Technology tools for the new economy
by Cynthia Brattesani, DDS
For more on this topic, go to www.dentaleconomics.com and search using the following key words: technology tools, digital X–ray, digital radiography, digital imaging, anesthetic injection system, anesthesia, caries detection, new economy, laser fluorescence, Dr. Cynthia Brattesani, Focus On.
While America's legislators continue to plan the nation's finances, dental practices are working on economic stimulus and recovery plans of their own. Typically, tight finances usually mean cutbacks on new investments; however, the real road to financial recovery is not just preserving a conservative budget, but using your existing budget wisely for technology investments that set your practice apart from the competition and add value to the patient experience.
As companies reduce or even eliminate dental benefits, patients will ponder their choice of dentists. When they ask themselves, “Is it worth staying with my dentist?” it is imperative that the answer be a resounding, “Yes!”
Even if your practice is out of their insurance network, patients should think highly enough of your practice that they won't consider giving up your quality care. Technology has brought tangible improvements to my practice, such as digital radiography, painless injections, a convenient appointment confirmation e–mail system, and more effective oral cancer screening methods.
As a dentist for more than 20 years, I have integrated several new technologies into my practice that, along with my wonderful, caring team, have allowed my office to stay busy in highly competitive urban San Francisco. Five years ago, I had the opportunity to get amazing feedback from my patients by testing an online patient communication and reputational management software system called Demandforce.
As I described in a previous “Focus On” feature in the August issue of Dental Economics®, my patient–centric practice has benefited not merely from having the technology, but from constantly demonstrating to our patients the value of our technology and the fact that everything we do is designed to provide them with the best care possible.
Besides the systems mentioned in my last article, such as the e–mail appointment confirmation system, I also highly recommend these technology tools to improve any dental practice.
Improve your reputation and your services
It has been reported that about 40% of dentists have already implemented digital radiography. While those numbers are growing, having a digital system will still set your practice apart from the others. Investing in digital radiography saves the office money — no darkroom, developing chemicals, cleaning chemicals, mounts, or traditional film, and no assistant's labor time is wasted waiting in the darkroom.
Besides the obvious budget items, digital radiography makes you a part of the “green–conscious” generation, preventing harmful chemicals from being released into the environment, while reducing costs of their containment and disposal.
Digital X–ray is an amazing practice builder. Since patient comfort is always a primary goal, we chose a digital system equipped with the DEXIS PerfectSize™ sensor. My team members can take a complete series of X–rays in seven minutes because it's easier to place without “cutting,” and with this model they don't have to change sensor sizes.
Digital imaging is a valuable educational tool, because images appear almost instantly on the screen. With a click of my computer mouse, I can compare side–by–side the patient's older and newer images.
I always say, “Seeing is believing,” and digital technology raises my diagnostic capabilities and treatment planning to a higher level.
When I can sit beside a patient and with the click of a mouse point out on the monitor the exact spots where the decay has gotten deeper, the patient is more likely to accept treatment.
Even better, the sharp contrast delivered when I enhance images with my DEXIS ClearVu™ allows the patients to see their issues as clearly as I can. Patients appreciate their shorter appointments as well as the reduced radiation of digital imaging over traditional methods. I can easily and quickly e–mail digital X–rays to my colleagues for consultation. Financially strapped patients appreciate the fact that your technology avoids scheduling an unnecessary trip to a specialist.
Offer an informed second opinion
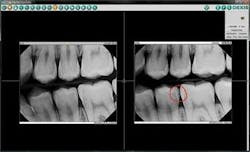
When money is scarce, people seek second opinions at every opportunity, from kitchen remodels to dental visits. I have noticed a sizeable increase in the number of second opinions at my office. While my goal is not to undermine my colleagues' diagnoses, the technology provided by my KaVo DIAGNOdent® allows me to detect conditions that would not be readily visible for practices without this technology.
For example, a recent patient arrived at my office for a second opinion about a diagnosis that she had five cavities. When I examined the teeth, I immediately agreed with that conclusion for two of the teeth.
For the others, I consulted my DIAGNOdent, which uses fluorescent laser technology for caries detection. As I used the laser probe on each tooth, the patient could see the numbers rise on the unit and hear the audible beeps change. One tooth had a stained, deep pit that could potentially have been decay, but at that moment, the cavity was not mature; it registered within the 18 to 22 zone, where the treatment zone generally starts at 35. While the tooth may evolve into a cavity, at the time it was just a deep pit that was remineralized with fluoride.
I recommended increased oral hygiene and a recheck in six months. My high–tech probe offered the patient a more tangible, scientific diagnosis than the traditional explorer.
New technology nurtures loyal, repeat patients. Patients with “wait–and–see” cases such as the one above often become more fastidious with their dental hygiene in an attempt to avoid development of the cavities.
They schedule and keep cleaning appointments, and they return home to friends and family saying that my practice is conservative, and not aggressively looking to charge for as many procedures as possible.
Feel their pain and do something about it!
Since patient comfort is a focus of my practice, we ask all new patients what we can do to increase their comfort. Research shows that the two biggest fears in dentistry are the drill and the needle. If a treatment is uneventful, but the injection is painful, patients will remember the whole dental experience as bad. I have found a fabulous device called the STA™ system by Milestone Scientific.
The single–tooth anesthesia system allows me to inject with confidence every time. The light plastic handpiece that we call a “wand” has an ergonomic pen grasp that I can hide from the patients. Magically, the process becomes less taxing than using traditional metal syringes for both me and the patient. I can deliver anesthetic in a smooth, controlled, and delicate fashion.
The STA keeps me from injecting too fast, one of the reasons that injections hurt. Patients are so amazed, and many ask if I even used a needle. That makes my day.
The wand provides an even flow rate of anesthesia regardless of the density of the tissue. My Demandforce surveys show that my patients love it, and they have referred others because of it. If happy patients are not enough, there's also an economic attribute. The intraligamentory injection allows me to numb tooth Nos. 30 and 19, the lower first molars on opposite sides of the mouth, during one session.
With traditional anesthesia, I refuse to block those sides at the same time because of the discomfort caused to my patients. With STA, I feel confident to treat both of those teeth in one session, without burdening my patients with collateral numbing of a droopy lip or numb cheek. My magic wand also allows for DPS™ (dynamic pressure sensing), which verifies that I am in the right area of the tooth when I'm injecting. I know that the tooth will be numb when I pick up the drill. An auditory and visual alarm with LEDs let me know if I need to reposition.
If I am pushing too hard, it will stop. Even better, the patient gets numb immediately. I use articaine 4% with 1:200,000 epinephrine because it is quicker and travels through bone better.
The bottom line
If patients have trust and confidence in your practice, they will not want to switch to another dentist whether or not they have dental insurance. With these products, dentists can achieve a fiscal return on investment and experience an emotional return for dentist, patients, and staff. There are so many types of technology on the market, but investments must make sense for your particular practice, even more so during this fiscally conservative time.
I have heard our patients comment on how they look forward to their appointments. Who would have thought that due to the stress in the workplace, “I'd rather be at the dentist” would become a true sentiment rather than a sarcastic comment?
The education obtained by my DEXIS digital X–rays, increased knowledge of the DIAGNOdent, and the comfort of the STA system add value to the office experience, increase patient flow, and give patients a full and fair view of their dental condition. These high–tech tools alleviate anxiety for both patients and dentists!
Dr. Cynthia Brattesani, a graduate of the University of California at San Francisco School of Dentistry, received the prestigious ADA Golden Apple New Dentist Leadership Award in 1996. She owns a private practice in San Francisco where she implemented digital X–ray more than six years ago. Send her an e–mail at [email protected].



