Complete dentistry is the best dentistry for your fee-for-service practice
Have you ever noticed that the best CE courses provide a paradigm shift for you and your dentistry? I have had the good fortune of experiencing this several times over my 40-year career.
The first time I ever saw Dr. Peter Dawson was years ago when he introduced me to the concept of Complete Dentistry. It was his view that every new patient deserved a complete exam, including radiographs and study models mounted on a semiadjustable articulator, if appropriate. Armed with all the findings, you can then present to the patient a treatment plan to bring their mouth to total health.
It was Dawson’s belief that a fee-for-service practice only needs 12 new patients a month if in fact you are doing complete exams on each patient. In fact, he went so far as to say that a dentist performing complete exams on every new patient cannot handle more than 12 new patients a month because of the time it takes to do these exams (approximately 60–90 minutes each). This whole concept was mind-blowing to me, and I have practiced it since 1986!
Then there are the teachings of the Pankey Institute. From the first class I took there, I was struck by the Pankey philosophy as created by its inspirational originator Dr. L. D. Pankey. It was his teaching that you never work on “strangers” … that in order to do your best dentistry for an individual patient, you must understand that patient’s needs and circumstances as well as knowing yourself, your talents, and your abilities. This one concept—as well as the rest of the Pankey philosophy—totally reinvented my perspective on dental practice as well as my life. I have talked about this in previous articles, but it is essential to know yourself, your talents, and your deficiencies so that you can create an intentional CE curriculum to address those deficiencies. The Pankey philosophy is actually integrated with the Dawson philosophy and underscores the importance and benefits of Complete Dentistry.
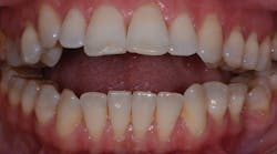
And then there is Dr. Frank Spear. The first time I saw him was at the Pankey Institute where he presented a week-long course with Peter Dawson. Talk about a confluence of amazing individuals! The first picture Frank showed was a retracted 1:2 shot of a man’s mouth that had all 28 teeth prepared for crowns—but there were no restorations, just prepped teeth. And the question was, “If this patient walked into your office Monday morning needing his full-mouth rehabilitation completed, where would you start?” There are no temporaries, no study models, and no previous pictures to work from, so how would you proceed?
From there, Spear spent the next few days introducing the concept of Facially Generated Treatment Planning (FGTP). This is the system that uses the patient’s face as the frame for the new teeth that you will be making for that patient. It means starting with the patient’s lip at rest (as seen in a photo) and deciding on the appropriate placement of the maxillary central incisor edge. From there, you determine the most esthetic placement for gingival levels, plane of occlusion, and so on. In this way, the dentist can plan an ideal arrangement for that particular patient’s teeth/smile. After that, it’s a matter of creating an efficient and targeted treatment plan—working with specialists where needed—to create the intended result.
Once again, this FGTP concept totally blew me away! Talk about a paradigm shift; this was a practice-changing shift. I have used this treatment planning method ever since ultimately becoming a visiting faculty member at the Spear Institute. But the major point here is that the Dawson philosophy, the Pankey philosophy, and Spear Institute (as well as the Kois Center and several others throughout the country) all use the concept of Complete Dentistry as the core of their teachings.
What is Complete Dentistry?
So, what is Complete Dentistry? Well, first let’s talk about how we were taught in dental school, which is more of a “single tooth” philosophy. In a single-tooth philosophy, you identify any “problems” in the patient’s mouth (broken teeth, inflamed gums, decay), and you address those issues individually. If a new patient comes to you with a broken tooth, you “fix” the tooth, send them to hygiene, and reappoint them for six months. Much CE throughout the country teaches procedures that are useful in this practice mode.
When a new patient comes in for a broken tooth, Complete Dentistry asks the question, why did that tooth break in the first place?
Complete Dentistry uses a different approach. When the new patient comes in for a broken tooth, Complete Dentistry asks the question, why did that tooth break in the first place? In your complete exam, you might be educating the patient as to findings that they are unaware of, perhaps clicking joints and what that might mean, excessive wear, or large old amalgams and the risks of leaving these issues untreated. Let’s be clear: this is not a system simply to generate more production. If practiced effectively, this is a practice philosophy of performing a very thorough exam (joints, muscles, bone, teeth, and soft tissue), educating the patient as to your findings, suggesting appropriate treatment to address their issues, and outlining the risks of nontreatment. It’s no different than going to your family doctor for a physical; you would want them to be as thorough as possible and to communicate their findings and suggest treatment for better health.
I have found Complete Dentistry to be the most effective and valuable tool in creating the fee-for-service practice I desired. It lends itself to relationship-building with your patient and greater satisfaction in your daily dental life.
In future articles, I will talk more about the complete exam and treatment plan presentation techniques that will help make you more successful. I am in debt to Drs. Peter Dawson, L. D. Pankey, and Frank Spear for enriching my practice and my life. I hope you find your paradigm-shifting CE presenters; it’s worth every penny and amount of time away from your office. Good luck!
Editor's note: This article appeared in the February 2025 print edition of Dental Economics magazine. Dentists in North America are eligible for a complimentary print subscription. Sign up here.
About the Author

Robert S. Minch, DDS
Robert S. Minch, DDS, is a graduate of University of Maryland Dental School and has enjoyed a fee-for-service practice focusing on cosmetic and complete dentistry in Baltimore, Maryland, for 40 years. He is a visiting faculty member at Spear Education and teaches Dental GPR residents at Johns Hopkins Hospital. Additionally, he has created numerous study clubs. He can be reached at [email protected].


