Pedonomics: Manage time and worry less about variable expenses
Of all your expenses, which one should be your greatest concern? Is it facility costs, staff salaries and benefits, equipment, lab costs, or continuing education? The correct answer is none of these.
Your most important expense is time. But, you say, "I don't pay for time in my practice." True. There is no expense item on your accounting report that lists "time." But when you spend more time than necessary to deliver care by operating inefficiently, you inadvertently lose income from that unproductive "spent" time. The cumulative lost income during that "spent" time could offset all of the other expense items mentioned.
ALSO BY DR. ROGER G. SANGER:Game changers in pedonomics: Think profit, not overhead
A common phrase applied to this phenomenon is that many dentists "trip over dollars on their way to pick up a penny." Translation: Many dentists devote more attention to trying to save money on an expense item than they do to finding ways to increase production in a shorter amount of time. If you do not know how much it costs to operate your practice by time increments (half hour, hour, etc.), you should. The theory subscribed to by many dentists is that cutting expenses is the best way to increase profitability, and it's simply false. Increasing your production in less time-and yes, you will increase your variable expenses since the more you produce, the more your variable expenses will increase-while maintaining fixed expenses is the best way to increase your profitability.
Let's look at some examples. Many dentists, when treating children with advanced caries in the anterior primary dentition, still use celluloid crown formers filled with flowable light-cured composite material after caries removal to restore these teeth (usually four maxillary incisors). This takes considerable time, and the result is often less than ideal owing to positioning, hemorrhage control, color esthetics, and more.
When asked why they don't use the new zirconia crowns that take less time with better results, they often answer, "I don't want to spend the extra money on these new crowns. It will raise my overhead." They not only ignore the costs of the celluloid crown formers and composite material, they ignore the addition of the excessive time required by this technique over a better, faster, and easier technique. A skilled dentist can substantially reduce operator time by using premanufactured zirconia crowns, and the outcome is far superior.
Likewise, many dentists treat children with multisurface caries on posterior primary dentition with labor- and time-intensive multisurface restorative therapy. Often either a metal or nonmetal crown could have been placed in far less time and with much greater longevity.
I know of dentists whose pediatric patients have presented with the need for sealants, but the office has rescheduled these procedures because it is inefficient for a single operator to perform at that time. But if the office has a modern isolation system, a properly trained single operator can easily and efficiently perform the sealants at the same visit as the examination.
I have written in Dental Economics about "Pedonomics," or the financial impact of treating children in your practice. If you've read any of the articles, you know that birth rate statistics show that by 2020, which is less than four years from now, the largest portion of our population will be children and teenagers and that caries has reached epidemic proportions in this population segment.1
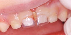
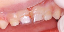
Primary incisor with gross caries prepared for cosmetic resin composite crowns using filled celluloid crown. Procedure requires numerous steps.
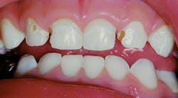
Primary incisors with gross caries pre-op and post-op cemented with prefabricated zirconia crowns. Procedure requires fewer steps.
You also know that many children on either private or government dental benefit plans are often on network preferred provider plans that pay less than 100% of what is usual, customary, and reasonable (UCR).2 The upshot of all this is that pediatric dentistry must be "better, faster, and easier" to deliver high-quality care in less operator chair time, thus enhancing profitability in an increasingly complex PPO market. The new game changers in pediatric dentistry that I've written about in DE articles will definitely allow dentists to perform pediatric procedures better, faster, and easier.
In the examples above, there are two reasons why the dentists treated the children the way they did. First, they lacked the skills and materials to treat them efficiently. Second, they wanted to reduce their expenses by using less expensive dental materials, even though these "savings" were outweighed by the longer time required to do the treatment.
Practice management consultants will tell you that traditional dental practices have variable expense ratios for dental supplies and materials at 5% to 7% of practice revenue, exclusive of laboratory-related expenses. For pediatric procedures, however, the variable expense ratio is generally below these levels. So why waste precious time trying to reduce variable expenses that are already low, particularly when that time could be used to increase production? Even at these low variable expense levels, if you could reduce your variable expenses by 20%, you might shave only a percentage point off your variable expense ratio. So why concentrate on this shaving when you should concentrate on gaining back the time you spent being inefficient?
Having mentored many general dentists and pediatric dentists about treating children, I've found that two main factors lead dentists to "waste" time. First, they never establish an average time target for many of the routine pediatric dental procedures that they perform in their office. Second, even if they have established this target, they don't use it when scheduling patients for these procedures.
Even practices that have computer-generated scheduling technology still schedule most dental care procedures in either 30- or 60-minute increments. I even hear, "Well, if we have any time left over, we can use it for breaks, catch-ups, emergencies, walk-ins," and so on. This ignores the fact that the resultant lost time in one day can often add up to 20%, or a loss of about 90 minutes per day per operator. If a hygienist's average production per hour is $100, wasting 90 minutes per day means lost production of over $36,000 per year. If a dentist's average production per hour is $300, the annual lost production is over $100,000.
Do I have your attention now?
Actually, the impact on the practice's bottom line is even more dramatic than it appears, since capturing this lost production does not increase fixed costs. Thus, it means a greater rate of profitability as well.
So if you have not done so yet, determine the average production per hour for you and your staff. Instead of tripping over trying to save on variable expenses, focus on how you can do better dentistry in less time and hence produce more income with greater profit. This means acquiring game-changing skills and materials that will allow you to increase the efficiency and proficiency of the pediatric dentistry you provide. Make sure you get the appointment control necessary to eliminate any unnecessary time scheduled for each procedure and instead inject more production into your day.
In bygone days, dentists considered success as having a practice where they could take off Wednesday to play golf. After all, don't all successful doctors take off Wednesday to play golf? In contrast, practice management consultants today say that many dentists work five days a week to make up for the 20% inefficiency in their schedules due to lack of clinical skills and ineffective appointment control.
Don't work harder. Work smarter. By taking advantage of efficiency-enhancing skills provided by game-changing pediatric dentistry techniques and materials, and by achieving optimal appointment control with these new procedures, that 20% inefficiency can be eliminated, and production and profitability can skyrocket.
References
1. Number of children. Child Trends Data Bank website. http://www.childtrends.org/?indicators=number-of-children. Accessed September 28, 2016. Updated December 2015.
2. Bonderud D. What does dental insurance cover? Angies List website. https://www.angieslist.com/articles/what-does-dental-insurance-cover.htm. Published July 18, 2013. Accessed September 28, 2016.
Roger G. Sanger, DDS, MS, a pediatric dentist, cofounded one of the largest private pediatric dental groups in California, where both pediatric and general dentists practice in multiple offices, two surgicenters, and a hospital practice. He is a director at the Institute for Pediatric Dentistry (theipd.com) and director of pediatric sedation dentistry at DOCS Education. The author of numerous clinical and management textbooks, chapters, and articles on pediatric dentistry, Dr. Sanger recently wrote The Entrepreneur's Children's Dental Practice.
About the Author
Roger G. Sanger, DDS, MS
Roger G. Sanger, DDS, MS, is a pediatric dentist and cofounder of one of the largest private pediatric dental groups in California, with both pediatric and general dentists practicing in multiple offices, two surgicenters, and a hospital practice. He is the course director for the Institute for Pediatric Dentistry and the director of Pediatric Sedation Dentistry for DOCS Education. He is also the author of The Entrepreneur’s Children’s Dental Practice.
Bio updated April 21, 2017



