Preparation is key
By Adamo E. Notarantonio, DDS, FICOI, AAACD
Preparation is one aspect of life that, simply stated, creates success. When someone is prepared for a speech or a presentation, they will certainly perform better. This is clearly evident in an Olympic athlete's training. Some train years for 10 seconds in the limelight. If their preparation is on point, the result can be as good as gold.
Preparation is as important in dentistry as it is in athletics, more specifically regarding posterior function and esthetics. Too many times I hear things such as, "Why did this crown break?" or "Why does that crown look nothing like my teeth?" Many times I hear the same answers, which at times may be true, but most of the time are not. "It broke because you grind your teeth at night," or "It is ugly because the lab messed it up." I hear the latter far too often when it comes to chairside CAD/CAM crowns. Being an avid CAD/CAM user, I quickly realized that most of my cosmetic and functional failures all came back to the same issue ... inadequate reduction.
Case presentation
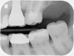
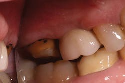
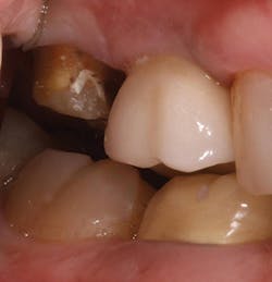
A 55-year-old female presented to my office for an evaluation of a crown placed on tooth No. 15 within the last few years. Her complaints included: "It feels big. I get a ton of food trapped in it, and it is kind of ugly." A bitewing was taken (Fig. 1) revealing an ill-fitting crown on No. 15. An intraoral photo was also taken (Fig. 2) confirming an oversized PFM with poor contours. The decision was made to remove and replace the crown.
The tooth had already been endodontically treated; therefore, an all-ceramic e.max crown (Ivoclar Vivadent, Amherst, N.Y.) was the restoration of choice. This lithium disilicate crown recommends 1.5 mm to 2 mm occlusal reduction in the central fissure, as do all PFM, PFG, and porcelain-fused-to-zirconium crowns. If the tooth was indeed vital and reduction was an issue, a more conservatively prepared restoration such as a PFM with a metal occlusal surface or, better yet, a full gold crown would have been chosen.
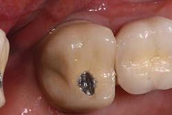
My first step in treatment was to create an access hole in the central fissure, where I then inserted a 2 mm reduction bur (Kometas, www.occlusalbur.com). In my opinion, this is the only way to guarantee adequate reduction to a tooth during preparation (Fig. 3). As you can see in Fig. 4, there does appear to be adequate clearance from a side view. However - and I cannot emphasize this enough - there is a significant difference between occlusal clearance and occlusal reduction. Fig. 5 clearly shows the preparation mark remaining following penetration with the 2 mm reduction bur mentioned previously. Following final preparation, another photo was taken from the side showing the preparation following adequate reduction (Fig. 6).
FIG. 1
FIG. 2
FIG. 3
FIG. 4
FIG. 5
FIG. 6
FIG. 7
FIG. 8
FIG. 9
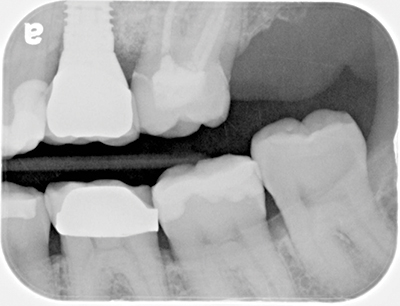
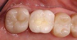
An e.max crown was created on tooth No. 15 (Fig. 7). As evident in the postoperative photo and bitewing (Figs. 8 and 9), there has been a significant improvement in the esthetics, form, and fit as compared to the original crown.
One other definite improvement will be in the strength of the crown. The recommendations for occlusal reduction for specific crowns are there for a reason. Most fractures I have noticed involving all-ceramic restorations or porcelain fractures involving PFMs have resulted from an inadequate thickness of porcelain. Most of the time, this is the operator's fault, as the tooth was prepared inadequately. As much as we would like to blame bruxism or the laboratory, most of the time it is "the archer, not the arrow" that causes our restorations to fail.
With that in mind, it is imperative that we not only prepare the tooth properly for whatever type of restoration we choose to place, but that we also choose the proper restoration for the tooth being treated, taking every factor into account. There is nothing more frustrating than an aggravated patient who needs a recent crown redone because it broke or because "it looks terrible." The costs of remakes due to inadequate reduction, patient frustration with remakes, and the fact that these remakes are done at no charge can put a big damper on our production. Our offices do not run for free, so the more efficient we become, the less time and money we waste, and the happier our patients and we will be.
Adamo E. Notarantonio, DDS, FICOI, AAACD is in private practice in Huntington, N. Y. Accreditted by the American Academy of Cosmetic Dentistry and elected to the American Board of Cosmetic Dentistry, Dr. Notarantonio has completed the Dawson Academy Core Curriculum series and is currently training at the Kois Center in Seattle.








