Exceed your patients expectations- have your lab become part of your dental team
Glenn C. Alex, DMD
Commitment
Just as a dentist must concentrate on clinical excellence, a dental laboratory must demonstrate the commitment of providing the patient with the best that dentistry has to offer on every level. From working with the models to the finishing of the restorations, each area has to be committed to continuing education and developing the skills that enable them to provide service at the highest level. The initial laboratory phases must be done with exquisite accuracy in order for the final result to meet the high level of standards the lab has set. This commitment challenges each member of the dental-lab team to have a working knowledge of how his/her contribution affects what the patient receives.
The lab can be a valuable tool in every phase of patient care, from treatment-planning through insertion. In many cases, a diagnostic (wax-up) is essential in the diagnostic phase and in treatment-planning. With a copy of the visual treatment plan and proposed sequence-along with a set of mounted, equilibrated models- the lab can provide this service. Often, preliminary preparation of the teeth and occlusal-plane analysis must be done by the dentist prior to sending to the lab for final waxing. If any additional challenges are met during the wax-up, this can be communicated back to the dentist prior to finalization of the treatment plan and presentation. The diagnostic wax-up will not only serve as a model for treating the case, but as an aid in the treatment-plan presentation to the patient. Many cases are accepted on this image of what can be achieved.
Enlisting the help of the lab in preparing a cost estimate also is helpful. Sometimes the dentist can use the information from the laboratory to factor in the lab costs with other expenses to determine the case fee.
Case Study
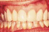
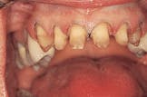
I recently received a case that had been prepared for six upper anterior porcelain veneers. The patient had had three sets of veneers placed, the last of which cracked while being placed (Figure 1). Initially, the patient had the veneers done to whiten her teeth. She had severe tetracycline staining. After a thorough examination, Phase I dentistry-consisting of caries control in posterior teeth, periodontal therapy and occlusal therapy-was completed. Full-coverage crowns using the IPS Empress System from Ivoclar were planned on Teeth #6-11. This is a pressed ceramic system that produces a more fracture-resistant ceramic material and enables the technician to use a layering technique for a beautiful esthetic result. On a new set of mounted, postequilibration models, a diagnostic wax-up was completed using the golden proportion (Figure 2). The Golden Rules cards from Thomas Dawson, DDS, Arlington, Texas, provided guidance in achieving the best esthetic harmony. A Siltec matrix (Ivoclar) was made on the diagnostic wax-up to be used in the indirect fabrication of provisionals. The provisionals then would be used to work out esthetics and function prior to finalizing and to communicate to the lab. The lab will use the cross-mounted approved provisional model to serve as a guide in fabricating the final restorations.
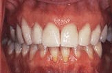
The veneers were removed. Since we did not know how much tooth structure was reduced before the veneers were placed, an incisal matrix was made on the diagnostic wax-up model using Siltec (Ivoclar). A model of the preparations after the veneers were removed with the matrix in place reveals inadequate two-plane reduction for the desired result. Baseplate wax (1.5 mm thick) is used to help visualize the amount of further reduction needed (Figure 3). Teeth #6-11 were prepared for full-coverage IPS Empress crowns (Figure 4). The Siltec incisal matrix was taken to the mouth and used as a reduction guide (Figure 5). The technician was present and observed the reduction in each plane. By working together chairside, we were able to meet all the clinical requirements that would enable the technician to create a work of art in the lab. Indirect provisionals were fabricated with a Siltec matrix and a similar acrylic (Caulk) (Figure 6). We took an impression of the preparations, along with a bite registration, and asked the patient to evaluate how the provisionals felt in her mouth over the following week. She was to be very critical and write down any observations or comments, whether positive or negative, that she had about the appearance, function or "feel" of the provisionals. We made an appointment with her to follow up on the provisionals and make any necessary changes. Once the patient was completely happy with the appearance, function and feel, an approved provisional model and bite registration were taken. A Siltec matrix was made from the approved provisional model. The matrix then was transferred to the working model for the technician to use in the wax-up and finishing of the crowns (Figure 7).
A Commitment to Service
Having the confidence of knowing that your technician will do everything possible to please the patient goes a long way in your communication with patients. Letting your patients know the level of technical support you have can make them feel good and, in turn, help instill further confidence in you. When the lab calls with a delay on a case or a challenge in delivering a restoration because of its desire to meet your expectations, the dentist can be assured that it is with the patient`s best interest in mind.
The desire for patient satisfaction may include the ceramist helping with shade communication, again heightening patient confidence. In the prior case example, the technicians were involved in the shade communication process. Questions were asked, lighting changed, pictures taken and diagrams drawn. We employed the Chromascop (Ivoclar) shade guide for final color determination. A shade also was taken of the dentin. The technicians left feeling confident they could meet the patients` expectations as long as certain parameters were met. The patient had a clear understanding of what we would be able to achieve.
This commitment to service may mean that the technician is clinically present at some other stage of the case to offer assistance. It is possible that the lab may work extra hours to ensure that patients receive restorations as promised.
Feedback
Regular or bilateral feedback is essential between the dentist and laboratory. We have found that a written report-card system allows the dentist to give information back to the individual technician and the technician to the dentist. This system, originally designed by Ronnie Dyer, DMD, from Blairsville, Georgia, accentuates constant communication and lets each team member know how the other is doing. It is based on the principle that each team member`s opinion and input is important and can directly affect the quality of care the patient receives. So often, the technician has no idea how well the case went and what the patient`s reaction was. When you have a beautiful result, send a note or pick up the phone and let the technician know it.
Look What Dentistry Can Do
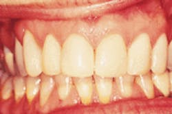
This case illustrates the importance of involving the laboratory as a member of the dental team. In addition to building a team approach, we achieved a new approach to patient service. We were able to use the expertise of clinical dentistry and dental technology to take someone who had been disappointed by dentistry and change her belief of what dentistry can do. She stated that she never knew that dentistry could be like this, and she felt that she had worked with a team of professionals who were committed to giving her the very best (Figures 8 and 9). She has since become a missionary for dentistry. Actively involve your laboratory technicians, and your patients will love the results.
Figure 1
Figure 2
Figure 3
Figure 4
Figure 5
Figure 6
Figure 7
Figure 8
Figure 9
About the Author
Dr. Glenn C. Alex maintains a private practice of general dentistry in Athens, Georgia. He also works with students as a faculty member at the Medical College of Georgia School of Dentistry in the Department of Oral Diagnosis and Patient Services, and is also a faculty member at the Center for Advanced Dental Study in St. Petersburg, Florida. Dr. Alex presents programs on treatment planning and dental team development. He is an alumnus of the L.D. Pankey Institute and a member of the Pankey/Dawson Study Club. For more information, Dr. Alex can be reached at 740 Prince Avenue, Building #14, Athens, GA 30606, phone (706) 549-5678, fax (706) 546-8046.









