No, it's not a composite resin: A closer look at a new restorative material
Ron Kaminer, DDS
Adhesive restorative dentistry uses state-of-the-art universal bonding systems with strong esthetic materials. The restorative material of choice for most is composite, which when done well performs very favorably over time in the oral cavity. Manufacturers continue to make improvements in esthetics, strength, and wear. A new class of restorative material has emerged-an all-ceramic-based material that closely mimics composite resin without the use of any classic monomers such as BisGMA or HEMA for improved biocompatibility.
For years, ORMOCERs (ORganically MOdified CERamics) have been used in a variety of industries such as electronics, optics, medical technology, and surface refinement and have been well researched for dental use since the late 1990s. VOCO's new Admira Fusion represents the first use of a nano-ORMOCER as a restorative material in dentistry. This material's silicon oxide-based nano-fillers and silicon oxide-based hybrid fillers (total weight of approximately 84%) create high surface hardness, high edge strength, and excellent wear resistance. The silicon oxide-based ORMOCER resin chemistry is reported to have up to 50% less shrinkage compared to composites. For larger restorations, Admira Fusion has a bulk-fill version (Admira Fusion x-tra) with a cure depth of 4 mm.
ALSO BY DR. RON KAMINER |The dreaded white spot
Figure 1
Figure 2
Figure 3
Figure 4
Figure 5
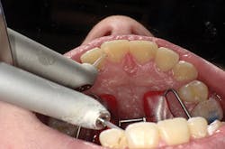
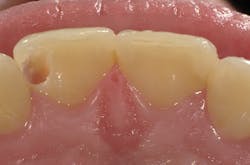
I'll demonstrate this material's versatility with a few cases. First is a large Class III cavity. The patient was extremely apprehensive, so we decided to prepare the cavity using the Lite Touch (AMD Lasers) erbium YAG laser. Very often, as in this case and the next few cases that we will depict, cavity preparation can be performed without anesthetic. In Figure 1, we see the preoperative image of the large Class III cavity on tooth No. 8. Using the Lite Touch laser (figure 2), we were able to excavate the entire cavity in a clean and efficient manner (figure 3). Using a fine diamond, a slight bevel was completed on the enamel at the cavo surface margin. By beveling the enamel, we improve the bond of the adhesive and allow for a seamless blend of the restorative material to the outer tooth structure. In deep restorations such as this, a calcium liner can help minimize sensitivity and act as a buffer between the restoration and pulp. Both Calcimol LC (Voco) and Theracal (Bisco) can be used in this manner. In this case, we decided to use Theracal. Theracal was placed in the deepest area and light-cured for 15 seconds (figure 4). After a 37% phosphoric acid etch of the enamel margin, we applied Futurabond U (Voco) as per the manufacturer's instructions and light-cured for 10 seconds. Admira Fusion shade A2 was placed in three increments and polished. The final restoration exhibits a beautiful luster and a seamless blend from the restoration to the natural tooth (figure 5).
ADDITIONAL READING |Life is looking up! Dental office provides free orthodontics, restorative dentistry to military veteran
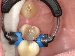
In Case Two, we'll replace an old composite inlay (figure 6). As in the first case, the LiteTouch erbium YAG laser was used to remove the inlay without anesthetic. As the decay had spread subgingivally on the interproximal surface, a small gingivectomy was needed to access the final gingival margin. After placing some topical anesthetic on the soft tissue and using a low energy setting, the Lite Touch laser was used to remove the excess interproximal soft tissue (figure 7). A sectional matrix band and newly designed Fusion Wedge (Garrison) was placed, and the band lightly burnished against the adjacent tooth (figure 8). A self-etch adhesive technique using Futurabond U was used. After curing the adhesive, a bulk-fill flowable (x-tra base, Voco) was used in the floor of the box. Using a flowable bulk fill in this fashion virtually assures you of a tight gingival seal at the bottom of the proximal box. Next, Admira Fusion Opaque shade OA3 was used to mimic the dentin (figure 9), followed by placement of the final enamel layer of material. The finished restoration exhibits a high polish with a close-up intraoral appearance that mimics a ceramic inlay (figure 10).
Figure 6
Figure 7
Figure 8
Figure 9
Figure 10
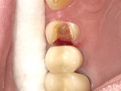
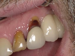
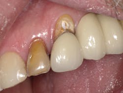
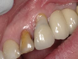
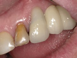
Case Three is a challenging crown repair on a medically compromised patient. The preoperative image shows decay at the buccal margin of an anterior abutment to a bridge (figure 11). Following excavation with the Lite Touch laser (figure 12), we decided to use Futurabond U in a self-etch technique followed by layering Admira Fusion in two increments. The first increment was an opaque layer, using shade OA2 to attempt to block out the gray margin of the porcelain-fused-to-metal crown (figure 13). After light-curing that layer, we applied shade A1 and light-cured and polished the restoration, achieving a highly esthetic result given the difficulty of the situation (figure 14).
Figure 11
Figure 12
Figure 13
Figure 14
As practitioners, we have a multitude of options when it comes to restorative materials. For most, ideally it is about choosing a system that is versatile, simple to use, and allows the doctor to create an esthetic and long-lasting restoration.
Ron Kaminer, DDS, is a true advocate for minimally invasive dentistry. A 1990 graduate of the State University of New York at Buffalo, he maintains practices in Hewlett and Oceanside, New York. He teaches dentists around the world about new materials and technology. He is a recognized expert in the field of dental lasers and consults for manufacturers on new products and materials. Dr. Kaminer lives in Hewlett, New York, with his wife and three children.














