Enjoy every practice day!
Ask Dr. Christensen
Q: I have been practicing for 15 years, and overall I enjoy dentistry most of the time. However, over the last few years, I am finding Mondays to be a downtime for me mentally as I go to the office. What can I do to get the enthusiasm back again? I do not like my negative thoughts that are occurring frequently relative to my profession.
A: Your feelings are not uncommon for the time in your career that you described. You have practiced enough years that you are probably comfortable with the various procedures that you accomplish in your practice. You are probably comfortable financially. If you have children, they will soon exit from your home and go into the workforce or on to college. Don’t despair; there are many actions that you can take to regain your enthusiasm! I will suggest numerous activities well-known to make dentistry enjoyable and allow you to look forward to almost every day.
You have selected a profession!
The characteristics of professional life allow you and your family freedom and privileges that are not available in most other vocations. Not only are you in a profession, but you are in the one that has, for the last many years, been judged to be the top profession or among the best professions by US News and World Report. Enjoy it and feel blessed to be a member of it.
Work to provide a service to others
As you practice dentistry each day, keep in mind that you are working to provide a service to others—not simply to accumulate a large amount of money. There are many ways for an intelligent person to make money. You have selected a profession that provides a comfortable income for you and your family. For some people, money is a major goal in their lives. For the majority of professionals, it is not. Working in a profession provides rewards that are not necessarily financial. Dentistry certainly provides those. You have undoubtedly had patients shed happy tears as you have eliminated their pain, improved esthetics, or enhanced function. Conscientious, service-oriented dental practice brings adequate financial resources for a great life in addition to intangible service-oriented rewards.
Practice in a geographic area you like
If you are in a geographic area you do not like, move and find another location in which you can practice and be happy. An honest, hard-working, and service-oriented practitioner can establish a productive practice in almost any location. It requires time and some sacrifice for the dentist and his or her family to become stable, but it is possible. If you are dissatisfied, find a practice in an area appropriate for you and your family.
Make your office enjoyable to you and your staff
Keep your office a pleasant, clean, cheerful, and well-organized workplace. Upgrade it at least once every five years, which is about the time that most offices become worn, smelly, and out-of-date. You spend more time in your office than by yourself or with your family. Make your office a great place to work.
Make sure you are happy with your staff
Your staff are your second family. They must be competent, supportive of you, and eager to make your practice great. If any of them are not meeting your expectations, help them find another more appropriate position.
Practice delegation with responsibility
Some define this characteristic as “upside-down leadership.” This point is one of the most important ones in this article. Find out what procedures each of your staff members enjoys. Ask them if they are interested in being the person responsible for those areas. As an example, let’s use radiology. A staff member can be in charge of everything in radiology such as researching which devices are the best for your practice and purchasing them with your consent, maintaining the equipment, teaching other staff members proper use of the equipment, making sure the software is up-to-date, ensuring that the images are high-quality, and keeping all of the images updated. Can you imagine what this concept would do for you if every major aspect of your practice was assigned to and administered by a staff member? This concept alone frees you from worry about all areas of the practice, excites your staff, and significantly increases your practice productivity.
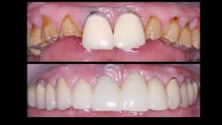
Do the dental procedures that you enjoy
You know what you do well and which procedures you enjoy (figure 1). Become an expert in those areas and become known for those procedures by your staff and your patients. If there are areas of dentistry that are not of high interest to you, refer those patients to other practitioners to have those procedures completed.
Make a practice schedule that allows freedom
You are not required to adhere to a specific schedule, so craft your practice schedule so that there is freedom for you and your family. I have had practice schedules that started at 6:00 a.m. to midafternoon, ones that started in late afternoon and ran to 11:00 p.m., others that ran 10 hours straight for three or four days per week with only a brief period for snacking instead of an official lunch break and scheduled on weekends, and still others with various combinations of these schedules.
One of my favorite schedules is 7:00 a.m. to 2:00 p.m. (seven hours) with only snacking in the middle of the schedule on one day, and then on the next day hours from 11:00 a.m. to 6:00 p.m. (seven hours) with the same lack of an official lunch break concept in midschedule. This schedule was the favorite of all staff members, since it allowed time during each day to accomplish household tasks and have more community and family time. The point is, make your schedule fit your life as opposed to making your life fit into a rigid practice schedule.
Learn and implement new procedures and concepts
Participate in continuing education (CE) frequently so that you can integrate new procedures and concepts into your practice. This is an important point! Some dentists practice their entire careers doing only what they learned in dental school. Practice soon becomes very boring and stale. I suggest making a continuing education plan for your career. I prefer to learn at least one new major procedure each year. Examples that I have used over past years are implant restoration, implant placement, sleep medicine, occlusion, CAD/CAM, practice management, and so on. Such a learning schedule requires CE, self-instruction, inquisitiveness, and incorporation of new procedures into the practice. You cannot avoid becoming excited and stimulated as each new concept is incorporated into your practice.
Eliminate problem patients
A small percentage of your patients are disagreeable to you and your staff. Identify them by name with your staff. Then, tactfully and legally remove them from your practice by referring them elsewhere. You may use excuses such as their treatment would be better accomplished elsewhere, or you are not as competent as others in their area of need. You will eliminate a lot of stress this way!
Get involved with organized dentistry
You owe your profession dearly for the advantages it offers you and your family. The American Dental Association and other organizations need help. Get involved! You will establish friends, gain experience in areas not encountered in daily practice, and you can greatly help your profession.
Get involved with altruistic organizations
Altruistic organizations—such as religious or civic organizations—in your area need help (figure 2). It is well-known that providing service to others in such groups helps those you serve, but I can guarantee it will also help you.
Plan early for retirement
Contrary to the popular beliefs of many dentists, you can’t just stop practicing one day and sell your practice to someone. You must keep your practice, your team, your physical facility, and your reputation in an up-to-date, desirable condition to have something to sell if you plan to eventually retire.
Do something enjoyable every day
It’s up to you to make room in your schedule for something that you enjoy doing every day (figure 3). What can you do in or around the area in which you live that takes minimal time and is something that you really enjoy? I have many things to do that I really enjoy. My wife and I love animals. We have horses, dogs, and cats. We enjoy our grandchildren, motorcycles, ATVs, fast cars, and the mountains that are a few hundred feet from our home with many trails and quiet places. You must know of activities that would calm you after a day in the office. I feel strongly that each of us should have some experience every day that we enjoy, and that we should not let a day go by that we do not have some form of relaxing diversionary activity.
Summary
A monotonous daily schedule is indeed boring. Doing the same thing in the same location every day without change can be a challenge to your satisfaction in life. This article has suggested many activities that will increase enjoyment and stimulate your professional life. Please look over the activities that I have mentioned and see if some of them would add new excitement and enjoyment into your life.
Author’s note: The following educational materials from Practical Clinical Courses will expand your horizons and offer further information on increasing productivity.
One-hour videos:
- Optimizing Dental Hygiene to the Next Level (Item No. V4799)
- Preparing for an Easy Practice Transition (Item No. V4790)
- Multiple Patient Scheduling—Working Smarter, Not Harder (Item No. V4794)
Two-day hands-on courses:
- Faster, Easier, Higher Quality Dentistry with Dr. Gordon Christensen
- Igniting the Leader in You! with Robert Spiel, MBA
For more information about these educational products, call (800) 223-6569 or visit pccdental.com.
About the Author

Gordon J. Christensen, DDS, PhD, MSD
Gordon J. Christensen, DDS, PhD, MSD, is founder and CEO of Practical Clinical Courses and cofounder of Clinicians Report. His wife, Rella Christensen, PhD, is the cofounder. PCC is an international dental continuing education organization founded in 1981. Dr. Christensen is a practicing prosthodontist in Provo, Utah.




