The TRUE cost of not doing implant dentistry
by Tarun Agarwal, DDS, PA
Let's face facts: Roughly 10% of general dentists in the United States place dental implants. That means the majority of general dentists are referring out their implant patients to dental specialists. Have you ever thought about the TRUE cost of NOT placing implants?
My goal in this article is not to tell you that you MUST place implants. For heaven's sake, don't place implants if you don't have the desire or skills to do so. But my goal is to PROVOKE you to think about gaining the skills, education, and technology to add implants to your practice. Quite simply, not placing dental implants is costing your practice bottom line thousands and likely hundreds of thousands of dollars.
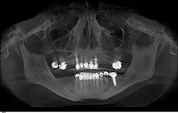
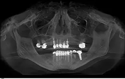
Let's take a closer look at the patient here to illustrate my point.
For most of us, this is a typical patient who walks into our offices. A clinical exam reveals recurrent decay around several existing crowns, mobility of the upper and lower anterior teeth, and generalized bone loss. In this case, my patient and I agree that saving the remaining teeth, which is certainly possible, would require extensive dentistry and would have a guarded prognosis. She has accepted the fact that she will lose all of her teeth. However, after talking with other people, she is adamant that she must have implants on the lower arch for improved retention.
So, our final treatment plan looks like this:
- Extract teeth Nos. 1, 2, 6, 7, 8, 9, 10, 15, 20, 21, 22, 23, 24, 25, 26, 27, 28 (17 teeth) and alveoplasty
- Immediate healing denture upper and lower
- Implant placement site Nos. 22 and 27
- Final upper esthetic denture
- Final lower overdenture with locator abutments
As a total patient solution facility, our office is able to provide a complete treatment fee to the patient and provide all services within our office. This is not only convenient for the patient, but also gives us flexibility in the fees and financial options for the patient. These benefits lead to increased treatment acceptance and office productivity.
Now, let's turn the scenario. How does this case work for the nonimplant GP office? Since you don't provide all the treatment, you must break down the treatment into a surgical phase (done at a specialist's office, usually an oral surgeon) and the restorative phase (done by the referring GP dentist). To get a full treatment plan, the patient must visit the specialist's office, the restorative office, and add the two plans together. This almost always means a higher overall treatment fee. It also creates another barrier in the decision process. The patient may choose to look for a provider who can do all the treatment. While these barriers can be overcome by patient communication and relationship, what can't be overcome is the production hit to the office. Your inability to place two lower implants doesn't lose just the implant production, but also the production of 17 extractions and alveoplasties. In fact, the extractions are likely more production than the implant placements. This doesn't even include the control and predictability that is often lost anytime a case is referred out for any phase of treatment.
It's not just the direct loss of production from referral, but also the indirect production and case acceptance that suffers. While I don't have scientific data, I would bet that nearly 66% of implant cases referred from your office are never completed. From personal experience, I'm confident that if you were able to provide implants in your practice, that number would drop dramatically. Don't you often hear from your patients, "Doc, can't you take care of that for me?"
It's high time to take a close look at what it takes to predictably add implants to your treatment mix. We did about five years ago and have never looked back. It has been a boon to our production, and a boon to my professional satisfaction!
Tarun Agarwal, DDS, PA, is a nationally recognized educator in the field of digital esthetic and implant dentistry. He offers general dentist-specific implant training, using modern digital technologies that make implant dentistry safe, predictable, and profitable. He may be reached at [email protected].
Past DE Issues

