Teeth in minutes
The integration and benefits of chairside CAD-CAM
Optimal form, function, and esthetics are now available in a simple procedure — in a single visit
by Sameer Puri, DDS
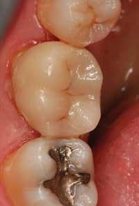
It truly is an exciting time to practice dentistry. There are so many advances that have impacted our collective dental practices that the art of dentistry has now blended with modern technology to provide an enjoyable dental experience for both clinician and patient. A dental visit can now be comfortable, efficient, and practical, in that a patient’s broken tooth can be permanently restored to optimal form, function, and esthetics in a single visit with a simple procedure (Figure 1).
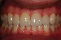
The restoration of teeth in a single visit can now be measured in minutes instead of hours, and does not involve performing large, direct restorations that may not be clinically indicated and where the limits of the restorative materials are pushed. Indirect restorations can now be milled chairside from a solid, homogenous block of porcelain to restore the tooth to optimum fit, function, and esthetics (Figure 2).
The technology that can accomplish this amazing procedure is the CEREC chairside CAD-CAM system. I would like to share the impact it has had on my practice and, most important, our patients.
Celebrating more than 20 years of clinical service, the CAD-CAM system allows clinicians to restore teeth by creating restorations chairside while patients are in the chair.
Actual fabrication time for a restoration is about five minutes, utilizing recently introduced MCXL milling chamber technology.
While there are other technologies that impart significant time benefits to patients, such as the Teeth in an Hour implant system by Nobel Biocare, these technologies still require additional work-up of the patient.
The Teeth in an Hour technique allows single-visit implant and restoration placement, but for this procedure to be successful, significant time is required for preplanning. It might include taking preoperative models and planning for the implant stent and placement, to finally sending the case to the laboratory for stent fabrication. So while it is a great technique, the Teeth in an Hour concept is the result of tremendous preplanning and coordination between the surgeon and the laboratory.
In contrast, the CAD-CAM system, with no preplanning or preoperative models, can fabricate a definitive restoration from scratch — for a patient who has never been to your office before!
The CAD-CAM system is unlike any other technology or treatment in dentistry, where in a single appointment, the patient’s tooth is restored with a high-quality porcelain restoration.
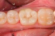
From a simple inlay to a complex, multi-unit anterior or posterior case, the CAD-CAM system is an added convenience to both clinician and patient, while adding to the patient’s comfort and reducing the financial burden absorbed by the dental practice (Figure 3).
The procedure can be broken down into three segments and, as stated previously, the entire procedure can be accomplished in less than one hour for a typical molar crown.
The three segments are prep and image, design and mill, and esthetic enhancement and cementation.
1. Prep and image — After preparation of the tooth, the clinician captures an optical impression, not unlike the traditional PVS impressions, but instead of using polyvinyl siloxane, the clinician uses a digital scanner to record an image of the tooth and surrounding areas. Depending on the speed of the operator, the prep and image may take no more than 20 minutes. The more complicated the prep, the longer this step may take.
2. Design and mill — After capturing the optical impression, the doctor (or staff member, if the doctor chooses to delegate this portion of treatment) designs the restoration in a matter of minutes with the intuitive interface of the CEREC machine. The restoration is then sent wirelessly to the milling chamber where, in three to 10 minutes (depending on the size of the restoration), the final product is completely milled from a solid block of porcelain. If you combine the design and mill portion, this should be no longer than 15 minutes.
3. Esthetic enhancement and cementation — Once completed, the final restoration can then be either hand-polished or glazed chairside, depending on the esthetic desires of the doctor and patient. Polishing will take a few minutes whereas the glazing process will take approximately eight minutes (Figure 4). Cementation should take no more than 10 minutes for the restoration. Give or take a few minutes for unexpected delays, you should still finish the process in less than 60 minutes.
Enhancing production as well as patient care
The entire procedure can be completed in as little as 30 minutes for a simple inlay, to around 60 minutes for a full contoured crown. The system has the capability to treat a single tooth in the anterior or posterior as well as multiple teeth in any part of the mouth.
If you track your hourly production, you will find that very few procedures can give you as high an hourly production rate, while at the same time, provide optimal care for your patients. All this is done without the downside of a laboratory fee.
Financial considerations aside, the main impact that this technology has had on my practice, and in my opinion, the main reason to invest in any technology, is improved patient care.
While all other factors should be taken into consideration, my opinion is that regardless of the ROI of a particular technique or product, utmost consideration should be given to whether that product or technique improves the dental health of the patient and improves the quality of care.
Clinical advantages
Studies have shown that the faster we can seal the tooth by placing the final restoration, the less postoperative discomfort the patient will experience, the higher the bond strengths of the restoration, and the less chance for needing postoperative endodontic therapy. Improved patient care should be paramount in any decision requiring the purchase of capital equipment.
Another advantage that is not as clinically significant but just as important to patients is the increase in convenience and ease. With traditional crowns done in two visits, patients have to find two times to be absent from work or two times to find and pay a babysitter, spend two times sitting in traffic, possibly take two vacation days to come to the office, and endure two times to stop virtually everything in their busy lives to visit the dental office and get the work done.
Now granted, this is sometimes unavoidable, but don’t we owe it to our patients to save their time and accomplish in one visit that which used to take two? Why is everything else in the civilized world getting faster and easier except dental visits?
If you don’t think that patients would appreciate spending less time at the dental office, I challenge you to ask them. Try doing a survey of 50 random patients and I’m confident that nearly all of them would say they would prefer a single visit.
Internal referrals boost new-patient flow
Our office does not market externally, instead we rely on word of mouth and referrals from existing patients for new-patient growth. We’ve seen a tremendous boost in patient satisfaction and internal referrals by simply allowing our patients to spend less time in the office and more time with things they need to spend time on.
It has become so engrained in our patients’ minds now that they will be getting their work done in one visit that, if for an unexpected reason a CAD-CAM restoration cannot be done in a particular case, it is met with disappointment.
Financial advantages
Finally, the financial impact of CAD-CAM technology cannot be ignored. The benefit of significantly reducing your monthly lab bill is an advantage enjoyed by thousands of users worldwide. It also provides tremendous flexibility to the dental office.
Too often, optimal care is not provided because of the cost of an indirect procedure: The patient and doctor don’t want to invest the lab fee into a tooth because of a guarded prognosis, financial concerns of the patient, or both.
By utilizing this technology, the lab fee is eliminated for the patient, and it doesn’t cost the practice any more to provide a quality indirect restoration vs. a compromised direct restoration.
Most practices that use this system reduce their lab bills and increase their profits. In our practice, for example, overhead has been reduced by 7 percent, even after the debt service of the machine. This percentage adds up handsomely.
As an example, consider a practice that produces $1,000,000 a year. It amortizes the 7 percent decrease in overhead for five years, and you see a tremendous increase — $350,000 — to the net of the owner!
You may think there is a tremendous cost or investment associated with integrating a CAD-CAM system, but if you look carefully at the numbers, the financial impact will likely surprise you.
As stated above, most offices actually see a decrease in their overhead because the cost to do this restoration is typically much less than the cost to send the restoration to a laboratory.
Most dentists are not known for their business acumen and get caught up on the price instead of the value of the system. While it’s true that the cost of a CEREC system can range from $70,000 to more than $103,000 depending on the configuration, there is no large upfront investment. In addition, your actual costs may be much less if you use Section 179 tax incentives.
For example, you are not required to make any down payment, and you even have the option to go three months before making the first payment. The monthly payment is roughly $2,000, again depending on the configuration you purchase. This payment is typically less than what the office pays in monthly lab fees.
The more units you fabricate, the less your per-unit cost. And once your monthly obligation is satisfied, you have the liberty to offer an ideal restoration — even if the tooth’s health or patient’s financial health would not traditionally allow it.
By the numbers
If an office is paying a lab $175 per restoration, the dentist only needs to do about 12 restorations per month to offset the lab costs. If he or she creates more than 12 units per month, the practice profit increases significantly because the equivalent $175 lab fee is saved on every unit. Moreover, as stated earlier, since there is no down payment on the machine, doctors simply make the monthly payment and once the machine is paid off, the financial benefits are even greater with significant savings realized on every restoration.
A typical practice that sends 20 units per month to the lab at $175 per unit is spending approximately $3,500 or more per month. This does not include the cost of setting up a dental chair a second time in order to seat the restoration.
Dr. Gordon Christensen estimates that it costs approximately $65 each time that you set up a chair to see a patient. This is without any treatment actually performed — it’s the simple cost of putting a patient in your chair.
In contrast, if the office can use CAD-CAM for those 20 units, the payment on a CEREC is roughly $2,000 per month, and you only set up the chair once for each patient.
This results in a savings of almost $2,000 a month. The blocks used to mill the restorations cost money, but you no longer have a cost to take a PVS impression or a cost for the provisional material — which, the last time I checked, was not free.
Multiplying the advantages
Improved patient care, increased convenience, and increased profitability are all reasons to integrate this technology. The benefits in our practice with regard to patient satisfaction and the financial return have been tremendous.
With all of the technologies available for the dental practice, by far the most enjoyable for me has been the CEREC machine. It has paid for itself many times over and has more than delivered on the promise of helping doctors deliver ideal patient care in a short amount of time.
If you haven’t explored CEREC in your practice, I encourage you to do so. As dentists, we educate our patients so they can make informed decisions … so shouldn’t we also educate ourselves? Only then can we make informed decisions about a technology that offers such significant opportunities for doctor and patient.
Dr. Sameer Puri, Director, Technology-CAD/CAM Dentistry, Scottsdale Center for Dentistry™, is co-founder of www.cerecdoctors.com. He is a certified trainer and educator on CEREC® proficiency. A graduate of the University of Southern California School of Dentistry, he finished his AEGD residency at the University of Tennessee. Dr. Puri owns a successful private practice emphasizing esthetic and reconstructive dentistry, has been published in numerous professional journals, and also serves as a consultant to various dental product manufacturers. He may be reached at [email protected].






