Pediatric zirconia crowns: Changing pediatric restorative dentistry
According to a 2013 survey reported by the American Academy of Cosmetic Dentistry, the demand for all types of cosmetic services for adults has continued to rise annually.1 It is not hard to understand that as young and middle-aged parents begin receiving cosmetic dental services, their desire for enhanced esthetic restoration of their children's teeth increases as well.
Fortunately, dentists who treat children currently have a very esthetic, durable restoration that can be used in place of stainless steel crowns or other bonded restorative options. I am speaking of primary zirconia crowns.
Use of zirconia
Zirconia has a long history as a proven biocompatible material in the human body. It has been used as a prosthesis in hip replacements since the 1970s,2 and for crowns, endodontic posts, implant abutments, and other crown and bridge applications in adult patients for at least 15 years. However, zirconia has only been used for pediatric crowns since 2010, when the first primary zirconia crown came on the market.
When restoring badly broken-down primary incisors and molars, pediatric dentists have several options that have been in use much longer than zirconia crowns, including stainless steel, preveneered stainless steel, and bonded resin strip crowns.
Pediatric zirconia crowns, like stainless steel crowns, come premade in six or seven different sizes for each tooth and are supplied in kits. To place the crowns, the caries is removed and the tooth prepared with occlusal and circumferential reduction to a gingival featheredge. An appropriately sized crown is then tried onto the preparation. If the crown does not fit, either another size is tried or more tooth reduction is done until a crown is passively seated onto the preparation.
This article will attempt to shed some light on why and when zirconia crowns might be the preferred choice for restoring these teeth.
Advantages of zirconia
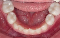
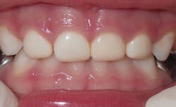
The most obvious advantage of zirconia crowns is their excellent esthetics, which is far superior to other pediatric crown options and rivals custom-fabricated crowns (see figures 1-3). In adult dentistry, zirconia crowns have been shown to be exceptionally durable. While zirconia crowns have not been used long enough in pediatric dentistry to build up an extensive history, I believe that time will show them to be the most durable of all esthetic pediatric crown options available. Moreover, zirconia crowns will not chip as the preveneered stainless steel crowns do on occasion, nor will they discolor and break down over time like resin strip crowns often do.
Potential disadvantages of zirconia
One potential disadvantage of zirconia crowns is the fact that exposing the zirconia to saliva and blood during the try-in stage can impair the strength of the bond between the crown and the cement. Phosphate groups found in the saliva will bond with the zirconia surfaces, thereby making the zirconia surface less reactive to bonding with phosphate groups found in the most effective cements indicated for use with zirconia. NuSmile ZR zirconia crowns offer an interesting solution to the contamination problem. A pink try-in crown is used to verify the fit first (figure 4). Upon selecting the correct size, cement is loaded into the size-matched, tooth-colored NuSmile ZR zirconia crown. The first time the NuSmile ZR crown enters the patient's mouth is during cementation, which ensures maximum bond strength of the luting cement to the zirconia. Meanwhile, the pink try-in crown can be cleaned, autoclaved, and reused.
Figure 1: Traditional stainless steel crowns on the first and second primary molars
Figure 2: NuSmile ZR zirconia crowns on the first and second primary molars
Zirconia crowns also might not be appropriate for cases involving severe crowding or space loss. The ability to manipulate the size, shape, and fit of the zirconia crown is very limited, so in areas of crowding, the use of a crown whose shape and size can be adjusted easily is recommended.
When to use zirconia crowns
You can use zirconia crowns in most cases for which other pediatric crowns can be used. The main exceptions are when the patient has significantly crowded teeth, or when there is very little sound tooth structure remaining. Also, as many insurance companies do not yet cover these crowns, the cost may be a deterrent to some parents.
In my practice, I use zirconia crowns for many of my anterior restorations. The advantages in esthetics and durability are simply too significant to ignore. Since posterior crowns are less visible, I usually allow the parents to decide if they prefer the esthetic zirconia or the lower-cost stainless steel crown option. While nearly all would certainly prefer zirconia, many feel they cannot afford or justify the price premium for posterior teeth, and I certainly respect their point of view.
Figure 3: NuSmile ZR zirconia crowns six months post-op on the four maxillary incisors
Figure 4: NuSmile ZR pink try-in crown used for trial fitting
The best cements for zirconia crowns
Based on my experience, I recommend cementing zirconia crowns with either resin-modified glass ionomer (RMGI) cements, resin cements, or bioactive RMGI cements (e.g., NuSmile BioCem, Doxa Ceramir). Laboratory tests have found the bond strength to zirconia of these cements to be superior to glass ionomer cements.
Summary
As recently as the early 1990s, children requiring crowns to restore chipped or severely carious teeth had no option other than stainless steel or resin-based composites. Often the esthetics or durability were somewhat disappointing to both the dentist and parents. Fortunately, today's dentists have several esthetically appealing options they can offer, with zirconia crowns at the head of the class. The esthetic superiority, coupled with unmatched durability, biocompatibility, and many other advantages, make zirconia crowns an excellent option for nearly all primary anterior crown restorations and for many posterior crown restorations as well.
References
1. American Academy of Cosmetic Dentistry. Cosmetic Dentistry: State of the Industry. Survey 2013:1-27.
2. Sandhu HS, Middleton RG. Controversial topics in orthopaedics: ceramic-on-ceramic. Ann R Coll Surg Engl. 2005;87(5):415-416.
William F. Waggoner, DDS, MS, is the owner of three pediatric dental practices in Las Vegas and former director of the Children's Dental Clinic at The Ohio State University. He is also a diplomate of the American Board of Pediatric Dentistry, a fellow of the AAPD, and a director of the Institute for the Clinical Practice of Pediatric Dentistry.




