Endodontic insight into safety, efficiency, and cost savings
Barry L. Musikant, DMD, FACD
A good insight into endodontics is the understanding that the shapes an endodontic instrument imparts to the canal need not be conical in cross-section. While we need continuous tapers for effective irrigation and obturation, there is nothing in that need that requires the same taper in both planes with conical instrumentation being the unalterable result. Conical instrumentation is convenient, producing a shape that can be matched by a similarly tapered gutta-percha cone, but for most pulpal anatomy, it defines an inaccurate partial enlargement of a pulpal space that was initially most likely highly oval and isthmus-like. The result is often excessive removal of dentin in the mesio-distal plane where the pulp is thin, and inadequate removal of the pulp tissue in the much wider bucco-lingual plane.
K-files limited to short arcs of horizontal motion combined with the occasional pull stroke can retain the original shape of canals, but tend to impact debris apically, resulting in a loss of length and subsequent canal distortions when an attempt is made to regain that length. They are also associated with hand fatigue. Their use has been reduced with the advent of greater tapered rotary instrumentation, an innovation that has led to the excessive removal of mesio-distal dentin and poor cleansing in the bucco-lingual plane. K-files proved problematic in their use, leading to the introduction of greater tapered NiTi instrumentation that minimized their employment. Greater tapered rotary NiTi instrumentation, in turn, led to excessive removal of dentin, the production of dentinal microcracks, and the documentation of roots increasingly vulnerable to vertical fracture.
The pathway out of this dilemma is the utilization of modified reamers (see photo comparison, figure 1), 02 tapered stainless steel instruments with a flat incorporated along their entire working length (SafeSiders, Essential Dental Systems [EDS]) where for the vast majority of cases the only instrument used manually is the thinnest one most easily negotiating to the apex. Once full length is achieved, as defined by the apex locator, the handle is attached to a 30-degree, reciprocating handpiece oscillating at 3,000 to 4,000 cycles per minute. Short arcs of motion virtually eliminate instrument breakage and the production of microcracks associated with greater tapered rotary instrumentation.
As these instruments are not prone to separation, dentists gain confidence to work the canals laterally against the broader buccal and lingual extensions of oval canals, producing shapes that are reflective of the original anatomy in larger form. For the same reason, the dentist is now confident in using the instruments more than once prior to replacement, dramatically reducing their endodontic costs.
Figure 1
This system works efficiently because each instrument widens the canals in both planes beyond its own dimensions. For example, the canals in a tooth may be so narrow that it takes the thinnest, 06 tipped, 02 tapered instrument several minutes to negotiate the full length of the canal. However, once reached and then attached to the reciprocating handpiece, the 06 tipped, 02 tapered stainless steel reamers will then enlarge the canal beyond its own dimensions, allowing the subsequent 08 tipped, 02 tapered, stainless steel reamer to rapidly reach the apex that is then used in the same manner to allow the 10 tipped, 02 tapered, stainless steel reamer to quickly reach the apex. In this way, the SafeSiders give the dentist the means to achieve a glide path to 20 rapidly and safely. After the 20 relieved reamer is taken to the apex using the 30-degree, reciprocating handpiece oscillating at 3,000 to 4,000 cycles per minute, the glide path is well defined and distortion-free.
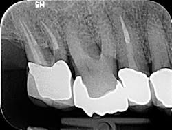
Figure 2
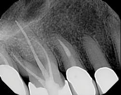
Figure 3
I then employ two instruments, the 30/02 Shaper and the 30/04 Finisher (Tango-Endo, EDS) that are also used in a 30- to 45-degree, reciprocating handpiece, but designed with a more efficient flute design to remove tissue and shave dentin away in the longer bucco-lingual isthmuses that may be present. These instruments are also highly resistant to separation, but for caution I suggest limiting their use to three teeth. Generally, there is little need to instrument the canals with larger instruments. If, in fact, the canal is wider than the instrument mesio-distally, in the same way the instruments can broaden the preparation bucco-lingually, they will also accomplish this task in the mesio-distal plane. Once shaped to these dimensions, the canal is properly sealed, flooding the canal with epoxy resin cement via a bidirectional, spiral applicator and the placement of a single Tango-Endo gutta-percha point. See figures 2 and 3 for before-and-after radiographs.
Barry L. Musikant, DMD, FACD, a 1969 graduate from the University of Pennsylvania, is a partner in the largest endodontic practice in Manhattan. His 35-plus years of practice experience have made him one of the top authorities in endodontics. Dr. Musikant is a fellow of the American College of Dentistry and International College of Dentists. An international lecturer and author of numerous articles, he is also the president, codirector of dental research, and cofounder of Essential Dental Systems (EDS), a dental products manufacturing company located in South Hackensack, New Jersey. Dr. Musikant is a member of the ADA, American Association of Endodontists, Academy of General Dentistry, the Dental Society of NY, First District Dental Society, Academy of Oral Medicine, Alpha Omega Dental Fraternity, and the American Society of Dental Aesthetics.



