Understanding the practice-building potential of using a low-wear universal flowable composite
Robert Marus, DDS, AAACD
Direct composite restorations are now considered everyday procedures in general dental practices. However, a number of factors can deter clinicians from undertaking certain types of restorative procedures, particularly if performing the clinical protocol has historically been wrought with technique sensitivity, difficulties in material handling, and other factors that contribute to inefficiency, lower productivity, and questionable restoration longevity. Among these untapped production- and revenue-generating procedures are Class V and Class VI lesions, both of which can be restored using a low-wear, injectable universal flowable composite.
Dentists’ reluctance to treat such cases is understandable. Direct composite treatment of Class V lesions must be performed meticulously to prevent the restorations from dislodging, and patients usually present with three or four such lesions at a time. Class VI lesions, on the other hand, have often gone untreated. When these lesions are present in posterior teeth, selecting a composite with sufficient strength and wear resistance can be challenging.
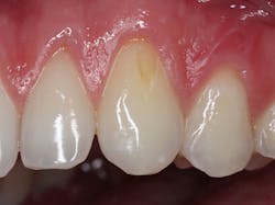
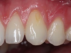
Figure 1: Preoperative close-up view of a Class V lesion that required restoration using a flowable composite
The reality is that dentists can tap into and profit from providing these restorations to patients who need them. Incorporating the use of an injectable, wear-resistant, universal flowable composite with the characteristics that can help maximize their productivity, efficiency, and cost-effectiveness (e.g., G-ænial Universal Flo, GC America; figures 1–6) can compound the benefits of performing such restorations. Material selection, however, requires an understanding of the characteristics of flowable composites, how those characteristics impact aspects of the direct restorative process, and how the combined characteristics of an injectable universal flowable composite contribute to realizing the practice-building potential of these procedures.
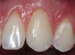
Figure 2: Postoperative view of the esthetic seamless Class V restoration that was completed using one shade of an injectable low-wear universal flowable composite (G-ænial Universal Flo). Due to the material’s injectable delivery and controlled fluidity, no matrix band was needed during placement.
Efficiency
A number of factors contribute to a flowable composite’s efficiency, ease of placement, and longevity. The delivery mechanism can be conservative and purposeful or cumbersome and wasteful. For example, when a universal flowable composite is injected via a syringe, the material is conveniently placed exactly where it is directed, without awkward handling. Such ergonomic considerations eliminate unnecessary muscle constraints. Dentists are accustomed to performing the action of an injection, so the process feels comfortable and second nature.
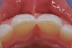
Figure 3: Preoperative incisal-edge view of maxillary incisors with Class VI lesions
Likewise, the material composition also influences procedural efficiency. Understandably, flowable composites, such as G-ænial Universal Flo specifically, are necessary to satisfy specific clinical requirements, such as high wear resistance (i.e., maximum of 3 microns of wear per year). However, controlled fluidity is also essential to ensure precise, quick, and stress-free placement. This mandates that the flowable composite demonstrate a smooth flow and thixotropic properties in order to wet surfaces easily and remain in place without slumping.
Only when flowable composite placement is exact and controlled can the buildup of a restoration’s anatomical form become easier and more time efficient. This significantly affects the ease with which the restoration can subsequently be finished and polished. The ease and efficiency of polishability and polish retention are also dependent on the material’s composition. If the flowable composite can achieve a high-gloss finish quickly and easily with only rough finishing using a bur—and demonstrate excellent high-gloss retention as a product of self-polishing characteristics maintained from daily toothbrushing—then the overall restorative procedure is further simplified.
However, the need for controlled placement is not mutually exclusive from a clinician’s need to readily adapt material to cavity preparations. When the flowable composite is not only easily injectable but also optimally stackable like traditional composites, dentists can be confident that there will be no risk of pullback that could otherwise create voids at critical margins or lead to restoration dislodgment. This characteristic is also significant to procedural efficiency and long-term survival of the restoration.
Figure 5: Preoperative occlusal view of a maxillary posterior tooth that required restoration of the enamel abrasion and exposed dentin on the cusps
Productivity
The fact that an injectable flowable composite is ideal for Class V and Class VI lesions bodes well for clinicians from a productivity and profitability standpoint, particularly since these lesions usually present three or four at a time. Because most patients are scheduled for one hour to treat such lesions, if an injectable flowable composite is used that can enhance procedural efficiency—with less time spent per procedure so that more can be performed per scheduled appointment—then it is possible to provide, bill, and be paid for three or four necessary restorations in one appointment.
Overall, less chair time per direct restoration equates to more open operatories to accommodate more patients. Most importantly, this translates to greater patient comfort, convenience, and satisfaction—and that equates to more positive referrals.
Figure 6: Postoperative occlusal view of the restoration completed on the maxillary posterior tooth using a single shade of an injectable universal flowable composite (G-ænial Universal Flo)
Cost-effectiveness
Further, using one product for both anterior and posterior restorations contributes to reduced inventory, elimination of product waste, and simplified chairside setup. This cost-effectiveness not only affects accounts payable for materials, but it also translates to cost-effectiveness in terms of staff time required to maintain, organize, and track material inventory.
When a truly universal flowable composite is used that is available in a broad range of shades, different levels of translucency, and demonstrates the requisite strength and ideal wear resistance, additional procedural cost-effectiveness can be realized. Highly esthetic restorations can be provided for both anterior and posterior restorations using a single shade of one material or a multishade layering technique, if required. This typically means that the flowable material must incorporate durable, stable filler technologies to ensure that its behavior resembles more traditional composites, particularly for posterior indications.
Conclusion
When faced with providing direct restorations that require the use of a flowable composite, selecting a material that can be injected during placement, offers controlled fluidity and easy adaptability, and promotes ideal esthetics and polishability can help facilitate successful results, rather than challenges. Incorporating this type of universal flowable composite into the dentist’s armamentarium can not only enhance the clinical outcomes for patients, but it can also increase the dentist’s return on investment through more efficient, cost-effective, and productive procedures that may not have been previously considered.
Robert Marus, DDS, AAACD, of Yardley, Pennsylvania, is a graduate of New York University College of Dentistry and is accredited by the American Academy of Cosmetic Dentistry. An international author, he lectures to dentists on cosmetic dentistry techniques. Dr. Marus was featured as the cosmetic dentist on the CN8 television show, It’s Your Call, hosted by Emmy Award-winner Lynn Doyle, airing nationally on the Comcast Network.







