Ask Dr. Christensen
In this monthly feature, Dr. Gordon Christensen addresses the most frequently asked questions from Dental Economics® readers. If you would like to submit a question to Dr. Christensen, please send an e-mail to [email protected].
For more on this topic, go to www.dentaleconomics.com and search using the following key words: restorative dentists, flowable resins, composites, Dr. Gordon Christensen.
Q I see advertisements for many flowable resins. The ads contain optimistic claims from their manufacturers. However, I have also seen articles stressing the numerous negative characteristics attributed to these materials. What are their main uses and advantages, and are some brands better than others? A In spite of some significant proven negative characteristics for flowable resin-based composites, they are used by most restorative dentists. The “flowable” characteristic that these materials possess is their obvious positive characteristic. Dentists have welcomed the ease of use of these materials. The ability to place a small canula into a tooth preparation and merely express the material into any location is a highly positive characteristic.However, although flow and ease of use are desirable flowable characteristics, there are some well-known negative characteristics that should be recognized and dealt with when using these materials. The positive and negative characteristics of the current generation of flowables are:
Desirable characteristics
▲ Flow is the main desirable characteristic.
▲ Flowables are easier to use than putty forms of resin-based composite, which can be difficult to place in some limited access preparations. Resins with more viscosity often have air bubbles when placed in areas of difficult access, and flowables help to reduce this challenge.
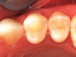
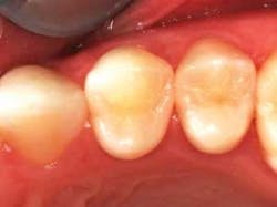
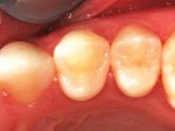
Fig. 1 — The two premolar teeth have minimal carious lesions on their proximal surfaces. Many dentists use flowable resin in the depth of the box forms before placing conventional fully-filled resin-based composite. The flowable resin helps to ensure that the line and point angles are filled.
▲ Finishing of flowable resins can be easier than putty resin-based composites. If flowable resin is placed carefully and precisely where it is needed, flowables can require minimal effort and time when finishing.
Fig. 2 — The minimally carious premolars shown in Fig. 1 were bleached and tooth preparations were made. They received a self-etching primer and bond, followed by a slight amount of flowable in the depth of the box form. This was followed by a conventional restorative resin.
Undesirable characteristics
▼ Flowables have higher wear than more fully filled composites. Because of minimal filler content,▼ The lower filler content of flowables causes lower overall strength when compared to conventional restorative resins.
▼ Flowables have higher expansion and contraction with heat and cold than conventional restorative resins.
▼ Polymerization shrinkage and the resultant polymerization stress in tooth preparations caused by most flowables are two to three times more than values for conventional restorative resins.
▼ Flowable resins have the same potential to cause postoperative tooth sensitivity as fully-filled resin-based composites, and they must have a bonding agent placed between them and the dentin, thus sealing the dentin surface to reduce or eliminate postoperative tooth sensitivity.
Clinical situations where flowables are indicated
Fig. 5 — Resin-modified glass ionomer is a better choice than flowable in this tooth because of the deep carious involvement. Fuji Lining Cement LC from GC America or Vitrebond from 3M ESPE are indicated directly on the dentin surface in such situations.
Brands of flowables compared
The same characteristics that are present in fully-filled restorative resins are important in flowable resins. They include:
Filler particle size — If the flowable is being used internally in a restoration (which is the most common use of flowables), the potential smoothness of the material during service is not an important factor, and any brand of flowable can be used in thin increments. Thick layers of flowable resin increase polymerization shrinkage. For such situations, clinicians should use the flowable brand that they areFig. 6 — The large finished restoration was not sensitive after placement, and the resin-modified glass ionomer will continue to re-lease fluoride into the tooth.
A summary of flowable resins
Flowable resin-based composites are good because they flow, but they are bad when considering almost all of their other characteristics. Some remain smooth and can be used when longer-term smoothness is a requirement. Some are highly radiopaque and should be used when liners are placed under some conventional resin restorations. Some have lower polymerization shrinkage and are best when using the resin in larger increments. In other words, selection of flowables should be based on your primary uses for the materials, and it is likely that you will need to use more than one brand. The specific brands suggested in my answer to your question will satisfy specific needs.
Flowable resins are very similar to commercially available sealants. Recently, I produced a DVD that will change most of your previous beliefs and techniques concerning sealants and preventive restorations. Viewing this presentation will improve the longevity of your sealants and help prevent the ongoing dental caries observed under most sealants. Call PCC at (800) 223-6569 or go to www.pccdental.com for more details about V5143, “Sealants and Preventive Resin Restorations — When & How?”
Dr. Christensen is a practicing prosthodontist in Provo, Utah. He is the founder and director of Practical Clinical Courses, an international continuing-education organization initiated in 1981 for dental professionals. Dr. Christensen is a cofounder (with his wife, Rella) and senior consultant of CLINICIANS REPORT (formerly Clinical Research Associates), which since 1976 has conducted research in all areas of dentistry.




