OptraSculpt Pad interview with Howard Glazer, DDS
How did the idea for a sculpting instrument with foam tips originate?
My two partners, Dr. Dominic Viscomi and Brian Viscomi, and I were fooling around with foam to sculpt a direct resin veneer. We discovered that it would not stick to any composite and left no marks when moving the composite. Brian then went on to design a handle and a way to hold the foam on the handle.
How did you sculpt sticky composite resins in the past? What were the disadvantages?
In the past, all we had were metal instruments. Then, over time, other instruments evolved with tips of rubber, silicone, Teflon, or even gold. But none worked well. These types of instruments would leave indentations and a rough appearance to the composite surface. We also have had composite warmers and vibrating/oscillating instruments that all tried to make the composites more fluid to allow for better placement. Sometimes we would use a fine sable brush to move and shape the composite resins. But these brushes would leave striations on the composite surface, and we had to make them disposable since there was no effective way to sterilize them between patients.
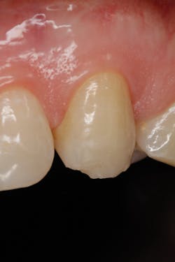
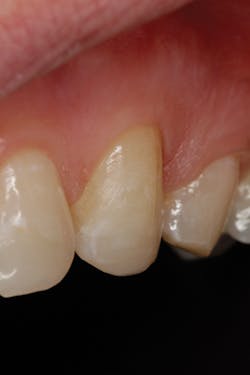
Clinical case: Dr. L. Enggist, Ivoclar Vivadent AG, Schaan, 2013
In what way has OptraSculpt Pad changed your work with composite resins?
OptraSculpt Pad has made it remarkably easy to work with any composite since it is an ideal modeling instrument for shaping and contouring composites. You can work faster and achieve a great esthetic result in less than half the time using any other instrument. A real bonus is how the OptraSculpt Pad leaves the surface in a state that requires little finishing and polishing.
What is so special about OptraSculpt Pad?
In addition to what I have mentioned, the fact that there are disposable tips in varying sizes makes it suitable for many types of restorations. The reference scales on the handle are quite valuable when doing direct anterior restorations.
What are the advantages of OptraSculpt Pad compared with other composite modeling instruments?
a) It moves composite easily, and leaves no marks.
b) You can place and spread the composite without any pull-back, stickiness (i.e., sticking to the instrument), or leaving any indentations.
c) Surface requires only minimal finishing and polishing. This saves time and money.
d) No other instrument to my knowledge has a reference scale that indicates the average size of the anterior teeth and their natural inclination toward the midline.
In your opinion, what kind of influence does OptraSculpt Pad have on the treatment procedure involving composite resin-filling materials?
There is no doubt that the profession is rapidly moving toward more direct composite restorations. This is, in part, due to the economy, and in great part, due to the esthetic nature of composite restorations. OptraSculpt Pad will be a genuine asset to the profession in composite placement.
What kind of advice would you give to colleagues for using OptraSculpt Pad?
Once you try the OptraSculpt Pad, you will never use a metal instrument on resin again for sculpting and contouring. This is a no-brainer when it comes to time savings and achieving a highly esthetic result.




