Making decisions on clinical topics
Q:
Recently, I had a clinical question that was bothering me. It concerned the best way to cement zirconia crowns. I went to the Internet and found an apparently legitimate site that had a brief video on that subject. For the next few crowns I cemented, I used the exact technique that the video had suggested. Only a few weeks have passed, and some of the crowns have come off the tooth preparations. I can't even remember the site that had suggested the technique. Where are the best places to find information about the most proven clinical techniques and materials?
A:
The Internet can be a valuable location of information if you know and trust the source of the information that you find on a specific site. Since free information on any subject is almost immediately available on the Internet, there is a great temptation to use only that source for clinical information.
First, I will answer your question about zirconia crown cementation and then provide some locations where trusted information can be found.
MORE FROM DR. CHRISTENSEN | Why do I need cone beam?
Our science team at Clinicians Report Foundation has been faced numerous times with the same question you asked, and they completed an intense study on so-called "self-adhesive" and "adhesive" resin cements. Currently, there are more than 20 brands on the market. After significant testing, it was found that only about one-third of the brands actually had a measurable bond after thermocycling.
At the same time, data was being collected in the TRAC division of Clinicians Report Foundation on retention of zirconia-based fixed prostheses that had been in the mouth for about 11 years. All of these prostheses had been cemented with resin-modified glass ionomer (RMGI), and only 3.47% of the three-unit prostheses had debonded over the 11 years. In a subsequent, shorter study using resin cement with full-zirconia restorations, nearly double the percentage of zirconia crowns had debonded.
Use information from proven, trusted research groups
The answer to your clinical question about debonding zirconia crowns follows:
• Make an adequate tooth preparation-at least 4 mm from the apical preparation margin to the occlusal table, with only up to 20 degrees of lack of parallelism (figures 1 and 2). Check with your lab to ensure you are using a zirconia that has been proven to be successful, such as 3M ESPE, Argen, Glidewell, Ivoclar, and others.
• After trying the restorations in the mouth, sandblast the restoration internal with aluminum oxide powder at about 30 psi to remove oral debris.
• Seat the zirconia restorations with RMGI cement, such as 3M ESPE RelyX Luting Plus or GC FujiCEM 2 (figure 3).
• As stated previously, RMGI cement has been proven to be an acceptable cement for zirconia restorations (figures 4 and 5).
• If you are using resin cement for zirconia restorations, use a zirconia primer on the zirconia, such as Bisco Z-PRIME Plus.
In other words, use only proven products that have both basic science and clinical research on them as provided by trusted, nonbiased research groups.
Figure 1: Full-zirconia crowns ready for cementation
Figure 2: The internal surfaces of the crowns, showing the retentive nature of the tooth preparation
Figure 3: An example of resin-modified glass ionomer cement, recommended by long-term research for cementation of zirconia crowns
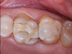
Figure 4: Preoperative view of two maxillary molars
Figure 5: Full-zirconia crowns on two molars cemented with RMGI cement
Attend professional meetings
Some dentists attempt to obtain all of their continuing education (CE) from the Internet. We have just discussed the potential fallacy of this source. Professional dental meeting planners go to great lengths to obtain speakers who have proven credentials and who are known to provide valid CE information.
Additionally-and of high importance-at such meetings you have the opportunity to discuss clinical challenges, techniques, products, and concepts with peers, manufacturers, distributors, and researchers. You cannot get this type of knowledge in a room in your house watching an unknown speaker on the Internet, often paid by a manufacturer to promote a product!
MORE FROM DR. CHRISTENSEN |The best way to connect a crown to an implant
Attend hands-on courses
There are useful courses, and there are courses that provide only the occasional practical piece of information. Check with colleagues to determine which courses provide information that is clinically practical, research based, and useful for typical practitioners. Many courses provide information that is only interesting but not significantly clinically applicable. You can come out of a course with volumes of notes or only a headache and the frustration of a wasted day.
Select courses that are provided by organizations that offer instructors who actually accomplish what they are teaching. Unfortunately, there are no organizations that critique courses relative to their pragmatic information. Word-of-mouth talking with peers is still one of the best ways to determine if a course is valuable.
View video presentations by known, proven instructors
I am frustrated to see videos on the Internet or elsewhere that are obviously made by someone who should not be making them. Is the information in the video valid and proven? Is the person presenting the video a trusted clinician? Is the information practical and applicable to daily practice? Is the quality of the production high enough to show the subject well?
Professionally made videos, properly prepared before production, made with professional-level cameras and experienced video teams, and edited numerous times to ensure that they are accurate are one of the most adequate of all educational methods.
You can stop the video and think, start again when the concept is clear in your mind, repeat whatever was not clear, and use the videos as references whenever necessary. Our constantly changing and updated Practical Clinical Courses video library includes every area of dentistry, and has provided such video education to the global marketplace for nearly 40 years. Seek out such organizations that provide proven information for you to use in any location and at any time you prefer.
Use published resources from recognized organizations
As an editor, section editor, and editorial consultant for numerous journals over several decades, I candidly say that you must be extremely selective about what you believe in the dental literature. Any knowledgeable, experienced practitioner knows that often so-called evidence-based information is diametrically opposed to the clinical observations of practitioners. On the other hand, the literature provides some valuable information that should be observed by practitioners. I suggest that you become involved with at least the following sources of information:
• Cochrane
• EMBASE
• Google Scholar
• MEDLINE
• PubMed
One of the persons often cited for his support and leadership in evidence-based medicine, David L. Sackett, MD, noted (paraphrased) that a good "doctor" will first look at the published literature on a clinical question, but will not make a decision on that question until clinical observation has confirmed it.
Thousands of published articles are available to you by going to these sources listed above.
Dental study clubs
Study clubs have been a major source of information, research, clinical activity, and fellowship since the beginning of the dental profession. Undoubtedly, you have some study clubs in your area. Seek them out and join those that interest you.
Our CE organization, Practical Clinical Courses, has the Gordon J. Christensen International Study Club that includes answers to the question of the week 52 times per year on pccdental.com, plus courses, videos, and personal answers to your questions.
Additional educational resources
Many popular two-day hands-on courses at the Clinicians Report home base in Provo, Utah (examples):
• "Faster, Easier, Higher Quality Dentistry," Dr. Gordon Christensen
• "Restorative Dentistry 1," (operative, esthetic, and preventive dentistry), Dr. Gordon Christensen
• "Restorative Dentistry 2," (fixed prosthodontics), Dr. Gordon Christensen
Many one-hour videos (new examples):
• Simple Implant Placement-Guide or No Guide, (Item V2373), Dr. Gordon Christensen
• Drugs, Bugs, and Dental Products: What to "Prescribe"! (Item 3968), Dr. Peter Jacobsen
Twenty-three highly popular, short patient-education videos on almost every area of dentistry, either separate or as a series, providing patient information and informed consent, and administered by staff (Items DP50 and DP50i).
Call PCC at (800) 223-6569 or order at pccdental.com.
Summary
Your question was an excellent one! Yes, the Internet has an unbelievable amount of information, but only some of it can be trusted. I have provided many sources of reliable information for you in this article. Dentistry changes every day, and we must seek out the sources of information that best fit our needs to serve our patients to an optimum level.
Gordon J. Christensen, DDS, MSD, PhD, is a practicing prosthodontist in Provo, Utah. He is the founder and director of Practical Clinical Courses, an international continuing-education organization initiated in 1981 for dental professionals. Dr. Christensen is a cofounder (with his wife, Dr. Rella Christensen) and CEO of Clinicians Report (formerly Clinical Research Associates).





