Game changers in pedonomics: Think profit, not overhead
"Pedonomics" refers to the economic impact of the changing world of pediatric dentistry on your practice. Contributing to this impact are the following: (1) population statistics projecting that 0-18 year olds will outnumber baby boomers by 2020, (2) the dental caries epidemic, and (3) the incorporation of more dental benefits for children into insurance plans and governmental programs. Dentists serving baby boomers with improved skills in cosmetic and restorative technology have added profitability to their practice, even with the increased costs of these services. Why not do the same in pediatric dentistry?
Pediatric dentistry has lagged in high-tech transformation and in offering skill improvement education for dentists. But new "game changers" are coming to the marketplace. These have given dentists incredible advantages in adding profitability in this segment of their practice. Pediatric dentistry has a low variable-expense factor (no lab fees, less expensive supplies, etc.). Applying these game changers might increase variable expenses slightly, but these innovations can lead to greater profitability with better efficiency. Plus, they can offer an incredible marketing edge with parents.
The old adage "Don't trip over dollars on your way to picking up a penny" has never been more relevant. Here are seven prime examples.
1. More accurate diagnosis and treatment planning with CAMBRA technology
Case A: This six-year-old child with minimal caries has good preventive home care, parents with good dental health, and siblings with minimal caries history. Risk for advancement of present caries and recurrence for caries is low. Treatment planning might include sealant of enamel fissures, minimally invasive restorations on obvious caries, improvement in preventive care, and fluoride therapy.
Case B: This six-year-old child has more advanced caries, poor preventive home care, parents with poor dental health, and siblings with new caries and recurrence of caries history. The risk for advancement of present caries and recurrence of caries is high. Treatment planning might include full-crown restorations, improvement in preventive care, and fluoride therapy.
Caries management by risk assessment (CAMBRA) aids diagnosis and treatment planning by analysis of the dental health of child, parents, and siblings. After a comprehensive CAMBRA evaluation of a child, a dentist can establish the risk for new caries and the recurrence of caries. With a high level of predictability, the correct treatment plan can be performed so that minimally invasive care will not have to be replaced by more aggressive invasive care on a high-risk child in a short amount of time.
Nothing can damage a practice's reputation more for a parent and insurance carrier than when a minimally invasive restoration must be replaced with a more aggressive one because caries risk was not considered. The American Academy of Pediatric Dentistry has issued the "Guidelines on Caries-risk Assessment and Management for Infants, Children, and Adolescents."1 Also, 3M ESPE has a comprehensive CAMBRA program to aid dentists in assessment, parent communications, and in developing appropriate treatment protocols.2
CDT code D0601: Caries risk assessment and documentation, with a finding of low risk using recognized assessment tools [new in 2014]
CDT code D0602: Caries risk assessment and documentation, with a finding of moderate risk using recognized assessment tools [new in 2014]
CDT code D0603: Caries risk assessment and documentation, with a finding of high risk using recognized assessment [new in 2014]
2. Isolite Systems dental isolation- Better child management and single-operator usage
Case A: The child doesn't want something covering her mouth, so she fears the rubber dam. With Isolite, a "cool-looking mouth slurpy" system can be introduced that replaces the traditional rubber dam.
Case B: A mother brings her child in for recall and prophy/fluoride, but also wants the new permanent molars sealed. If combined isolation, retraction, and evacuation can be used with one auxiliary, all four sealants can be accomplished at that appointment.
Isolite Systems (www.isolitesystems.com) can bring high-tech illumination, soft-tissue retraction, evacuation, airway protection, asepsis, and time savings to your practice (figure 1). Plus, its "wow factor" provides a great marketing edge.
Figure 1: Child with Isolite isolation system in mouth
Photo courtesy of Isolite Systems
3. Buffering of local anesthetics-More comfort with faster onset
Case A: The doctor administers nonbuffered local anesthesia as carefully as possible, but with some "stinging," and then leaves the child while the usual 10-minute onset occurs. The doctor has to go see other patients so as not to lose productive time.
Case B: The doctor administers buffered local anesthesia with greater comfort and faster onset, which allows him or her to stay with the child, developing a better rapport and making for a quicker procedural start.
Figure 2: The three Onpharma products: Mixing Pen, Cartridge Connector, and Onset Sodium Bicarbonate Injectable 8.4% USP Additive Solution
Photo courtesy of Orapharma Inc.
The addition of an 8.4% solution of sodium bicarbonate to the syringe of local anesthesia will alkalinize the acidic local anesthesia solution (about 3.4 pH) to that of bodily tissue (about 7.4 pH). This decreases the pain of the injection and hastens the onset of the anesthesia. The doctor eliminates the waiting game and begins care within a few minutes. Plus, children better tolerate these "dreaded" injections. Onpharma has invented a mixing pen system that can easily buffer local anesthetics immediately at chairside (figure 2; www.onpharma.com).
CDT Code D9215: Local anesthesia in conjunction with operative or surgical procedure [Although they may not use this code all the time, some dentists use it when local anesthetic drugs are buffered.]
4. MTA-Better and quicker pulpal therapy
A 7-year-old child has numerous large caries with asymptomatic pulpal involvement on some second primary molars. Prior to the placement of crowns, pulpal therapy (therapeutic vital pulpotomy) should be accomplished. The coronal pulp is amputated, sterilization performed, homeostasis achieved, ridicular pulp tissue surface treated, and pulpal chamber sealed prior to crown therapy.
Therapeutic vital pulpotomies have been performed with formocresol, ferric sulfate, hypochlorite, calcium hydroxide, glutaraldehyde, laser, and electrosurgery. The addition of mineral trioxide aggregate (MTA) to this list has not only added greater success to the procedure outcome ,but is timesaving as well. MTA is available commercially as both ProRoot MTA (Dentsply; www.tulsadentalspecialties.com) and also as NeoMTA Plus (Avalon BioMed; www.avalonbiomed.com) (figures 3a and 3b).
CDT code D3220: Vital pulpotomy-primary tooth
Figure 3a: MTA ProRoot
Photo courtesy of Dentsply Tulsa Dental Specialties
Figure 3b: NeoMTA Plus
Photo courtesy of Avalon BioMed
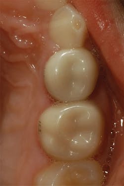
5. Zirconia crowns and bioactive cements for nonmetal primary crowns in less time
A child has extensive anterior and posterior caries and parents want nonmetal cosmetic restorative care. Before, time-consuming resin-filled strip crowns for anterior teeth and large multisurface resin restoration for posterior teeth resulted in nonmetal esthetics, but with poor color stability, wear resistance, durability, and retention.
Crowns for primary teeth have used preformed metal (e.g., aluminum, stainless steel), preformed resin (e.g., polycarbonate), resin-filled strip crowns, and now preformed ceramic (zirconia). The latter offers nonmetal construction (some parents believe that metal is "toxic") with advantages of durability, color stability, and ease of placement. When preformed pediatric zirconia crowns are cemented with the new bioactive cements, retention is greatly enhanced by hydroxyapatite formation and ionic release (figures 4-7; www.nusmilecrowns.com).
CDT code D2929: Ceramic primary crown [new in 2013]
Figure 4: NuSmile ZR zirconia crown and BioCem universal bioactive cement
Photo courtesy of NuSmile
6. Immediate chairside space maintainers- One visit and no lab fees
A 5-year-old child has a first primary molar that is abscessed with first permanent molar unerupted. The child needs an extraction and space maintainer placed to hold the space of the extracted tooth. Performing the extraction and then placing a space maintainer can be accomplished in the same appointment and at chairside with an immediate space maintainer.
Immediate spacer maintainer kits are available for selection of a molar band with attached tube and a connector wire placed into the tube to extend to the opposite tooth, spanning the extracted tooth (www.denovodental.com, www.smlglogal.com). These eliminate the need for lab-processed appliances, lab fees, and a secondary appointment for cementation. SML is developing a kit that will allow for a maxillary or mandibular bilateral space maintainer. Also, a nonmetal, unilateral space maintainer using bonded-glass-fiber reinforced composite resin materials such as Everstick (www.gcamerica.com) and Ribbond (www.ribbond.com) can be used for immediate chairside fabrication.
CDT code D1510: Space maintainer, fixed unilateral CDT code
D1501: Space maintainer, fixed unilateral (distal shoe)
Please note that with the revised 2015 CDT codes for cementation of space maintainers, these codes now include bonded space maintainers as well as cemented space maintainers.
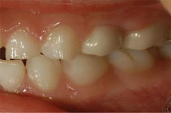
Figure 5: Preop of caries on primary molars
Photo courtesy of NuSmile
Figure 6: Postop (buccal) restored with NuSmile ZR Zirconia Crowns
Photo courtesy of NuSmile
7. In-office oral conscious sedation-Converting difficult and/or multiple appointments into one "no memory" appointment
A 6-year-old child has large caries in all eight primary molars and needs therapeutic vital pulpotomies and crowns. The permanent first molars need sealants. The child had difficulty tolerating the radiographs and prophy. The patient needs four appointments, and the parents prefer after-school slots. You know that after the first appointment at 4:00PM, the others won't get any better. The doctor suggests one early-morning appointment with oral sedation, thus saving the parents lost time at work, travel time, and emotional stress on their child (not to mention the dentist and staff).
Figure 7: Postop (occlusal) restored with NuSmile ZR Zirconia Crowns
Photo courtesy of NuSmile
Minimal conscious sedation with orally administered sedative and amnesic (no memory) drug midazolam (Versed) supplemented with nitrous oxide analgesia can not only make for a more pleasant pediatric visit for both child and doctor, but the child will have no memory of the experience for invasive dental care (making the child a much better patient as an adult). If medical disciplines (ENT, GI, plastic surgery, dermatology, radiology, etc.) use oral sedation routinely, why can't dentists? Again, a tremendous marketing edge. See DOCS Education (www.docseducation.com) for regulatory compliance and educational courses.
CDT code D9248: Non-intravenous conscious sedation (use of in-office oral drug)
CDT code D9230: Inhalation of nitrous oxide
CDT code D9920: Behavior management, by report (use of stabilization and immobilization)
Conclusion
These game changers can dramatically enhance the marketing and profitability in a practice that treats children. True, high-tech products will raise your variable expenses somewhat. However, pediatric dentistry that can be better, faster, and easier will also raise your profitability and greatly benefit you, your staff, the parent, and child.
Roger G. Sanger, DDS, MS, a pediatric dentist, cofounded one of the largest private pediatric dental groups in California. He is a principal in the Institute for the Clinical Practice of Pediatric Dentistry and director of Pediatric Sedation Dentistry for DOCS Education. The author of numerous clinical textbooks, chapters, and articles in pediatric dentistry, he most recently wrote The Entrepreneur's Children's Dental Practice.
About the Author
Roger G. Sanger, DDS, MS
Roger G. Sanger, DDS, MS, is a pediatric dentist and cofounder of one of the largest private pediatric dental groups in California, with both pediatric and general dentists practicing in multiple offices, two surgicenters, and a hospital practice. He is the course director for the Institute for Pediatric Dentistry and the director of Pediatric Sedation Dentistry for DOCS Education. He is also the author of The Entrepreneur’s Children’s Dental Practice.
Bio updated April 21, 2017








