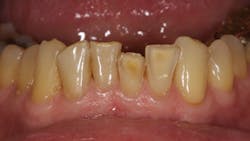
Feldspathic porcelain has been the veneering ceramic on PFMs since the late 1950s. You do not have to be a dentist for long before you see a patient with lower anterior teeth worn down into the dentin and possibly some calcified canals, and then glance up at the opposing teeth and see that Nos. 7 through 10 are PFM crowns.
Ironically, feldspathic porcelain is the weakest indirect restorative material that we have in the lab, yet it wears opposing teeth at the highest rate. The strongest material we have in the lab, solid zirconia, wears teeth at an acceptable rate – the same as lithium disilicate. As it turns out, wear of opposing teeth is a result of surface roughness and particle size, not the flexural strength of a material.
In my mind, the biggest reason dentists have switched from PFM crowns to the high-strength, cementable all-ceramic crowns (BruxZir and IPS e.max) is the same reason I did – monolithic restorations are superior to bilayered restorations. We know this from the first (and still the best) monolithic restoration in dentistry – cast gold.
With the exception of esthetics, cast gold is the best indirect restorative material we have in dentistry. But as soon as you cover it with feldspathic porcelain, things can go wrong. Any time two layers are fused together (making it a bilayered restoration), there is a chance they will come apart.
Solid zirconia crowns can also have featheredge margins like cast gold. When dentists started calling us in 2009 to tell us how good these crowns fit, it took us a while to realize that they were talking about the elimination of bulky PFM margins and improved emergence profile.
When IPS e.max was introduced to dentistry in 2007, it quickly became the fastest-growing product in the history of our laboratory. In the summer of 2009, when BruxZir Solid Zirconia was launched, it then became our fastest-growing product ever.
Since 2009, I have not placed a single-unit PFM. I am happy to place BruxZir crowns in the posterior and IPS e.max crowns in the anterior. It is clear many dentists are following suit. I do still use PFM bridges in certain cases, especially replacing lower first molars if I cannot reduce enough to get a 3x3 mm connector size for a BruxZir bridge. But as far as single units go, I cannot think of a compelling reason to place a PFM crown.
So perhaps the question we should be asking is not "Is the PFM dead?" but "Should we still be using the PFM?" My simple answer is – only when absolutely necessary. I will always place a monolithic restoration rather than a bilayered restoration when I can. Our December 2013 numbers show that many of America's dentists feel the same way.
The true "holy grail" in dentistry is a cast gold restoration in a shade A2. But until that exists, this new generation of monolithic, high-strength, cementable, all-ceramic crowns fills that void more effectively than our old friend – the PFM.
Michael DiTolla, DDS, FAGD, is the director of clinical research and education at Glidewell Laboratories in Newport Beach, Calif. He lectures nationwide on both restorative and cosmetic dentistry. Dr. DiTolla has several free clinical programs available on DVD through Glidewell Laboratories or online at www.glidewelldental.com.
Past DE Issues



