How long do dental restorations last?
Q: Many patients ask me how long a “filling” or a crown will last, and if it will ever have to be replaced. Some patients are shocked when their restorations need replacement, because they thought they would last a lifetime. Is there any information to tell patients about how long their restorations will last?
A: Your question is one that I seldom hear from dentists or patients, but it is a very important one.
Dental restorations have a finite longevity, depending on factors related to both the patient and the doctor doing the procedure. What are these determining factors?
- Competency of the practitioner doing the procedure
- The financial orientation of the practice
- Type of dental materials used
- The way the materials are placed
- The quality of the finished restoration
- The age of the patient
- Previous dental treatment history
- The patient’s diet
- The patient’s hygiene
- The patient’s use of preventive materials, such as fluoride
- and many other factors
Discuss with your patients those factors that can maximize the longevity of their restorations for which they have responsibility. Clinicians Report Foundation (CR) has data from research and surveys we have conducted on this topic. The data in the literature is confounded by many issues, including some of the previously mentioned factors and whether the practice reporting the data was a private practice, corporate practice, military, academic, or research.
Improving composite restoration longevity with anticaries technology
Critique of dental procedures in 2022 and potential solutions
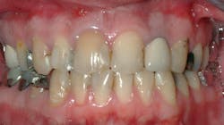
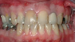
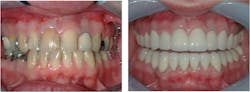
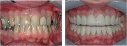
However, when blended with the clinical experiences of long-term CR clinicians, this information should be useful for you and your patients. The example in Figures 1 and 2 shows a patient who was not told by the practitioner that his previous restorations would eventually need to be replaced. This is the situation with many patients.
In the following categories of restorations, the longevity estimates are relatively reliable, but the estimated costs per year of service vary significantly due to differences in practice fees.
Composite resin is currently the most used dental material in developed countries. It has been in use for more than 60 years, and many projects have been accomplished on the clinical longevity of composite. The data is not impressive! The range for longevity is only six to 14 years depending primarily on the size of the restoration. Large restorations have predictably short longevity, while small restorations serve longer. Using current fee averages as reported by the American Dental Association, the average cost of a composite restoration per year of service is about $27.
Amalgam restorations have been controversial since their introduction in the mid-1800s. Their lack of esthetic acceptability and alleged health challenges have resulted in diminished use over the years. Amalgam is still used as the major restoration in developing countries. In the US, however, it has been estimated that amalgam comprises about 10% of direct restorations (personal communication, Tom Limoli, Limoli and Associates, October 2021). CR surveys have recently shown that amalgam is still used by about 60% of US general dentists at least some of the time. The range of longevity is from 14 to 17 years. The average cost of an amalgam restoration per year is about $13.
It is a frustrating conclusion that amalgam costs about one-half as much as composite per year but serves significantly longer.
Removable partial dentures are used by many patients with varying clinical acceptability. Unfortunately, some patients do not wear their partial dentures all the time, and some don’t wear them at all after a short period of unsatisfactory use. However, some partials are very adequate restorations both esthetically and functionally. The average reported longevity for metal-containing partials (not the lower-cost flexible partial dentures) is about 14 years. Based on average ADA reported fees, removable partial dentures cost the patient about $129 per year.
Complete dentures are unfortunately needed by about 40 million people in the US, according to many estimates. Maxillary dentures are tolerated and even liked by patients, but patients are almost always dissatisfied with mandibular dentures without implant support. Many denture patients could have retained their teeth but elected to have extractions instead. Most regret their decision later, since complete dentures have limited longevity and need to be replaced, relined, rebased, and repaired.
The average longevity for complete dentures is about 12 years. Based on ADA fee averages, dentures cost about $150 per year.
Full-gold alloy crowns were extremely popular in the past. Currently, they don’t appeal to most patients despite their significant longevity. I have included them in this article to allow estimated longevity comparisons with the newer crown forms. Indirect gold alloy restorations ranging from onlays to full crowns have a longevity of about 27 years. Some studies showed over 40 years of longevity. It is unfortunate that public interest in esthetics versus longevity has greatly decreased the current use of cast gold alloy restorations to only 2% of all indirect restorations (personal communication, Daryl Withrow, Glidewell Laboratories, October 2021). The average cost per year of cast gold restorations is about $50 including the variable cost of gold alloy. Although significantly higher than amalgam or composite, the lack of need to repeatedly redo the restoration makes this higher cost acceptable.
Porcelain-fused-to-metal crowns (PFM) now comprise 8% of indirect restoration use (personal communication, Daryl Withrow, Glidewell Laboratories, October 2021). They have served the profession very well for more than 65 years and are still preferred by some dentists over zirconia or lithium disilicate. It is anticipated that PFM restorations will gradually fade in use because they are labor-intensive in the laboratory and becoming a lost art among younger technicians. The average longevity is about 20 years. That makes their cost per year about $60.
Zirconia crowns now comprise the vast majority of crowns placed in the US. They have been popular since 2009. They were originally not esthetically acceptable, but various methods are now available to reduce that challenge. Some of these methods have been shown to reduce the strength of the zirconia restorations, and manufacturers are attempting to remedy that problem. The patient cost is about the same as previous types of crowns despite the simplicity of fabrication and the low cost of zirconia. The entire subject of zirconia is under investigation with in vitro and in vivo studies to solve numerous challenges. Estimates of 17 years longevity on average are present, but they are only estimates and undoubtedly inaccurate.
The various forms of zirconia vary significantly in strength. The original form of BruxZir (3Y) used as a single crown has shown 100% survival in the Technologies in Restoratives and Caries Research (TRAC) Division of CR over 10 years. However, some of the newer forms of “esthetic” zirconia studied in vivo are already showing breakage and failure after only a few years. The average annual cost for the various forms of zirconia is yet unknown, but they will probably fall in the same range as PFM or longer.
In vivo research by the TRAC Division of CR of lithium disilicate crowns (IPS e.max) used as single crowns shows only 6% failing after 11 years of clinical use, which is remarkably good and unprecedented for restorations as esthetic as e.max. Estimates for e.max longevity are about 15 years. This appears to be too low as the data from TRAC in vivo studies are being collected. The cost per year will probably be about the same as PFM. Some forms of altered zirconia are now competing with e.max for use in esthetically sensitive areas of the mouth. In the event they are clinically acceptable—which is yet to be determined—they will probably reduce e.max use due to its more laboratory labor-intensive necessity.
Informed consent
The information in this article can be useful for informed consent for your patients. Most dentists have not been concerned with how many years restorations last. Unfortunately, some patients feel restorations will be in service for their entire life, which is obviously inaccurate. Informed consent for patients on this topic is highly recommended to avoid patient challenges later.
Summary
Dental restorations have a finite lifetime, unknown to most patients and to some dentists. CR scientists and mature clinicians have accumulated scientific articles on the subject and combined that information with clinical observations to compose the information in this article.
Cost per year estimates vary significantly due to the range of practitioner fees in the US. The information in the article should be valuable for you, your staff, and your patients.
Editor's note: This article appeared in the December 2022 print edition of Dental Economics magazine. Dentists in North America are eligible for a complimentary print subscription. Sign up here.
Sources
- Longevity of direct and indirect dental restorations. Clinicians Report. 2021;14(10):1-3.
- 2022 Survey of Dental Fees. American Dental Association, Health Policy Institute.
Author’s note: The following educational materials from Practical Clinical Courses offer further resources on this topic:
One-hour videos:
- Strong, Comfortable, Esthetic Rehabilitations with Zirconia (Item #V1942)
- Making Complete Dentures a Win-Win Service (Item #V2549)
Two-day hands-on course in Utah:
- Fixed Prosthodontics with Dr. Gordon Christensen
- For more information, visit pccdental.com or contact Practical Clinical Courses at (800) 223-6569.
About the Author

Gordon J. Christensen, DDS, PhD, MSD
Gordon J. Christensen, DDS, PhD, MSD, is founder and CEO of Practical Clinical Courses and cofounder of Clinicians Report. His wife, Rella Christensen, PhD, is the cofounder. PCC is an international dental continuing education organization founded in 1981. Dr. Christensen is a practicing prosthodontist in Provo, Utah.


