Laser Dentistry: Highlighting the Triangle of Benefit
The best advice I was ever given occurred shortly after graduation from dental school: "Do good work and the money will come." It has taken me almost 20 years in private practice to truly understand this statement. "Good work" isn't what I originally thought. It's not about perfect dentistry, which was drummed into our heads at dental school. And it's not about return on investment. So continue reading if you want answers other than how to guarantee your return on investment or how to do "perfect" dentistry.
I first heard Dr. Terry Myers, father of laser dentistry, use the phrase, "Triangle of Benefit" in the early 1990s when I purchased my first laser. Even back then, I envisioned the many benefits laser technology might offer my patients. The basic principle of the concept provides benefits for the patients, the practice, and the dentist. It made sense to me then and remains true today. For many procedures, lasers can provide patients with the best treatment option. The enthusiasm of providing unique, valued services can bring about tremendous professional satisfaction. Staff members also benefit; they want to provide the best care for their patients. The practice will benefit in increased revenues - eventually - that both doctor and staff will enjoy, but not if you try to put practice revenues before the patients.
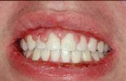
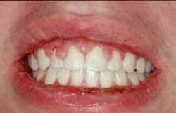
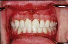
Let me tell a story of actual events that will crystallize these points. This past spring, I saw a 16-year-old male patient for an initial consultation. His general dentist had sent him to be evaluated as a candidate for laser treatment. The young man was in the final phase of orthodontic treatment and was concerned (as was his mother who also was present) about the appearance of his gums. Examination revealed extreme enlargement of the interdental papillae between teeth Nos. 6 through 11, and a large, maxillary frenum that showed when he smiled (figure 1).
The mother asked most of the questions. She was petite and pretty; her son was like some teens I've met - withdrawn, unkempt, and nonverbal except to tell me that he did brush his teeth. I saw the desperation on the mom's face and in her eyes. Her son was not dealing well with his appearance. Nevertheless, I explained that we should first wait until the braces came off and then wait another six weeks to see if things improved. I put the patient's best interest first, even though I knew the mother was vulnerable and would have sprung for treatment that day at any cost if I had offered it. Instead, I used that consultation time to explain the laser procedure, what to expect, and what the treatment would entail. I showed photos of other laser gingivectomy cases that I had done and answered questions.
After establishing the desire to receive my recommended treatment of four laser gingivectomies and a maxillary frenectomy, the number of appointments and time required for each was recorded. I asked permission to call the orthodontist to discuss this treatment and coordinate appointments. A postop appointment was discussed as necessary to assess outcome and, if more treatment was needed, no extra fee was required. This builds great trust and sets you apart as more interested in outcomes than in fees. I get my postoperative photo and the patient perceives value. The young man and his mother received a written treatment plan before leaving my office.
Simple procedure = satisfaction times three
Several months went by, and one day he was on the schedule as the result of scheduling efforts by my staff. During the morning huddle, my staff and I discussed the treatment plan. I would be using a diode laser for the gingivectomies and the staff would be ready to proceed. When the patient was seated, my assistant explained what we would be doing, showed him the laser, and took preoperative photos. When I entered in the operatory, I explained it again, asked for any questions, and then administered anesthesia. As I did so, I explained that I wanted him to be totally comfortable through the whole procedure.
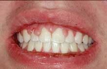
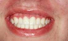
I chose the diode laser because of its fiberoptic, contact delivery. In my hands, gingival sculpting is accomplished cleaner and faster with a diode. Less than 15 minutes later, the treatment was complete and I went to talk to the mom while my assistant went over postop instructions with the patient. I emphasized how well the treatment had gone and took the relieved mom back to the operatory and introduced her to my assistant, who then reviewed the postop instructions with her. Relationships were being built. My assistant made the postoperative exam appointment and explained the importance of that appointment to confirm the outcome and determine if more treatment would be needed. She took immediate postop photos (figure 2), and then escorted them to the front desk. Payment was made at that time.
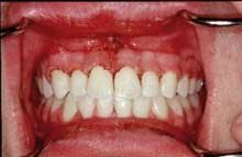
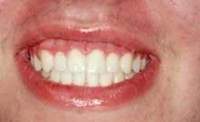
When the young man returned, I popped in for just a moment and looked over my assistant's shoulder as she was taking the postop photo (figure 3). What I saw astounded me. That shy, scraggly, young man now was smiling broadly, with a sparkle in his eye, clean hair, and a perfect smile. All those years of orthodontics had finally paid off. His self-esteem was visibly improved. He even looked me in the eye when I had a chance to ask about his experience. I always ask patients how they did, if for nothing else than to give them an opportunity to tell me personally if they didn't like something - better me than others - and I learn from it. The young man told me he had had no discomfort. I was shocked at this because teenage boys are not known to suffer pain quietly, and, because I had been aggressive with the treatment. His results were beautiful, and he was happy. I asked if I could include his before-and-after photos in the same book I had shown him. He agreed, and I told him he would be helping a lot of people who don't know this can be done. He seemed genuinely pleased. I also spoke with the mom in the reception area one last time. They would be returning to their general dentist, but this gave her an opportunity to thank me for what I had done. This only took a few moments of my time. My staff also got into the follow up - they praised him on how well he had done and what a nice smile he had. My staff takes an interest in the patients because they know the value of relationship building. They view the patients as "their" patients, and take an interest in their overall treatment and experience. It's not just for the monetary factor (yes, I believe in bonuses!) but because I delegate tasks so they are educated and can speak comfortably to patients about treatment.
The triangle of benefit really showed through in this case. The patient received the best possible care in a timely and comfortable manner, the staff and dentist interaction gave them pride and professional fulfillment, and the practice was able to achieve more than $800 in revenue for less than an hour of the dentist's time. Was I thinking about the money from the start? No. Did the money come? Yes. But it won't end there. I'd bet that more patients will be referred from the patient, his mom, the referring general dentist, and the orthodontist.
The laser is a great adjunctive tool in your armamentarium. Is it for everything? No. Will it bring you patients and money and prestige? Not without long hours of hard work, education, training, and patient-minded "good" work. Is it worth the investment? You bet it is - for the patient, the practice, and the dentist. See my Top 10 Tools for Building a Successful Laser Practice.
Top 10 Tools for Building a Successful Laser Practice1) Join the Academy of Laser Dentistry (ALD) for education, training, advanced study, and fellowship. Go to the ALD annual meeting, read the ALD Journal that comes out four times a year, participate online with the ALD forum, and get a listing of dentists who participate in mentoring and more. Check out the Web site at www.laserdentistry.org.
2) Have your staff attend laser lectures and receive training at the ALD. They want to learn about this new technology so they can speak to patients intelligently and comfortably about it. Then role-play with your staff and give them opportunities to share their knowledge.
3) Inquire about training and available courses from the company from which you buy your laser. Many laser companies offer in-office training and standard certification, as well as advanced training on their individual devices. Biolase has one of the largest user groups that offer a variety of courses, locations, and dates.
4) Update your office with modern décor and technology to attract and reassure patients that you are on the cutting edge. Don't forget those little touches, such as a spa concept with waterfalls and candles in treatment rooms. This will speak volumes about your total patient care.
5) Develop your own "before and after" photos of laser procedures, and place a photo book or two in the reception area. Visual examples speak louder than words; more so if it is your work. Take-home brochures for patients are a good resource.
6) Leave the financial details to one highly trained staff member (not the dentist). Spend your time in conversations about recommended treatment and outcomes, not their schedules or budgets. File patients' insurance but do not participate with any insurance company. And, raise your fees!
7) Write a column for the local newspaper; contact the local TV station; speak at various civic organizations. Do your homework and develop communication skills. The best speaker is one who has earned the right to speak on the topic.
8) Hand out personalized, laser-oriented business cards and patient brochures to specialists - orthodontists, plastic surgeons, dermatologists, etc. - and explain what you offer.
9) Target your marketing to the patients and procedures you wish to treat. Baby boomers are fast becoming the underserved population for cosmetic and laser treatment. Advertise in the media they support, for example, the arts.
10) Create a Web site that highlights your dentistry and puts you and your practice in a professional light. Explain laser procedures and show before-and-after pictures. Use search engines to drive patients to your area of interest - endo, pedo, cosmetic, etc. Use links to other sites such as the ALD or the AACD.



