Finding no-prep veneer candidates
by Michael DiTolla, DDS, FAGD
I get many questions from dentists asking what patients make good no-prep veneer candidates. This month I want to share a case with you about such a patient. In fact, this person had seen magazine advertisements for this type of procedure. I would advise, though, to focus more on the concept of minimal-prep veneers rather than on no-prep veneers.
My definition of a minimal-prep case is any veneer case in which the preparation remains in enamel. I also like to call these minimally invasive veneers. Ideally, by removing the least amount of tooth structure - as indicated by the laboratory technician on a study model - we can achieve esthetic results while maximizing bond strength and minimizing postoperative sensitivity.
While no-prep veneers may be preferred by the patient, minimal-prep veneers are typically more esthetic since the laboratory technician has been instructed on where to reduce to achieve the best esthetic results. If a patient insists on no-prep veneers because he or she thinks they are reversible, I would point out that removing no-prep veneers may result in the removal of enamel, too. Furthermore, you would have to charge a large additional fee since removing no-prep veneers requires more time and effort than placing them.
Multiple diastema cases are easily the best no-prep veneer cases (Figs. 1 and 2). In fact, I would almost assert that lack of diastema is a contraindication to no-prep veneers. Without diastema, no-prep veneers lead to bulky embrasures faciolingually. As a result, the smile begins to resemble horse teeth. Unless the patient’s favorite athlete is Seabiscuit, this is probably a look he or she does not want to pursue.
If it is fear of preparation that is the motivation for no-prep veneers, I often use a coarse sandpaper disc to “recontour” a tooth rather than prepping it with a bur. I know this sounds like a technicality, but many patients accept the difference. This is important when the laboratory technician has asked for the reduction of some facial tooth structure.
Facial limiting factors are those portions of tooth structure that lie facial to an imaginary line denoting the ideal arch form for the patient. Often I will set an orthodontic arch wire onto the study model to help me see where these limiting factors are.
When I send a study model to my laboratory technician, this is what the technician does to instruct me as to where to prep on a minimal-prep case. In Figure 2, note that the only potential facial limiting factor is the facial surface of tooth No. 7 and the distal of tooth No. 8. In this instance, after my lab technician looked at the models and pictures, he cleared it for a no-prep case.
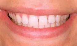
Of the four photos provided, my favorite ones are Figures 2 and 4. As I mentioned, Figure 2 is the one photo I need to determine whether or not a particular case is going to be no-prep or minimal prep. With this single occlusal picture and a study model, one can make many decisions about what type of veneer cases are possible for this patient. Figure 4 sums up several of the good aspects of well-done no-prep veneers.
To me, there is no doubt that these veneers are 0.3 mm in the spots where they need to be. For all of the talk about how bulky and ugly poor no-prep veneers can look, Figure 4 shows few bulky areas. I was concerned about the facial of tooth No. 7 and the distal of No. 8, but the technician handled these areas well. When I placed an orthodontic arch wire on the postoperative models of this case, the ideal arch form had been achieved.
Dr. Michael DiTolla is the Director of Clinical Research and Education at Glidewell Laboratories in Newport Beach, Calif. He lectures nationwide on both restorative and cosmetic dentistry. Dr. DiTolla has several free clinical programs available online or on DVD at www.glidewell-lab.com. For more information on this article or his seminars, please contact him at www.drditolla.com.




