Removable implant overdentures: Growth area in the restorative practice
For more on this topic, go to www.dentaleconomics.com and search using the following key words: Sam Strong, Joe Massad, ICOI, dental implants, dentures, edentulous.
Implant treatment options for the fully edentulous arch can include full-arch fixed partial dentures (bridgework), hybrid appliance, bar-retained overdenture, or attachment-only retained overdenture. Fixed options are traditionally considered the ideal but are often more costly to produce than removable options. We offer the prospective implant patient all of these options and review their risks and benefits at the case presentation.
When technically appropriate, we see a trend with patients selecting the attachment-only retained overdenture option. Many existing conventional denture patients simply want a more retentive removable appliance. Placement of four to six implants per arch with attachments directly into implant abutments can easily accomplish this goal. Today, with innovative impression products and means for capturing accurate jaw relation records, the implant-retained overdenture has become a staple of the implant driven practice.
Case report
The 70-year-old male patient presented with conventional maxillary and mandibular dentures. His previous dentist delivered these as immediate prostheses along with full-mouth extractions. The patient was unable to function comfortably with these dentures due to poor retention and occlusal relationship.
After a diagnostic workup and careful consideration of all options, the patient agreed to have four implants (Replace implants, Nobel Biocare, Yorba Linda, Calif.) placed in each arch for maxillary and mandibular attachment-retained overdentures. He was referred to a surgical dentist for bone grafting and placement of the implants. Following a four-month implant integration period, implant level impressions initiated the process to fabricate the new overdentures. During the surgical phase, his original dentures received a soft liner (Visco-Gel, Dentsply, Milford, Del.) to prevent any damage to the newly grafted tissues or implants.
Figures 1 and 2 illustrate the impression copings in place for the implant level impressions. Note the excellent spacing and parallelism of the implants. The master impressions were made using the new Strong-Massad DenPlant Impression Tray System (Global Dental Impression Trays, Tulsa, Okla.). (Fig. 3) These clear impression trays are disposable, heat moldable, and bur-trimable. The moldability of the trays with a microtorch or hot water provides complete customization to any edentulous arch.
The master impression is completed in varying viscosities of vinyl polysiloxane impression material (Aqua-Sil Ultra, Dentsply). Border molding is completed in one step using heavy or medium body impression material. (Figs. 4 and 5) The final wash of the impression is completed in light viscosity material syringed around the impression copings and medium body material in the tray interior. (Figs. 6 and 7)
Master stone casts were produced from the master impressions. Two maxillary baseplates with wax rims were returned from the lab. The first wax rim was used to establish incisal edge position, facial contour, and the occlusal plane. A facebow transfer for a semi-adjustable articulator (SAM 3, Great Lakes Prosthodontics, Lake Tonawanda, N.Y.) attached to this first wax rim provided for mounting of the maxillary cast to the articulator. The Jaw Relation Recorder (Global Dental Impression Trays, Tulsa, Okla.) was mounted on the second maxillary baseplate and on a mandibular baseplate. The new device allows the clinician to precisely and easily capture the patient's centric relation position at the correct vertical dimension. (Fig. 8)
A tracing is produced on the upper striking plate of the Jaw Relation Recorder as the patient rubs the lower pin against the plate in a forward-backward and side-to-side motion. (Fig. 9) The upper and lower portions of the Jaw Relation Recorder are then joined together intraorally with bite registration material to produce the completed bite registration. This recording is used to mount the mandibular cast on the semi-adjustable articulator in the patient's centric relation. (Fig. 10)
We have found the Jaw Relation Recorder to produce increased accuracy of our occlusal records. This property has thus reduced the amount of time and appointments needed for occlusal adjustments or resetting of denture teeth due to missed centric relation problems.
Once the casts were mounted on the articulator, the dental lab technician fabricated denture setups for both arches. These were returned to the office for a try-in appointment. Locator abutments and attachments (Zest Anchors, Escondido, Calif.) were selected for retentive elements. The try-in appointment allowed the patient and dentist to approve the overdenture setups for esthetics, phonetics, and occlusion. The Locator abutments were placed into all implant sites and received the attachments luted into the intaglia of the baseplates. Metal frameworks were also fabricated and included in the baseplates. (Fig. 11) In this way, the retention of the overdentures was also previewed and approved before processing the overdentures.
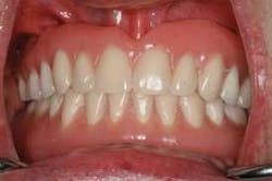
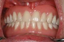
The case was processed by the lab and returned to our office for delivery. The Locator abutments were placed into each implant and torqued to 20 N Cm for resistance to loosening. The overdentures, retained by Locator attachments, were seated and occlusal adjustment was completed. (Fig. 12)
The completed dentures were finished in a lingualized occlusal scheme that allows the maxillary lingual posterior cups to disengage immediately from the mandibular central fossae as the patient moves into lateral excursions. The metal reduces the fracture potential of the processed denture bases as the overdentures age and fatigue.
The patient can now smile and function with confidence and maintain a broad spectrum diet as opposed to the limitations he experienced with the previous poorly fitting conventional dentures.
The combination of new, more versatile impression trays, impression techniques, and centric relation records has improved the success of the implant-supported overdenture procedure. Patients like the ability to remove the overdenture and simply clean around an abutment as opposed to a bar or fixed framework. Repairs to overdentures are simple to complete and can often be done in one day.
Finally, the attachment overdenture procedure is less technique-sensitive due to the elimination of having to make a bar or bridge framework fit intraorally.
While fixed implant options are highly desirable, we find that the overdenture market represents perhaps the greatest growth potential for patient satisfaction in the prosthetic office today.
Dr. Sam Strong received his DDS from Baylor College of Dentistry. He has been involved in implant prosthetics and teaching since 1985. Dr. Strong is the co-designer and co-developer of the Massad Edentulous Impression Tray and the soon-to-be-released Strong-Massad DenPlant Impression Tray. He can be reached by e-mail at [email protected].












