3 steps to enhance your practice through dental photography
Scott Cairns, DDS
There are many reasons to use photography in dentistry, but virtually all of them center on communication. Most people think they are above-average communicators, and many are wrong. This is because we use words. Every person who hears a word filters it through his or her experience and imagines a unique image. How often do the stories we tell about the mouth lead patients to different images than what we intended?
The late Henry Tanner, DDS, was known to tell his students at the Pankey Institute, "I know you believe you understand what you think I said, but I'm not sure you realize that what you heard is not what I meant." How often is this same scenario playing out with our patients? It may seem minor, but we are missing out on an opportunity. Three simple steps can help each of us to enhance our practices through dental photography.
Become a tour guide
Photography alone can't turn a dentist with below-average case acceptance into a superstar. However, it does take away the ambiguity of the dental problem for patients. The dentist still has to talk to the patient but can begin to act more like a tour guide. For example, if you take a guided tour at a national park, the tour guide points out many sites of interest and provides you with facts and stories about the park. You can appreciate the park alone, but the story is richer when told by a well-trained and knowledgeable guide. Consider for a moment if you just had an audio recording of a guided tour. Without the visual, you would quickly become bored and uninterested.
Frank Spear used to say, "First, they have to see the problem; second, they have to know what it means to have the problem; and third, they have to decide if the consequence of having the problem is big enough for them to act." Dr. Spear routinely uses photography as a tool to help his patients gain an understanding of their conditions.
People learn in different ways. 65% of people are primarily visual learners. The next largest group, 30% of the population, learns through sound. Finally, the remaining 5% of people can learn through doing and touching. It is also well documented that the more sensations a person can experience while being taught about themselves, the greater the education and interest of the learner. So it makes perfect sense to use photography to help our patients learn what we know, so that they can make the same decisions for themselves that we would make, based on our knowledge of their conditions.
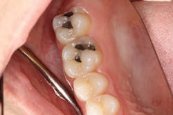
A comparison of a photo taken with an intraoral camera (left) and a photo taken with a DSLR camera (right) illustrates the difference that digital photography can make in presenting a clearer picture of the mouth for the patient.
Choose the right equipment
We should also consider what type of photography is being used in our practices. Most dentists use intraoral cameras. Although the intraoral camera is a wonderful tool, it has limitations. Think about most of the photos that are taken with the intraoral camera. The pictures are typically blurry, foggy, and obscured by cheeks, gums, and saliva. It is often hard to tell what the subject of the photograph is and where in the mouth you are looking. Why do we allow this to be the case?
Using enhanced digital photography makes a remarkable difference in our ability to tell a good story. A little research can help us determine which equipment options may best suit the needs of our practice. It might help to group these options into categories:
• Good-Smartphone accessories, which can enhance a smartphone's photography capabilities for dental images
• Better-Point-and-shoot digital camera with macro lens and diffuser
• Best-Digital single-lens reflex (DSLR) camera with macro lens and multiple flash options
From here, the pros and cons of each type of photography can be considered, including a comparison of specific models in each category.
Brush up on photography skills
One of the most important factors in selecting photography equipment for our practices should be the level of confidence we have in learning to use the equipment. Almost all of us can benefit from a basic hands-on course in dental photography. Our skill at photography is one of the many factors that patients will use to assess our quality as dentists. Patients judge everything from the condition of the carpet in the waiting room, to the paint on the wall, to the sharpness of the dental assistant's lab coat. Our photography will also be judged if it shows a lack of attention to detail.
If we fail our patients in what they can understand, we likely will fail in getting the patient to allow us to do anything more than the most basic of dental care. Patients will typically not understand what they are looking at when you show them a picture of No. 29, but they will know whether the image is clear, focused, and free of distractions. Otherwise, they will see a collage of pink and white and silver and bubbles and fog, and they'll think, "Why I am I being shown this disgusting picture?" If you want the images to make a big impact, and if you want to save yourself five to 10 minutes of conversation per picture, it's best to learn how to take good photographs and use them effectively.
When using photography to communicate with patients, we can use the images to facilitate the conversation and act as a guide. Emotions sell; no subject is as fascinating to a person as himself or herself. Effective dental photography allows us to give a tour to our patients in a way that is understandable and that piques their innate desire to learn and see more of themselves. The images will not only help improve case acceptance, but they will also enhance case documentation and internal marketing efforts.
Scott Cairns, DDS, is a graduate of the Creighton University School of Dentistry and has been practicing dentistry since 1999. He is an owner-dentist with multiple offices supported by Pacific Dental Services and a faculty member for the PDS Institute. Dr. Cairns is an author and speaker in the subject areas of dental photography and occlusion. He resides in Colorado with his wife and three daughters and can be reached at [email protected].


