Is bleaching teeth for everyone?
Dr. Gordon Christensen answers a reader's question about what is the state-of-the-art in tooth whitening/bleaching in dentistry now and how should dental professionals be involved in the process.
Q:
Everybody seems to want snow-white teeth. The many companies selling tooth-bleaching materials vary in their claims, some with extravagant, unbelievable bleaching examples. I am a new dentist, and I want to routinely offer this service for my patients, but I am confused by the numerous conflicting articles and ads. What is the state-of-the-art in tooth bleaching, and how should I offer it to my patients?
A:
Historical perspective
Clinicians Report Foundation (CR) has been researching tooth bleaching/whitening since the concept was introduced many years ago. Bleaching techniques have changed markedly over the years. Some relatively complicated in-office bleaching methods included applying a rubber dam, ligating the teeth, placing the bleaching solution/gel, and waiting a significant time in the office for the bleach to work. Various wavelengths of lights, including laser, have been promoted to be used while bleaching, both in and out of the office, claiming to accelerate or improve the bleaching procedure. Early at-home tray methods included leaving the trays in the mouth for long periods, up to overnight.
In recent years, the most popular procedure had been to use dentist-fabricated custom trays, have the patient place bleaching material in the trays at home, and use these trays in the mouth each day for various times for several days. This technique required dentist or staff clinical time and cost the patient a significant sum of money. Clinical results were usually very positive, changing the color of the teeth significantly. CR research showed an average of about two shades of tooth color lightening using the well-known Vita Classical Shade Guide. Some companies use other shade guides, claiming many shades of change, but the older Vita Classical Shade Guide is known to almost all dentists. Return of the bleached teeth to the original prebleaching tooth color was then observed over a period ranging up to a few years, at which time bleaching was repeated.
Bleaching methods continue to change, and current at-home use is greatly simplified, including generic trays with bleach in them used for a short time.
Which bleaching concept is most popular now?
Several years ago, Ultradent Products was among the first companies to make a product that changed the bleaching technique. The company introduced generic trays with bleach inside that required only informing the patient how to use them, and then letting the patient do the bleaching at home. After an evolutionary period, the Ultradent tray concept has been refined and modified. The resulting product, Ultradent Opalescence GO, is now among the most popular bleaching techniques. Preferably with the advice of a dentist, the patient uses one of the three concentrations of hydrogen peroxide in the tray (figure 1).
- An appropriate hydrogen peroxide concentration (6%, 10%, 15%) and flavor (melon, mint)of bleach is determined,preferably by consulting with a dental professional, but often determined by the patient. The higher the concentration, the greater the possibility of some postbleaching tooth sensitivity.
- The maxillary and mandibular trays are placed in the mouth.The body warmth somewhat softens the inner bleach-containing material of the tray, and the patient can gently suck or purse the lips to adapt the inner portion of the two-layer tray to the teeth.
- The green outer layer of the tray is removed. Excess saliva or bleach material can be expectorated.
- The patient then purses the lips and sucks again,and the inner tray material containing the bleach is closely adapted to the teeth.
- The bleaching time per session varies according to the bleach concentration (6% hydrogen peroxide, 60 to 90 minutes; 10% hydrogen peroxide, 30 to 60 minutes; and 15% hydrogen peroxide, 15 to 20 minutes).
- The patient removes the tray,expectorates the gel debris, and brushes the teeth.
- The patient continues this protocol for five to 10 days.
- Color returns into the teeth over a period of months,and touch-up bleaching is eventually necessary to maintain the desired tooth color.
The preceding procedure accomplished solely by the patient or supervised by a dental professional is a well-proven, simple, relatively inexpensive technique. It uses research information accumulated over several decades. When accomplished properly, the procedure is safe and effective.
When should a dental professional be involved with the bleaching procedure?
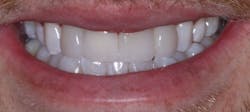
The following situation shows a challenge present when patients bleach without professional supervision. You may have placed several new resin-based composite restorations or a few new anterior crowns or veneers matching the patients’ tooth color. Patients become more conscious of the overall appearance of their smiles when these procedures are done. Because of this, they may go to the grocery store or browse the internet and find a bleaching product that interests them. They bleach and the natural teeth become lighter, but the resins or the crowns do not (figure 2)! Several months are required before the natural tooth structure darkens and again matches the new restorations.
When accomplishing a treatment plan for any direct restorations, crowns, or veneers in the smile zone, patients should be provided with informed consent about bleaching. The time to bleach is before the restorations are done, not after (figure 3).
How long to wait after bleaching before placing new restorations?
The research on this topic varies. The conclusion is that a significant period of time should be allowed for newly accomplished bleach to mature and to allow some of the color to return to bleached teeth before placing any new restorations. Although the suggested wait time varies, it is recommended dentists wait at least two weeks or more after bleaching has been terminated before placing new restorations. The longer you wait the better, because the teeth continue to gain more color as time goes on. At the time of new restoration placement, the plan is for the color of the restorations to match the color of the remaining natural teeth, but the color of the bleached teeth continues to change.
What should be done after the bleached teeth begin to appear darker than the new restorations? This phenomenon usually occurs several months to one year after the new restorations have been placed. The remedy is simple: Advise the patient to accomplish a touch-up bleach with the same or another bleaching product until the color of the teeth and restorations again match.
Informed consent for patients who are considering new crowns or direct restorations should include information that bleaching teeth is a concept similar to coloring hair. Both hair and teeth eventually return to their natural color, so touch-up applications of the color-modifying product are necessary on a routine basis. Some patients elect to avoid bleaching for this reason, while others accept rebleaching to be a small sacrifice for having whiter teeth and a more appealing smile.
Is in-office bleaching better than bleaching at home?
Some dentists prefer controlling the bleaching procedure themselves in their offices. In such situations, a dentist, hygienist, or assistant usually supervises bleaching. This procedure continues to be a viable and effective procedure, but it involves chair time, staff expense, and more cost for the patient than at-home bleaching.
Some dentists use a bleaching light when bleaching in-office. This concept has shown the potential to have slightly measurable positive effects, the most significant being that the patient feels that the light enhances the procedure.
The fact is, at-home bleaching at a low cost, using generic adaptable trays, has changed the entire bleaching concept and made it available to almost any patient who wants the procedure. With that statement comes a potentially negative concept, however. Most patients should consult with a dental professional relative to bleaching their teeth, but only some will heed that suggestion.
Is tooth bleaching harmful?
Innumerable studies have been done on this question. I can answer it with a simple statement. If bleaching is done in moderation as suggested in this article - preferably with the supervision of a dental professional - no negative effects have been shown. Of course, abuse of any concept can have potentially negative influences.
Summary
Bleaching vital teeth is the clearly identifiable, usually painless, least expensive introduction for patients into esthetically oriented oral procedures. When patients have had a successful bleaching procedure, they naturally begin to look at other aspects of their oral appearance and may soon become interested in adult orthodontics, veneers, crowns, composite resins, diastema closures, occlusal corrections, and other esthetic procedures. Bleaching should be offered to almost every patient at the initial diagnostic appointment. Some patients will accept it and others will not be interested, but at least you have made them aware of the concept.
Gordon J. Christensen, DDS, MSD, PhD, is a practicing prosthodontist in Provo, Utah. He is the founder and CEO of Practical Clinical Courses, an international continuing-education organization initiated in 1981 for dental professionals. Dr. Christensen is cofounder (with his wife, Dr. Rella Christensen) and CEO of Clinicians Report (formerly Clinical Research Associates).
About the Author

Gordon J. Christensen, DDS, PhD, MSD
Gordon J. Christensen, DDS, PhD, MSD, is founder and CEO of Practical Clinical Courses and cofounder of Clinicians Report. His wife, Rella Christensen, PhD, is the cofounder. PCC is an international dental continuing education organization founded in 1981. Dr. Christensen is a practicing prosthodontist in Provo, Utah.



