Making endo fun again: Get twisted!
For more on this topic, go to www.dentaleconomics.com and search using the following key words: root canal, Twisted File, single file technique, Crown Down, SybronEndo.
The words "fun" and "root canal" are not usually found in the same sentence. For many patients, root canal treatment is more like punishment than help for pain relief. For clinicians, despite huge advances in materials and methods, a single best system has proven elusive. Despite these advances, among clinicians there is a tremendous amount of mythology and empirical opinion masquerading as dogma and truth in endodontic concept, technology and technique. All this notwithstanding, things just became much clearer in the challenge of cleaning and shaping root canal systems.
Predictable results build confidence. Such confidence improves the patient experience. What will help build this confidence and make endodontics more enjoyable for both patient and clinician? The Twisted File (TF) (SybronEndo, Orange, Calif.) is a huge step forward. Created from a proprietary process of heating, cooling and twisting nickel titanium, the file possesses dramatic cutting efficiency, and yet possesses far greater resistance to breakage from torsion and cyclic fatigue, empirically three to four times existing brands in my hands. Existing RNT systems are primarily ground, but grinding introduces microcracks into the finished metal. These microcracks can be the focus of fracture if the file is exposed to excessive torsion and cyclic fatigue. TF does not suffer from these limitations, as it is never machined across the grain structure of the metal aside from the qualities it possesses from the heating, cooling and twisting (Fig. 1).
TF possesses functionality we could only previously wish for. For example, TF can be used Crown Down, in many cases as a single file technique system. If used appropriately, it can be used confidently in all anatomies. TF is available in five tapers in a fixed 25-tip size: .12, .10, .08, .06, .04, and 23 and 27 mm lengths. Pack configurations include .10, .08, and .06 taper in the "large pack" configuration and .04, .06, and .08 in the "small pack" configuration. The large and small pack configurations are available in 23 and 27 mm lengths.
Along their entire length from orifice to apex, large, open and straight canals (palatal canals) will use (as the final taper) .12 or .10 TF, medium canals (bicuspids) will use .10 or .08 TF, and smaller canals (lower anterior teeth) will use .08 or .06 TF. SybronEndo recommends TF rotation at 500 RPM. TF can be advanced to resistance, cutting approximately 1 to 3 mm of dentin in a two to three second continuously controlled insertion. After withdrawal, the canal is irrigated and recapitulated and the next TF is reinserted, as needed. If there is not significant resistance to enlargement with the first TF, the single file preparation can often be accomplished. If the initial TF encounters significant resistance, the series can alternatively be modified using a multiple file TF Crown Down sequence from larger tapers to smaller.
If single file advancement is not feasible, it is often possible to instrument the whole canal with only two to three TF files, again using Crown Down. I have extensive experience with TF, and it is difficult to imagine that it will take more than three TF files to instrument any given tooth, but the number of TF files per tooth will be dictated by the canal anatomy and not imposed on the tooth by the clinician. If a two-file sequence is possible, larger roots (palatal canal) often only require .12 or .10 TF, medium roots (bicuspids) often only require .10 or .08 TF, and smaller roots (lower anteriors) often only require .08 or .06 TF.
The insertion of TF is gentle, smooth, passive, and should take about two to three seconds per insertion. If the file does not want to advance, it should be withdrawn and the next smaller TF should be inserted as per clinician preference. Engagement of the TF flutes should be minimized to 1 to 3 mm of dentin per insertion. TF can be used with any electric motor. It does not require the use of torque control. SybronEndo recommends that the file be used as a single-use instrument. I have found clinically that TF can be used, as described here, in three to five canals. Also, even though TF is a complete system, it can be combined with any RNT system to custom prepare canals if the clinician wants to create a larger master apical.
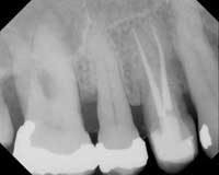
TF is a revelation to use. It tracks canals well, moves apically without undue pressure, and with adequate irrigation and recapitulation it efficiently creates the desired shape of preparation. This efficiency safely creates reproducible results, making the patient experience more pleasant and the clinician more confident, a winning combination (Fig. 2).
I welcome your feedback.


